Finlay's Case Presentation
Welcome to my January 2020 Newsletter Case Presentation
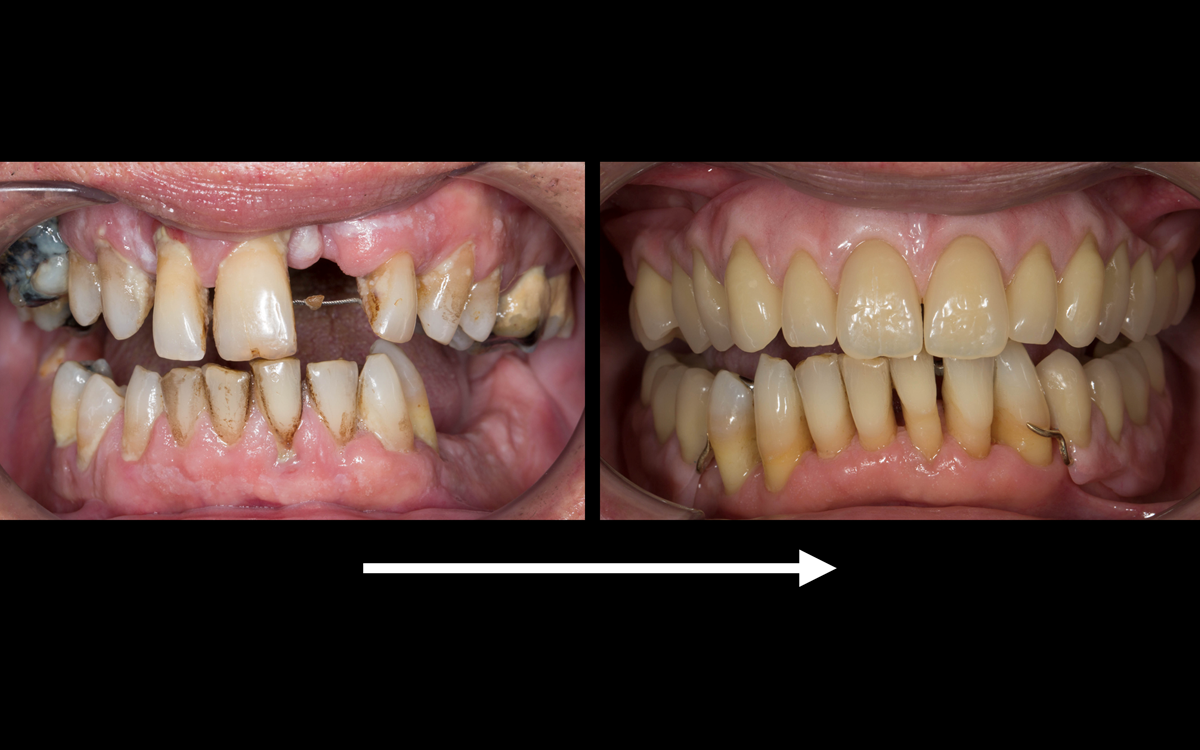
This newsletter describes in step by step detail the transition from acrylic based immediate dentures to metal based definitive dentures.
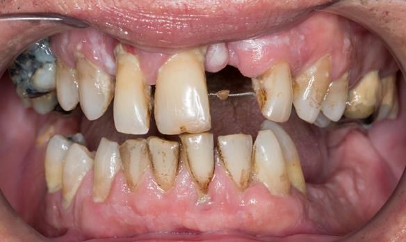
This 52 year old man was referred to me from his general dental practitioner in 2018.
Dental History and Concerns
10 years prior to consultation the patient's general dentist diagnosed periodontitis and referred him to Manchester Dental Hospital. He received a treatment plan to manage the periodontitis. Unfortunately, this was not acted on. Four years ago gaps developed between the upper front teeth. Orthodontic treatment was provided to align the teeth. A bonded retainer was fitted onto the upper front teeth. Approximately one year prior to consultation with me the patient noticed the teeth moving again. He consulted his orthodontist, who advised no further orthodontic treatment. One month prior to the consultation with me the upper left central incisor fell out whilst eating.
Social History
Cigarette smoker. 20 per day continuously for over 30 years
Dental wish list
- "Something fixed which I don’t have to worry about"
- "To be able to smile and be confident"
- "I want teeth to look totally natural and healthy"
- "I don’t want to have a cosmetic look – but to look just how they were 2 years ago."
