Welcome to Newsletter 84
A short note before we begin
This will be my last newsletter for a while.
I’m going "dark" so I can finish the book:
Removable Partial Dentures - A Scandinavian inspired guide,
which I’m writing with John Besford.
The book is around 80% complete.
The final 20% needs proper, uninterrupted focus.
During this time:
- I won’t be writing newsletters
- I won’t be running the free monthly Study Club Live sessions
I will still be:
- running all my denture courses at the practice
- teaching, mentoring, and speaking
I want this book finished properly and on good time. A straightforward, practical, how-to guide for managing missing teeth and failing dentitions.
Thank you for reading and supporting the newsletters.
A quick note on courses and speaking
If you’re interested in coming on one of my courses at the practice, or hearing me speak elsewhere, have a look at the end of this newsletter.
You’ll find a full list of what I’m doing in 2026, with direct links for courses, meetings, and events.
Now, to Ken.
A note for those who love detail
This newsletter is very much for people who enjoy detail.
It includes:
- a good approach to relining distal extension RPDs, similar in principle to the altered cast technique
- a neat two-part impression technique for recording very long, thin teeth without tearing the impression
- how teeth can be added predictably to an existing RPD
- how old bridges can be incorporated and planned around rather than simply removed
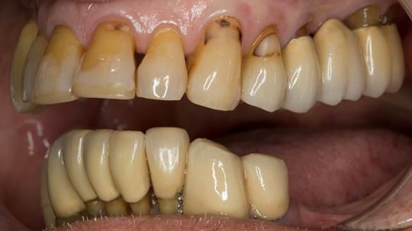
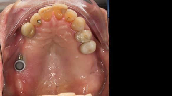
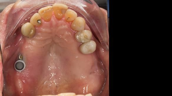
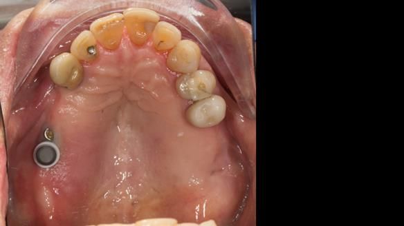
It also shows how an upper right bridge was converted into an implant-supported denture, using a conveniently placed implant in the 17 region, converted from a bridge to a Locator attachment.
Ken’s implant system was Nobel Biocare, and the case highlights how thoughtful planning can turn a problem into a long-term advantage.
An honest note on the impressions
It’s important to say that I struggled considerably to obtain accurate impressions of Ken’s lower anterior teeth. This was a difficult situation and not one that went smoothly.
At one stage, a tray became locked in position and had to be sectioned and removed carefully. This is not something I like but it does happen, particularly in cases with long, thin teeth and compromised anatomy.
I’ll go into this in detail during the Study Club Live, explaining exactly what happened, why it happened, how it was managed safely, and what I learned from it. These moments are often where the most useful lessons come from.
If you like understanding why things were done - not just what was done - this case is for you. I will go through this in detail at my free zoom study club live on Thursday Jan 15, 2026 07:30 PM GMT. Hyperlink is here.
