
Thank you for an amazing 2024
Welcome to Newsletter 73
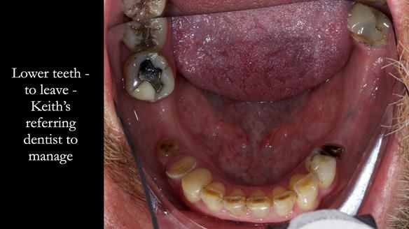
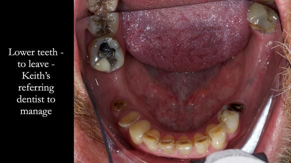
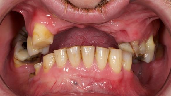
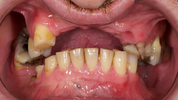
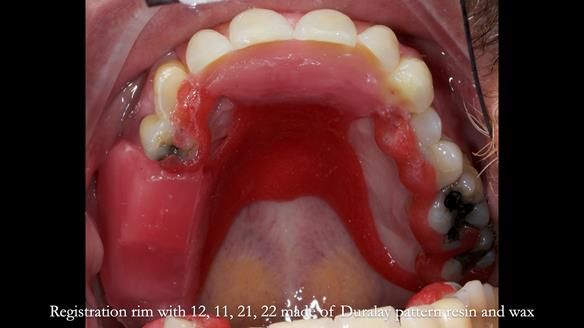
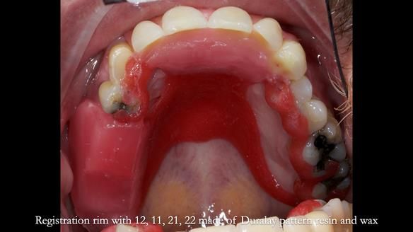
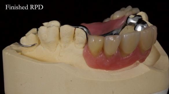
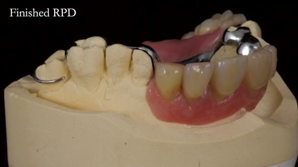
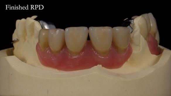
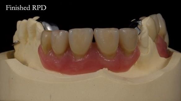
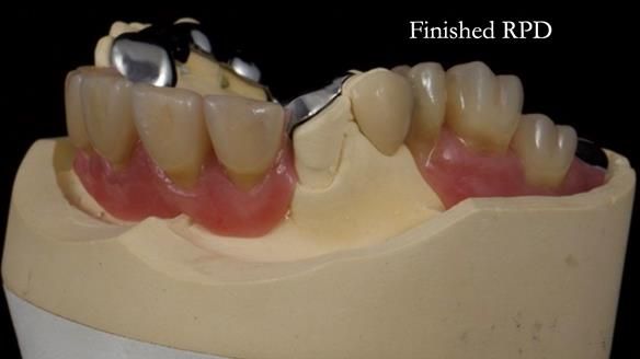
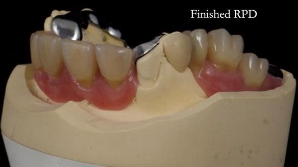
This is a full walk through of this case:
Thank you for an amazing 2024
As we close the year, I want to express massive gratitude to all of you; newsletter subscribers, course attendees, study club members, mentees and clinicians who have referred patients to me. This year, I have had the privilege of receiving referrals from across the UK, Germany, France, Sweden, and Ireland. Your enthusiasm and belief in the value of removable dentures inspire me every day. Together, we are showing the world that dentures remain a brilliant solution for replacing missing teeth and gums. Thank you for being a part of this journey!
This year, I had the privilege of lecturing on removable prosthodontics in London, Cardiff, Manchester, and Birmingham, as well as internationally in Medan, Indonesia; Geneva Dental Hospital, Switzerland; Istanbul, Türkiye; and Copenhagen, Denmark. The warm reception in each of these locations has been truly humbling, and it has been an honour to share my work with such engaged and enthusiastic audiences. Time and again, clinicians worldwide have expressed that there remains a significant need for expertise in removable prosthodontics, even in this era dominated by fixed prosthodontics and dental implants.