Diagnoses
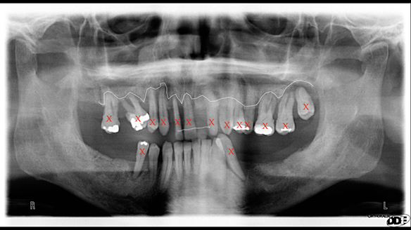
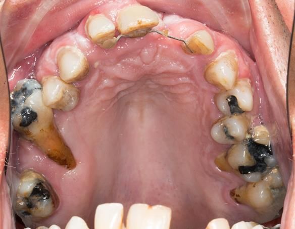
- Generalised periodontitis; stage IV grade C: currently unstable, risk factors: smoker.
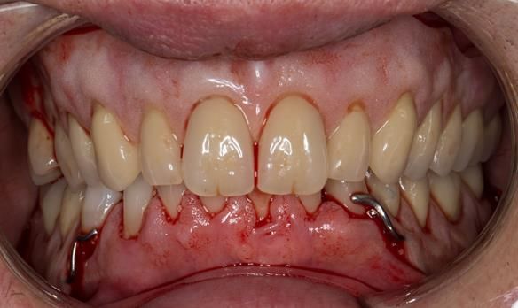
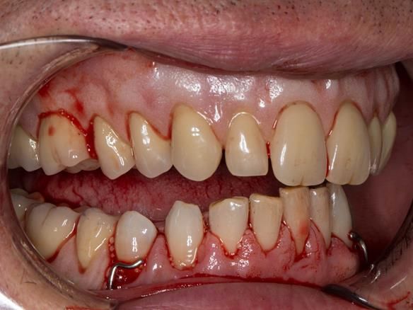
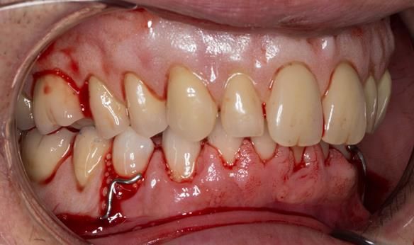
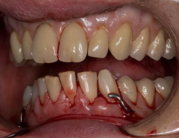
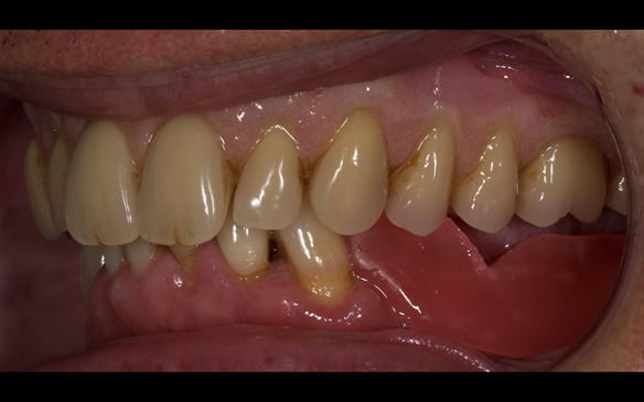
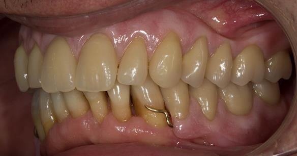
- The remaining maxillary teeth had hopeless prognosis in the short term. They exhibited 80 - 100% alveolar bone loss with increased mobility (Grade 2 - 3).
- The lower right second premolar and lower left first premolar (LR5 LL4) had hopeless prognosis in the short term. They exhibited 80 - 100% alveolar bone loss with grade 3 mobility.
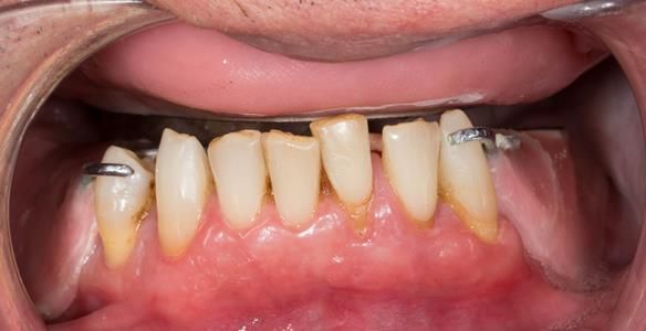
- The remaining mandibular teeth had approximately 30 - 50% alveolar bone loss with grade 1 mobility.
I did not believe that dental implant supported restorations (fixed or removable) were in this patients best interest given the history and extent of the periodontal disease and the smoking history. I advised him that other practitioners may be willing to provide implant supported fixed/removable restorations as an option. He was given time and space to choose his preferred option for valid consent.