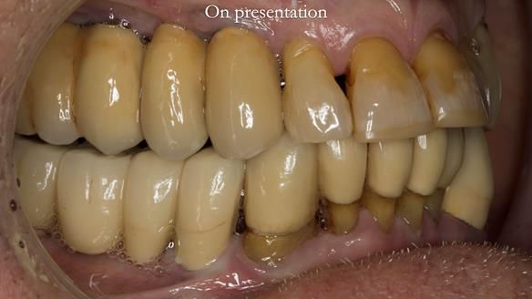
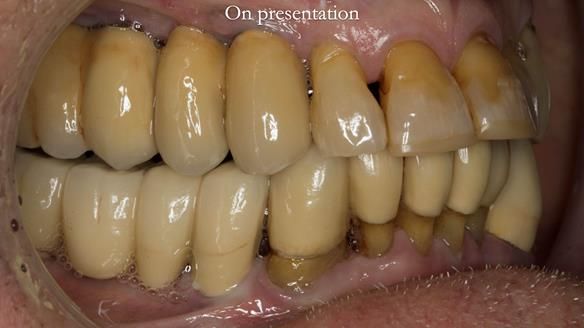
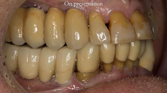
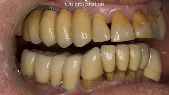
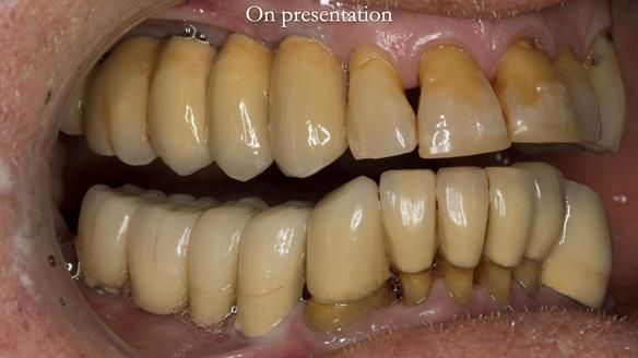
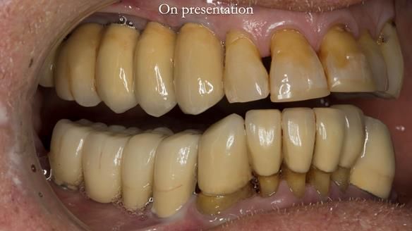
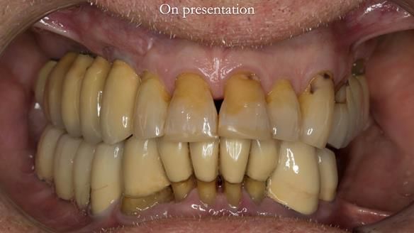
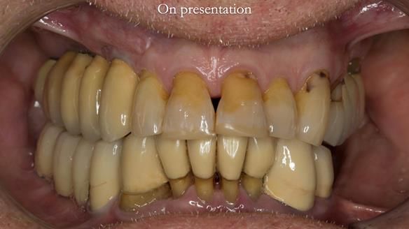
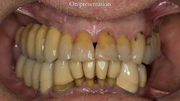
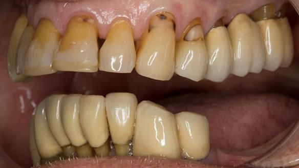
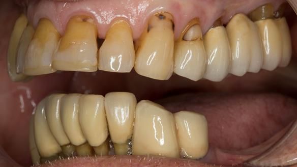
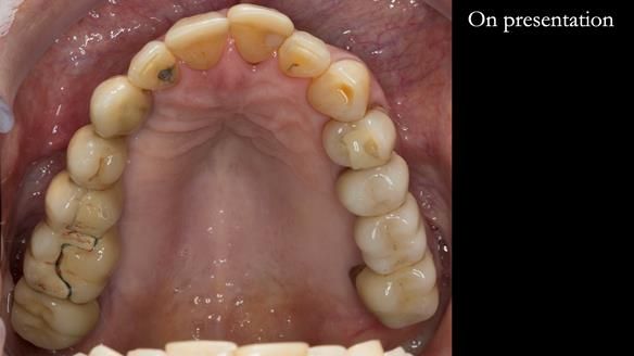
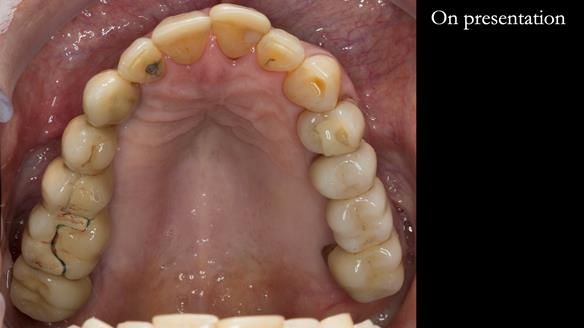
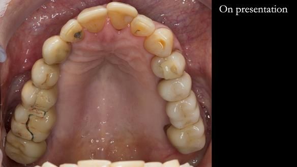
Ken – going downhill, first class
I first met Ken in 2015, when he was 80 years old.
He was a wonderful person.
Ken had flown Lightning jets for the RAF and later Boeing 747s for BOAC, which became British Airways. He was thoughtful, sharp, and full of stories.