Scandinavian RPD designs are gaining traction
One of the highlights of 2024 was collaborating with Charlotte Stilwell and Mike Gregory to promote Scandinavian RPD techniques during the British Society of Prosthodontics conference in Cardiff, hosted by Mr James Owens, President. These designs are superior to the traditionally taught British and US approaches, excelling in both comfort and long-term health outcomes. I have been using this approach for all my RPDs for 14 years. As Mike says, “maximise support and minimise gingival coverage.” Looking ahead to 2025, I plan to advance these methods further with the publication of my RPD book, co-authored with Dr John Besford, my mentor. The book will provide a step-by-step clinical guide, clearly outlining how to implement these techniques effectively.
Keith’s combat denture case study
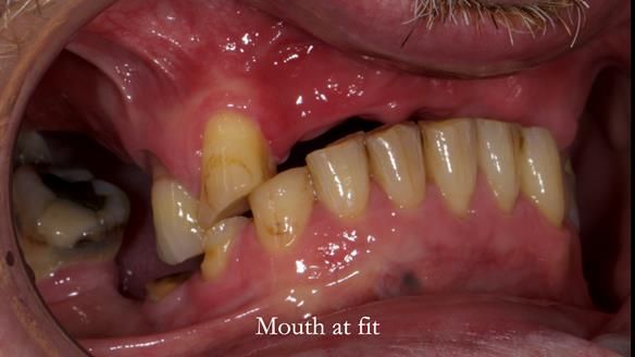
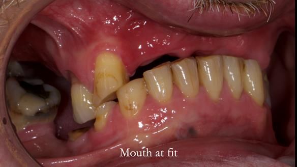
Keith’s case was one of the most challenging and rewarding cases I’ve treated this year. This 64 year old man presented with ill-fitting acrylic partial dentures that lacked stability, retention, and aesthetics. They constantly broke. He had lost the upper front teeth in a road traffic accident in his early 20s. The unopposed teeth had erupted, taking up space. After careful planning, we made a durable, metal-based upper partial denture/splint to address his dental concerns. He loved the outcome.
Key steps in Keith’s treatment:
1. Denture design: A custom cobalt-chromium framework was Scandinavian-designed to maximise stability, protect the remaining teeth, and allow for future additions if needed.
2. Onlay preparations: Composite onlays were fitted for his upper left premolars to repair these teeth and support the new denture.
3. Definitive alginate impression in custom tray: Used to ensure a well-fitting RPD.
4. Keith’s outcome: The final denture not only improved Keith’s bite, chewing function, and facial aesthetics but also protected his remaining teeth from further damage.
What makes this case really interesting?
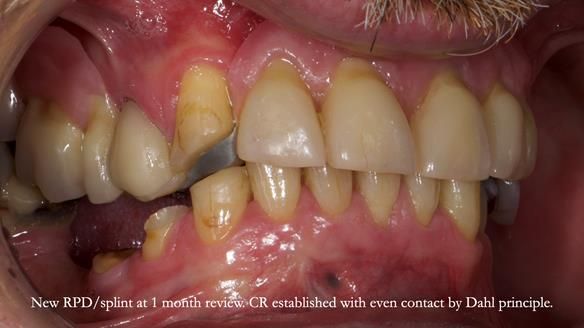
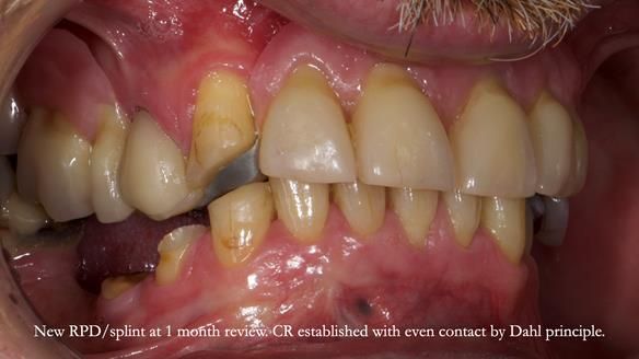
Keith’s denture incorporated a Duracetal shell clasp on upper right first premolar (Myerson), which are designed to be virtually visible, providing a more aesthetic solution while enhancing patient comfort. The Scandinavian-inspired approach, based in modern removable prosthodontic techniques, ensured the denture was not only durable but also visually pleasing. Additionally, the design was carefully planned to allow for future modifications, ensuring that if Keith loses additional teeth, the denture can be adapted rather than replaced entirely.