Following two discussion appointments with me, the patient decided to have the following treatment plan:
Treatment plan
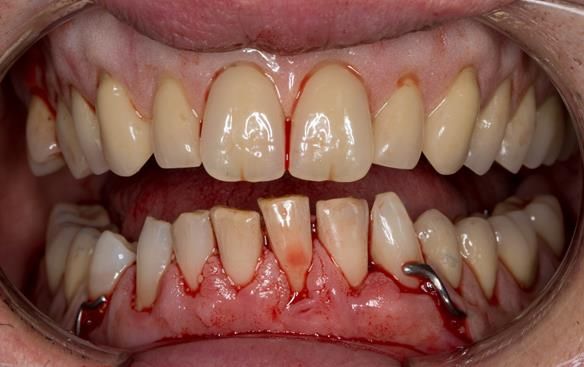
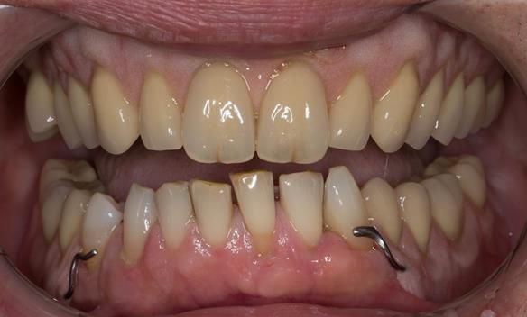
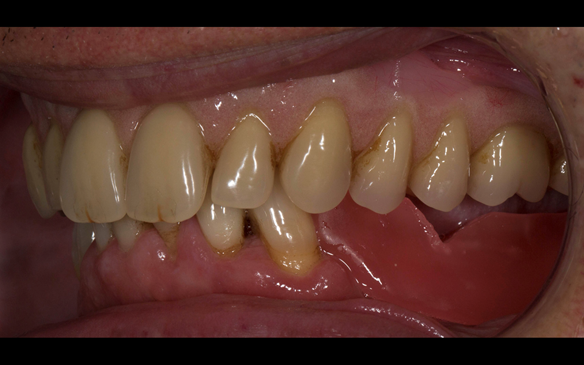
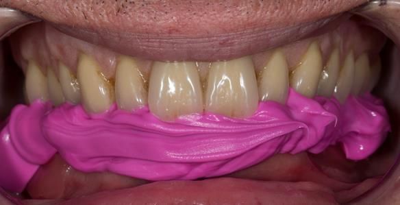
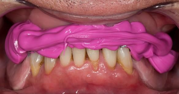
- Extraction of all upper teeth and LR5 and LL4 and fitting of immediate acrylic based (Mk 1) dentures - complete upper and lower partial
- Periodontal therapy involving smoking cessation advice – with Mr Syed Abad, Specialist in Periodontics at the practice
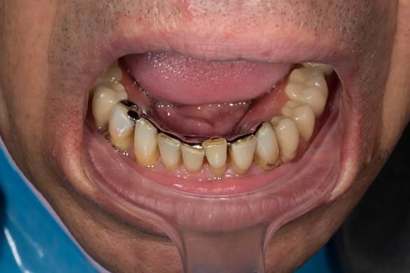
- Reviews of the immediate dentures and relines as needed over 9 - 12 months
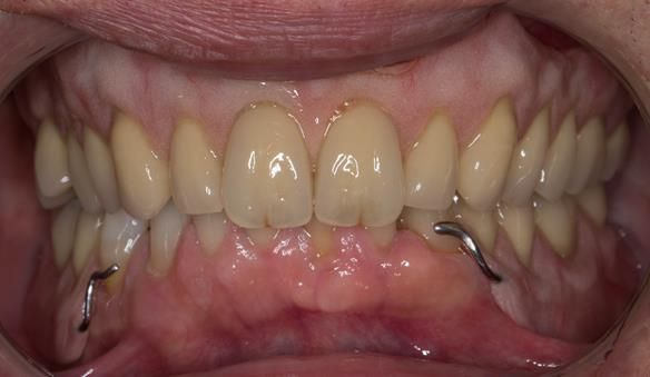
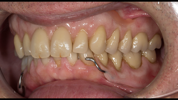
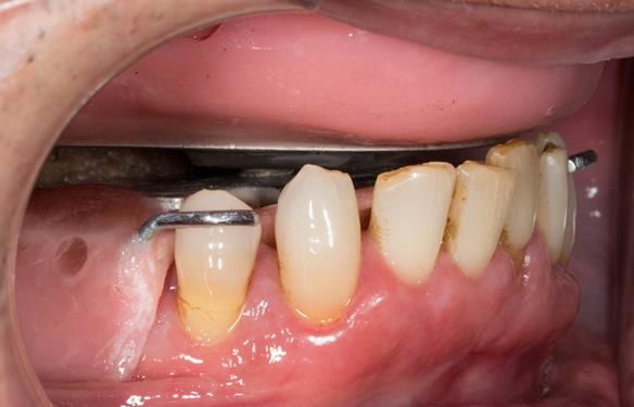
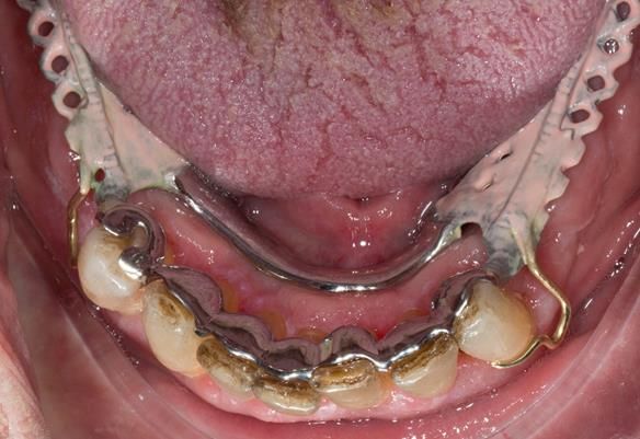
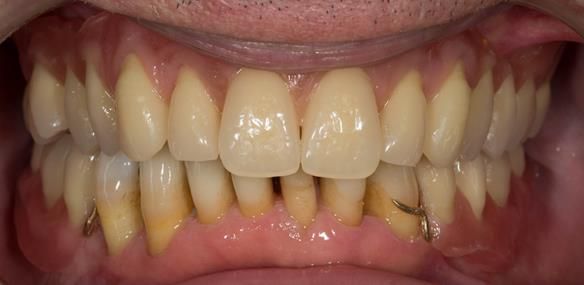
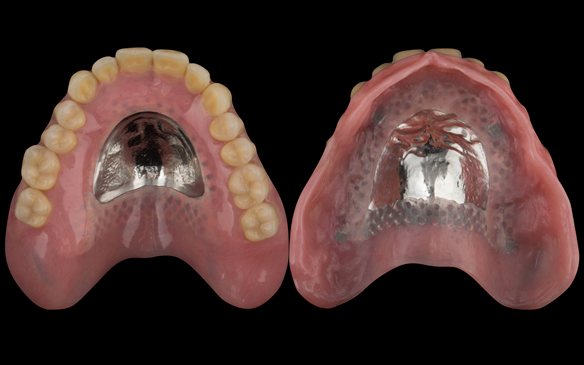
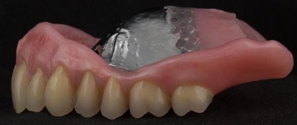
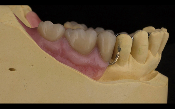
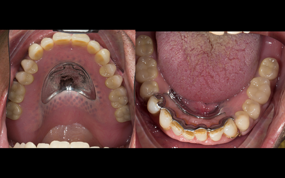
- Definitive dentures (Mk 2) – complete upper metal reinforced and lower cobalt chromium based partial of hygienic Scandinavian design to be made 9 - 12 months after extractions of all upper teeth and LR5 and LL4
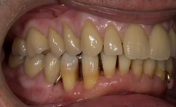
The clinical situation and treatment process is shown in detail below with photographs.
The patient has been successfully rehabilitated and is now having periodontal maintenance from Syed Abad, Specialist in Periodontics at the practice. His quality of life has improved considerably. The clinical prosthodontics was provided by me and the technical work by Rowan.
If you enjoy my Newsletters and you have friends, colleagues, dental students, dental technicians, clinical dental technicians and postgraduate dentists that you think will appreciate them, please feel free to share them. In addition, if your colleagues would like to receive our Newsletters please email me and I will add them to my email list.
























































































































In-House courses for 2020
Finlay's in-house denture courses with PDF application forms:
Please click on the images below.




Reference material
Full access PDF to my published scientific papers which explain my philosophy and clinical techniques. Please click on the link below and scoll down this page to find lots of useful clinical techniques, reference material and previous lectures:
https://www.finlaysutton.co.uk/speaking