He had lived in both the UK and the USA, spending many years in Florida, where he received extensive dental and periodontal care.
Like an increasing number of patients I now see (around 35% of referrals), Ken had implants that were failing or had already failed.
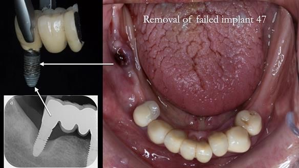
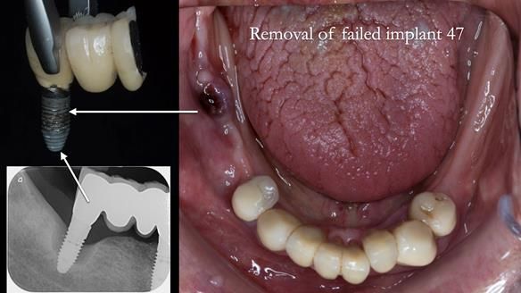
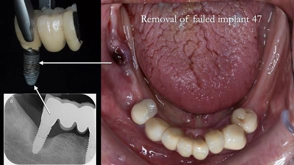
The starting point
We began with the lower jaw.
A posterior implant 47 had lost integration and was infected. This was removed.
Ken did not want further implant surgery.
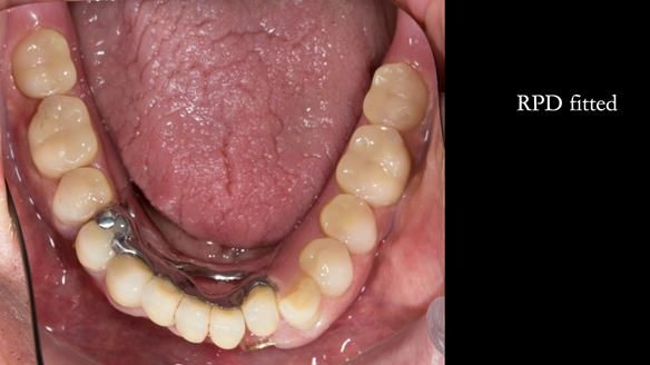
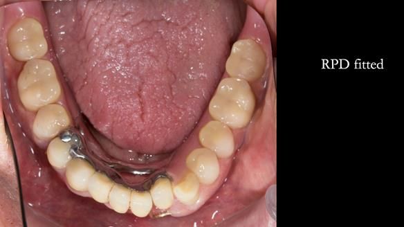
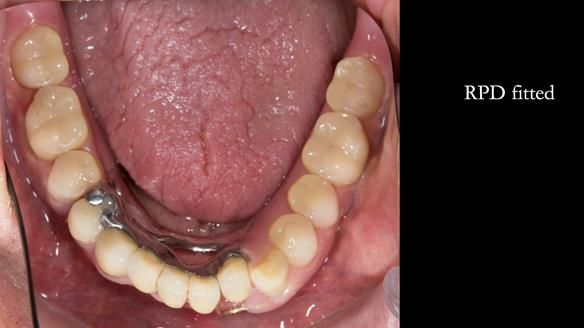
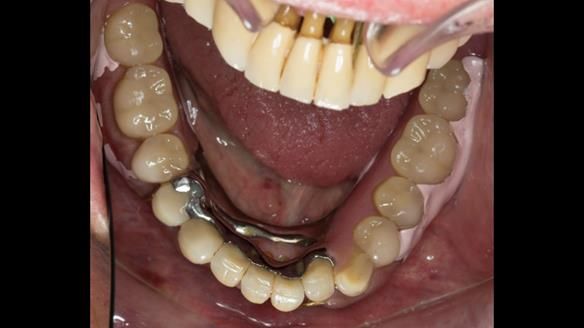
Instead, we made a Scandinavian-style, metal-based lower RPD.
It was made promptly, then relined gradually over the following year
to optimise fit, comfort, and support.
A reflective note on the lower denture
It’s worth saying that the lower denture in this case was made in the early days of Rowan and me using the Scandinavian approach. Rowan cast the metalwork himself for this denture.