I also used the Dahl concept to re-establish the occlusion upon fitting the RPD, which helped to intrude the lower left canine without needing to grind it too much.
I will present Keith’s case at Study Club Live:
Thursday 16th January 2024
19.30 GMT (London)
Join via Zoom - https://us02web.zoom.us/j/8636...
Add to your calendar:
Unfortunately, I can’t provide a clickable calendar link. However, you can easily add this to your calendar manually:
Open your preferred calendar app (e.g., Google Calendar, Outlook, or Apple Calendar).
Create a new event on Thursday 16th January 2024 at 19.30 GMT (London).
Add the Zoom link in the location or description field: https://us02web.zoom.us/j/86365424669.
Set a reminder to ensure you don’t miss it!
Looking ahead to 2025
- Publish the RPD book, which will serve as a comprehensive guide to implementing Scandinavian RPD techniques.
- Expand teaching opportunities—both online and in person—through conferences and private courses worldwide.
- Continue welcoming clinicians to courses and online study clubs.
- If you want me to deliver a lecture or course, please reach out: finlaysutton@gmail.com.
Thank you for your support, and I look forward to sharing more success stories with you in the new year.
Warm regards
Finlay
All of my previous study clubs are recorded and available on my YouTube channel.
Subscription Information: I send this Newsletter twice (only) at different times of the day via email, to ensure global readership doesn’t miss out on the content. To receive these emails, please visit my website www.finlaysutton.co.uk and subscribe to our newsletters and blogs.
Sharing and Subscribing: If you enjoy my Newsletters, please share them with friends, colleagues, dental students, dental technicians, and other dental team members. To subscribe, email me at education@finlaysutton.co.uk and I will update the list.
Courses and Speaking Engagements: I run removable prosthodontic courses consisting of lectures and live clinical demonstrations. These are aimed at general dentists, prosthodontists, clinical dental technicians, and dental technicians. My courses focus on providing dentures with optimal function and superb aesthetics, demonstrated through step-by-step photographs and videos.
I also speak at dental conferences, aiming to ignite enthusiasm for removable prosthodontics. I showcase well-designed dentures as valid alternatives to implant-supported restorations and demonstrate the importance of proper tooth positioning for aesthetic and functional success.
For speaking engagements, contact me at education@finlaysutton.co.uk.
Upcoming Courses and Lectures: Click here for details of my courses and lectures for 2025. Furrther info is at the end of this Newsletter.
Contact: education@finlaysutton.co.uk
Click here for case study link on my website.






































































































































































































































































Why 2025 should be the year you master denture-making?
- Premium courses with life-changing impact
- My courses may be an investment, but they’re worth every penny. Packed with golden nuggets of wisdom, they offer unparalleled value.
- Transform your understanding of dentures
- Gain deep insights into Scandinavian RPD design systems, suction dentures like Dr Abe’s technique from Japan, and more. These methods will transform how you approach removable prosthodontics.
- Learn in my practice environment
- Experience a hands-on learning journey in my clinical practice. Watch me treat a patient in person, video and photograph the entire process, and ask me any question—you’ll leave with improved clarity and confidence.
- Small, focused groups
- Courses are limited to 10 participants or fewer, ensuring personalised attention and a tailored learning experience.
