Finlay's Case Presentation
Welcome to my February 2022 Newsletter Case Presentation
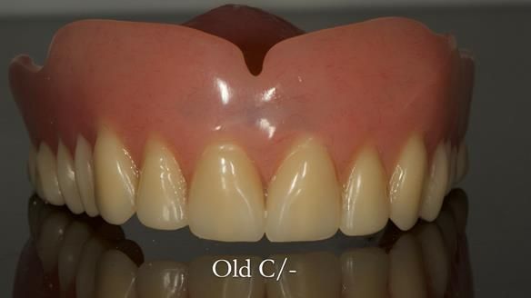
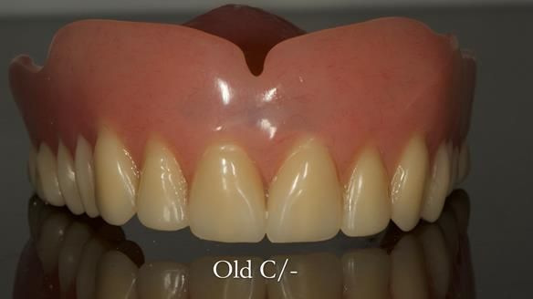
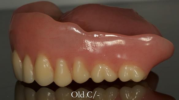
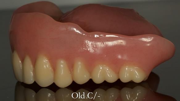
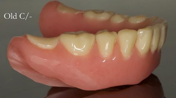
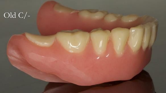
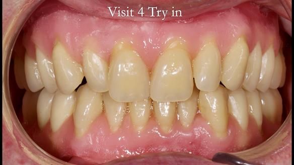
This newsletter describes in step by step detail Mark’s treatment with Class II div 2 complete metal based dentures.
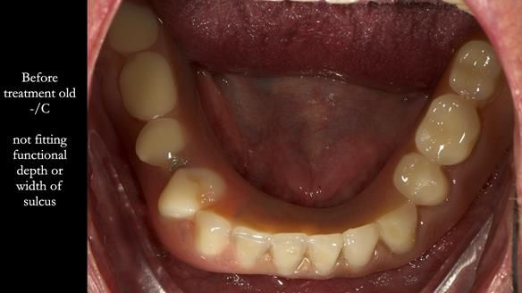
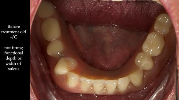
This 83 year old man was referred to me by his general dental practitioner for treatment.
Dental concerns
“My false teeth are too large making it very difficult to eat and talk properly”
Dental wish list
“Please rectify”
Following consultation, the patient chose to have replacement upper and lower conventional metal based dentures made.
The clinical situation and treatment process is shown in detail below with photographs. I (Finlay Sutton) provided the clinical work and Rowan Garstang provided the technical work.
Would you like to learn exactly how to do this? If yes, please come on my next 2 day Complete Denture Masterclass in Lancaster on Thursday March 24 to Friday March 25 2022. There are 3 spaces left. I give lectures and live clinical demonstrations. The hands on component is to do a try in for Keith, my patient with complete dentures, copying his dentate photograph. Rowan Garstang, (my dental technician) and Claire (my dental nurse) are there to help too. The cost is £2,889.60. We would love to see you. The course is organised through Schottlander. If you would like to book or find out more information please contact Adele at Schottlander - courses@schottlander.co.uk
If you enjoy my Newsletters and you have friends, colleagues, dental students, dental technicians, clinical dental technicians and postgraduate dentists that you think will appreciate them, please feel free to share them. In addition, if you or your colleagues would like to receive my Newsletters please email me (education@finlaysutton.co.uk) and I will update the list.
Removable prosthodontic courses consisting of lectures and live clinical demonstrations
These courses are aimed at general dentists, prosthodontists, clinical dental technicians and dental technicians. They are completely clinical, demonstrating how to provide dentures which have optimal function and superb aesthetics. I give live patient demonstrations along with lectures abundantly illustrated with step-by-step photographs and videos of all procedures. Delegates will take many “nuggets of gold”, being able to put the advice straight into practice with immediate improvement in professional satisfaction and patient outcomes.
Course topics:
Complete dentures next course March 24 and 25 2022 - 3 spaces left
Immediate dentures next course May 26 2022 - 7 spaces left
Partial dentures next course May 27 2022 - 3 spaces left
Overdentures supported by implants and teeth - November 18 2022 - 5 spaces left
education@finlaysutton.co.uk























































































































































