Looking back, we would make this denture more hygienic now. The design and finish would be more refined and delicate, particularly when compared with the upper metalwork, which was made later using Chris Hesketh’s chrome work. I will discuss this in detail at the study club.
That said, the lower denture worked beautifully. It did exactly what it was meant to do, even though, by today’s standards, it looks a little agricultural.
I actually love looking back at older work like this. You can see what was done well and just as importantly, what you would now do differently. Over the past 10 years, the quality of my work has improved significantly, and that’s a direct result of experience, reflection (whilst writing up Newsletters and preparing lectures) and collaboration.
This is also why I place such importance on clinical photography. I would strongly encourage younger dentists to take high quality photographs of everything, record their work, and revisit it over time. There is enormous value in being able to see your own progress.
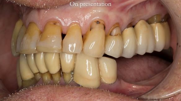
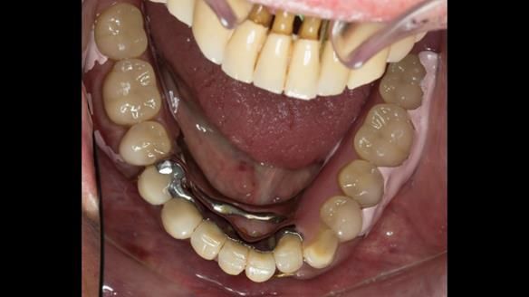
The upper jaw
In the upper arch:
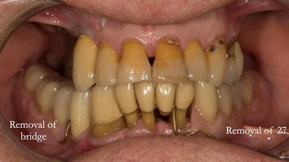
- a failing upper left tooth supporting a bridge was removed
- an implant-supported bridge on the upper right was dismantled
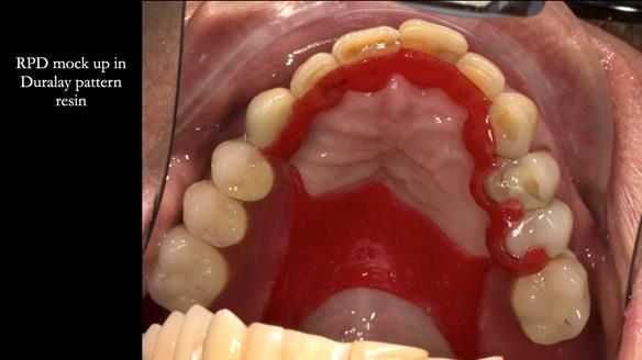
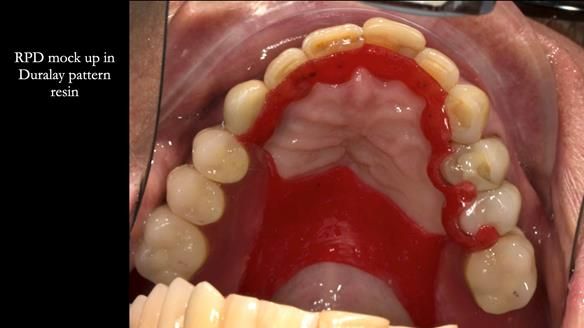
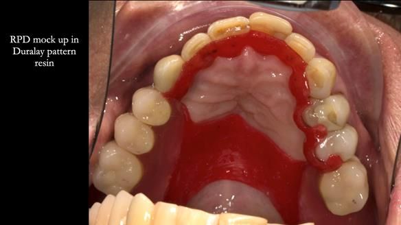
A metal-based upper RPD was made,
with metal backings incorporated to future-proof the design
should further teeth fail.