- Becoming great at dentures benefits your implant work
- Mastering denture-making is essential for excellence in implant prosthodontics. Getting prosthetic teeth in the right place forms the foundation for implant positioning and achieving great aesthetics. Being able to create a superb set of complete dentures is the basis for planning implant placements.
- Real-world, open, and down-to-earth learning
- Nothing is off-limits—there are no secrets. I’ll cover all your wishes, ensuring you gain practical, actionable knowledge.
- No regrets—only results
- Attendees consistently say these courses are life-changing. Make the commitment to elevate your practice in 2025!
In 2024, I had delegates from all over the world - Australia, Belgium, Canada, Chile, Czech Republic, Denmark, Germany, Greece, India, Ireland, Israel, Japan, Lithuania, Netherlands, New Zealand, Norway, Poland, Portugal, Switzerland, the UK, and the USA.













Course Testimonials
Alice Glen
"The course has been really great. I have learnt a lot over the two days and will be applying a lot to my daily dentistry. I can see how this will make my life a lot easier when making dentures."
Paul Woodhouse
"Fin demystifies the dark art of denture making. Changed my approach to denture extractions in immediate cases, and I will be redrafting a plan I made yesterday."
Zahab Noshad Shaikh
"Patient communication and treatment planning, including partial denture design. Accurate impressions and better aesthetics."
Ross Anderson
"Finlay, in 1 day, has changed my perspective on what I saw as a tired old treatment modality. I can't wait to get back to the practice and implement it. It has revitalised an important but neglected part of my clinical portfolio. I was hoping to be enthused by Finlay, and I am!!"
Jon Henley
"Brilliant course, fabulous speaker who wishes to make a difficult job simpler for all delegates. Thank you!"
Claire Woodhouse
"An absolutely brilliant course. I am doing a lot more immediate dentures, and this has really helped with hints and tips."
Alex Saunders
"Great course. Have a good think about what you want out of it in order to get the most out of it. From tips to improve/help NHS/standard dentures, to getting the confidence/ability to start making exceptional F/F dentures."
Vasileios Gannoulis
"Finlay’s courses are a rare opportunity to learn from one of the best in the UK. Finlay, in addition, is one of the most approachable teachers, and he is not afraid to discuss failures. He doesn’t believe as if he is on top of the game, discouraging you by making you think you can never reach that level. Finally, although he works in a really high-end dental environment, the tips and the way the course is delivered can be applied to any dental environment."
Jaswinder Bardha
"Excellent course – Finlay explains the whole process of complete denture consultation, diagnosis, and treatment in a great way."
Joymon Sasikumar
"I’ve always enjoyed treatment planning, and this is the best course I’ve been on. Lots of cases to think through. I’m much more confident in the provision on RPDs."
Mike Norman
"This course has changed the way I do partial dentures forever. Thank you, Finlay."
Piotr Bielicki
"A fantastic course on partial dentures by Finlay as expected. Much more comfortable with partial denture design, gothic arch tracing, and stages of partial denture construction now. Thank you."



Finlay Speaking at the SWARD Annual Meeting 2026
I am delighted to announce that I will be presenting at the SWARD Annual Meeting on Friday, 6th February 2026 in Dallas, Texas. My session will focus on removable prosthodontics, a vital and often underappreciated area of dentistry. Here's what I plan to cover:
- Complete Dentures: Techniques for achieving maximum fit, function, and aesthetics.
- Partial Dentures: Leveraging the biologically healthy Scandinavian design system.
- Implant-Supported Overdentures: Best practices for using Locators® and bar attachments.
This session is designed to provide practical value for the entire dental team, including dentists, prosthodontists, and denturists. My aim is to share actionable insights to help elevate patient care.
Here’s a glimpse of the proposed day schedule:
Morning: Complete and Partial Dentures – Theory and practical case demonstrations.
Afternoon: Advanced Partial Dentures and Implant-Supported Overdentures.
Dentures remain a critical option for many patients who are not candidates for implants due to medical, financial, or personal reasons. I look forward to exploring how high-quality dentures can enhance both function and aesthetics, often surpassing fixed prosthodontics.
Thank you to the SWARD Council for this incredible opportunity—I can’t wait to be there!
Warm regards,
Finlay Sutton




