
NEWSLETTER CASE PRESENTATION 69
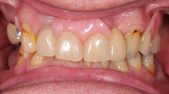
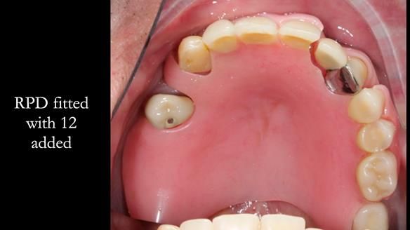
This edition features the case of Edgar, who sought help for a poorly fitting, acrylic-based partial denture that rocked, affected his speech, and caused discomfort. After considering various treatment options, including dental implants, Edgar opted for a metal-based removable partial denture, designed by myself with input from my technician, Rowan Garstang.
Please see me present this case on YouTube:
Despite significant improvements in comfort and aesthetics, Edgar expressed dissatisfaction with the denture's slight movement during certain jaw movements. This case underscores the importance of setting clear expectations, communicating limitations early, and ensuring both the patient and I are aligned on what can realistically be achieved. I must also be careful not to exaggerate the benefits of the treatment, to avoid creating false expectations.
Key lessons I learned:
- Avoid over-promising and under-delivering.
- Manage patient expectations from the outset.
- Reinforce the value of improvements, even when they are not perfect.
- Share challenges during diagnosis, not after treatment completion (a principle emphasised by my mentor, John Besford).
Ultimately, this case reminded me that while I strive for the best possible outcomes, some limitations in treatment can persist, requiring me to empathetically navigate the balance between realistic expectations and achievable results.
Treatment Process: I provided the clinical work while Rowan Garstang delivered the technical aspects. The treatment required fifteen visits to fit and review Edgar.
Subscription Information: I send this Newsletter twice (only) at different times of the day via email, to ensure global readership doesn’t miss out on the content. To receive these emails, please visit my website www.finlaysutton.co.uk and subscribe to our newsletters and blogs.
Sharing and Subscribing: If you enjoy my Newsletters, please share them with friends, colleagues, dental students, dental technicians, and other dental team members. To subscribe, email me at education@finlaysutton.co.uk and I will update the list.
Courses and Speaking Engagements: I run removable prosthodontic courses consisting of lectures and live clinical demonstrations. These are aimed at general dentists, prosthodontists, clinical dental technicians, and dental technicians. My courses focus on providing dentures with optimal function and superb aesthetics, demonstrated through step-by-step photographs and videos.
I also speak at dental conferences, aiming to ignite enthusiasm for removable prosthodontics. I showcase well-designed dentures as valid alternatives to implant-supported restorations and demonstrate the importance of proper tooth positioning for aesthetic and functional success.
For speaking engagements, contact me at education@finlaysutton.co.uk.
Upcoming Courses and Lectures: Click here for details of my courses and lectures for 2024 to 2025. Furrther info is at the end of this Newsletter.
Contact: education@finlaysutton.co.uk
Click here for case study link on my website.
































































































































































