Managing change over time
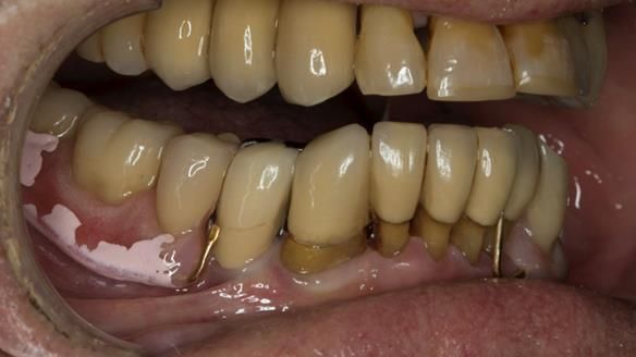
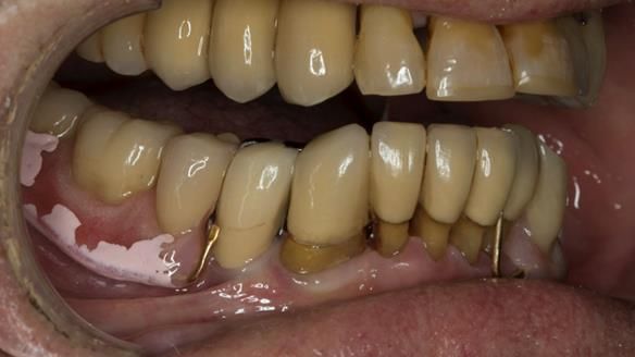
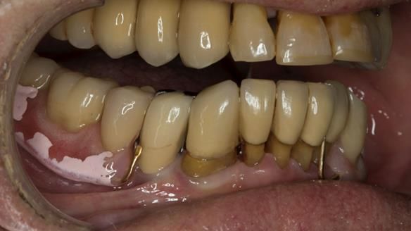
In 2016, Ken developed pain from tooth 32.
Endodontics was not possible.
The root was resected.
The tooth was already linked to 41 and 42,
and we were able to retain it
without compromising denture stability or retention.
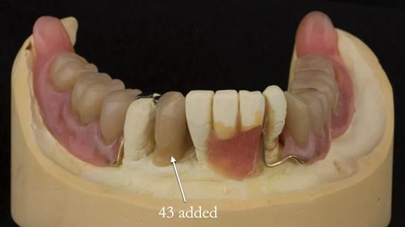
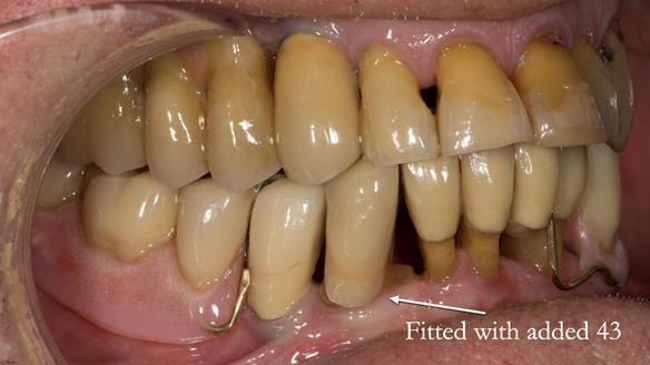
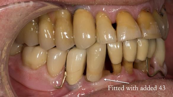
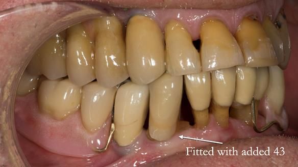
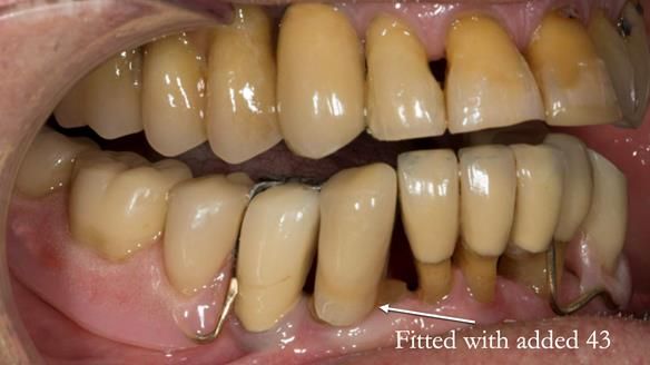
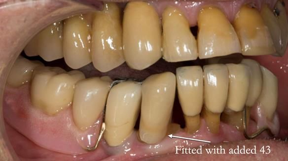
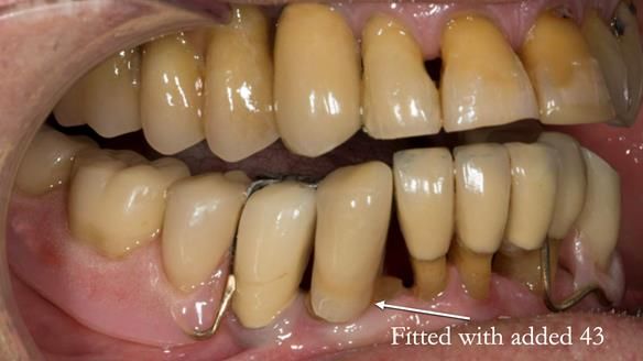
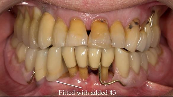
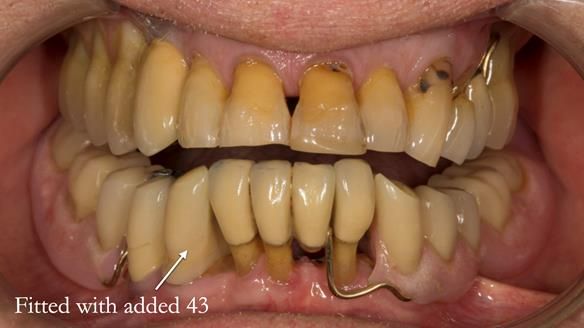
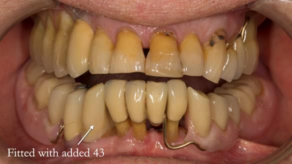
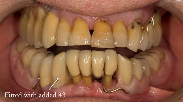
In 2022, tooth 43 fractured.
An artificial tooth was added to the RPD
by welding a cobalt–chrome tag to the bar
and adding the tooth.
The denture continued to function extremely well.
No further treatment was required.
Throughout the entire course of care,
Ken received ongoing periodontal therapy
from Syed at the practice.
This horizontal support was vital.
Without meticulous periodontal maintenance,
cases like this simply do not succeed.
Going downhill, first class
This case perfectly illustrates the concept of “going downhill, first class”, a phrase I was introduced to by Charlotte Stilwell.
It is light-hearted, but the principle is serious.
Everything in the mouth fails eventually.
Our role is to slow that process, support what remains and plan for change.
Scandinavian metal-based RPDs:
- support compromised teeth
- reduce the risk of fracture
- allow predictable addition of teeth
- help mobile teeth survive longer
