Finlay's Case Presentation
Welcome to my April 2022 Newsletter Case Presentation.
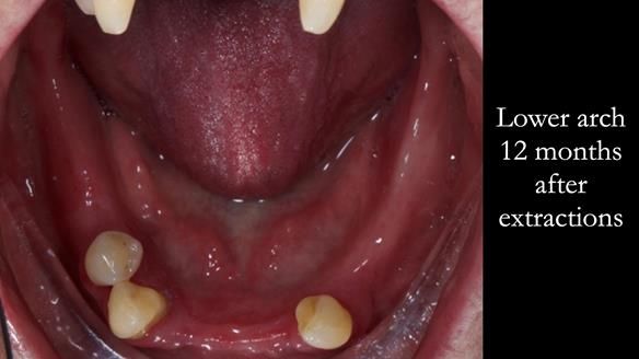
This newsletter describes in step by step detail Gina’s transition through immediate partial dentures (Mk 1) to supported definitive metal based dentures (Mk 2).
This 78 year old woman was recommended to me by one of her friend's who had heard me speak at a local Women's Institute group.
Dental concerns
“I have never had a bad tooth. They have just fallen out over 9 years.”
Medical History
Type 2 diabetes
Social history
Music teacher - Singing
Dental wish list
“I am a singing teacher as this is part of my teaching I would like to feel confident to continue singing.”
Diagnoses
* Generalised Periodontitis; Stage 4, Grade C, Currently Unstable. Risk Factors: Type 1 diabetes. 1. 16, 14, 13, 31, 32, 34, 45, 41 - hopeless prognosis
Treatment options discussed with Gina
* Do nothing
* Periodontal treatment - from my colleague Dr Syed Abad, Specialist in Periodontics
* Removable partial dentures
* Implant supported fixed teeth
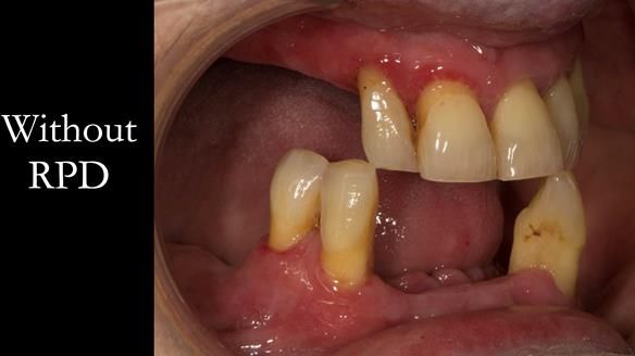
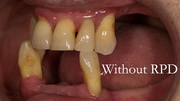
The clinical situation and treatment process is shown in detail below with photographs. I provided the clinical work. Sam Hesketh (Mk 1 denture) and Rowan Garstang (Mk 2 denture) provided the technical work.
If you enjoy my Newsletters and you have friends, colleagues, dental students, dental technicians, clinical dental technicians and postgraduate dentists that you think will appreciate them, please feel free to share them. In addition, if you or your colleagues would like to receive my Newsletters please email me (education@finlaysutton.co.uk) and I will update the list.
Removable prosthodontic courses consisting of lectures and live clinical demonstrations
These courses are aimed at general dentists, prosthodontists, clinical dental technicians and dental technicians. They are completely clinical, demonstrating how to provide dentures which have optimal function and superb aesthetics. I give live patient demonstrations along with lectures abundantly illustrated with step-by-step photographs and videos of all procedures. Delegates will take many “nuggets of gold”, being able to put the advice straight into practice with immediate improvement in professional satisfaction and patient outcomes.
Course topics:
Immediate dentures next course May 26 2022 - 2 spaces left
Partial dentures next course May 27 2022 - 0 spaces left
Overdentures supported by implants and teeth - November 18 2022 - 4 spaces left
education@finlaysutton.co.uk





































































































































































































































































































