Finlay's Case Presentation
Welcome to my November 2022 Newsletter Case Presentation
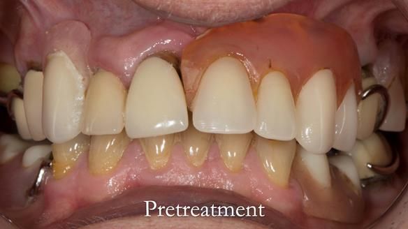
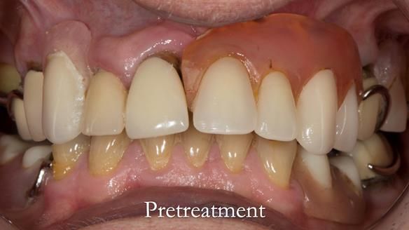
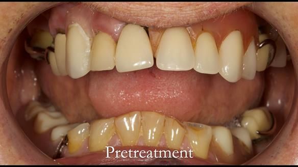
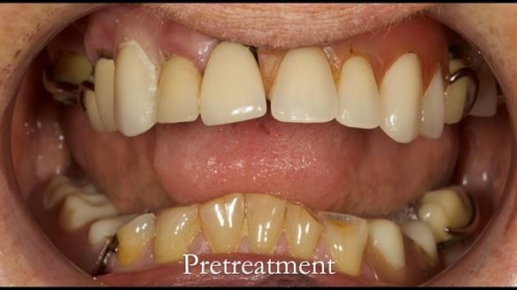
Aesthetically and functionally poor RPDs were replaced for Eileen, a 74 year old woman.
The transformation in the patient's appearance and self-confidence was considerable. She is now complemented on her smile, improving her self confidence. She loves having her photos taken on holiday. It was a huge pleasure treating Eileen.
Referred to me by her general dental practitioner specifically for replacement RPDs.
Dental concerns
“Top denture loose making conversation difficult at times. Also, appearance isn’t good. Teeth uneven”
Medical History: Fit and well
Dental wish list
- “Good fit.”
- “Even appearance”
- “Easy to care for”
- “Long lasting.”
Diagnoses
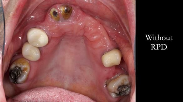
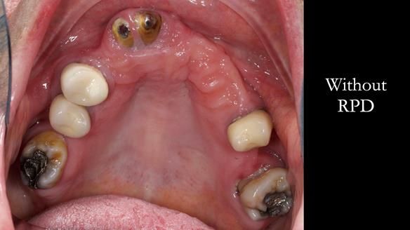
- Missing teeth in the upper and lower jaws
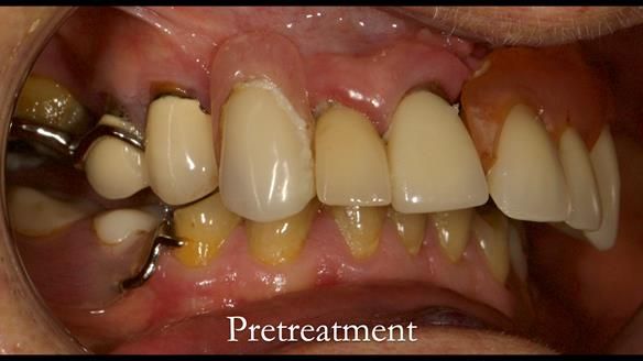
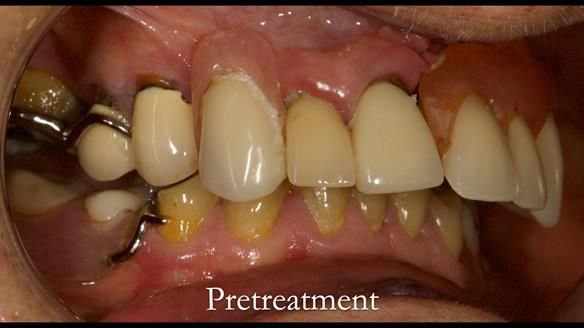
- Upper and lower metal based RPDs, poorly fitting, worn occlusal surface, reverse curve aesthetics, lacking support
- Poor dental appearance with reverse incisal curve
- The upper right central and lateral incisors with post crowns. Healthy and functionally secure but with poor appearance, contributing to the reverse curve.
- Moderate to heavily restored dentition with deep overbite (Class 2 div II)
- Yellowish lower front teeth with small amount of wear.
- The lower right canine (LR3) is worn with MOD cavity.
Treatment options
- Do nothing
- Partial dentures
- Implant supported fixed teeth
Treatment objective
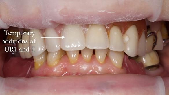
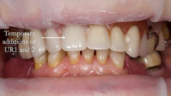
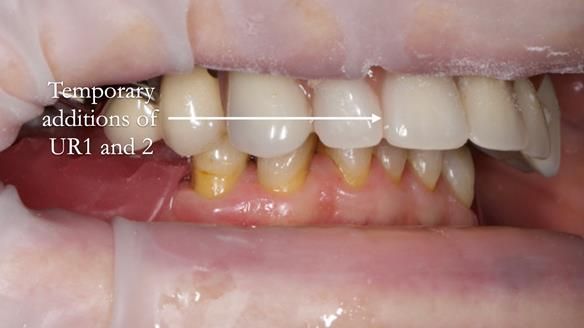
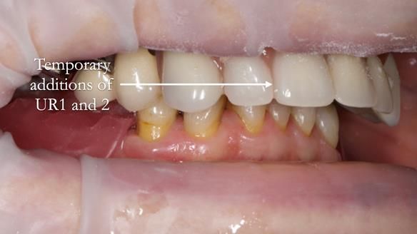
- Decoronate post crowns upper right lateral and central incisors to use as over denture abutment supports
- Add upper right lateral and central incisor denture teeth to existing upper RPD as temporary measure during making of new RPDs
- Composite rest seats on the lower anterior teeth and reshaping existing crown
- Composite onlay lower right first premolar – designed to support new lower RPD
- New metal based upper and lower RPDs of Scandinavian design for improved, periodontal health, function and appearance.
The clinical situation and treatment process is shown in detail below with photographs. I provided the clinical work. Rowan Garstang provided the technical work.
If you enjoy my Newsletters and you have friends, colleagues, dental students, dental technicians, clinical dental technicians and postgraduate dentists that you think will appreciate them, please feel free to share them. In addition, if you or your colleagues would like to receive my Newsletters and Denture Blog, please email me (education@finlaysutton.co.uk).
Removable prosthodontic courses I run consisting of lectures and live clinical demonstrations:
These courses are aimed at general dentists, prosthodontists, clinical dental technicians and dental technicians. They are completely clinical, demonstrating how to provide dentures which have optimal function and superb aesthetics. I give live patient demonstrations along with lectures abundantly illustrated with step-by-step photographs and videos of all procedures. Delegates will take many “nuggets of gold”, being able to put the advice straight into practice with immediate improvement in professional satisfaction and patient outcomes.
Please see details for future courses given by Finlay over the next 2 years.
education@finlaysutton.co.uk
www.finlaysutton.co.uk









































































































































































