In Ken’s case, a very mobile 32, which we deliberately avoided clasping, was retained for the rest of his life.
Final thoughts
Ken passed away just under 11 years after we started treatment.
His dentures worked right up until the end.
He was a pleasure to treat. Kind. Interested. Respectful.
I loved looking after him.
I remain deeply grateful to:
- Charlotte Stilwell
- John Besford
- Linda Blakely
for teaching and reinforcing this way of thinking.
Final thoughts
This case was always about function, not aesthetics.
Ken’s teeth were never going to look perfect.
There were stained composites, old restorations, and obvious wear.
That was accepted from the outset.
What matters is that the dentures worked.
The way Rowan lengthened the teeth — particularly in the upper RPD — to match the existing gingival recession on the remaining teeth was superb. The dentures sit naturally within the context of the rest of the mouth.
Most importantly, Ken could eat comfortably, speak normally, and get on with his life without thinking about his teeth. There were no ongoing problems. No drama. No repeated interventions.
For me, that is success.
Good function.
Longevity.
Adaptability.
And a patient who could simply live his life.
That’s what this case was about.
This approach is exactly what I teach on my partial denture courses and it is described in detail in the book I am finishing with John Besford.
Ken’s case is a reminder that removable prosthodontics still matters - perhaps now more than ever.




















































































































































































































































Finlay Speaking at the SWARD Annual Meeting 2026
I’m delighted to announce that I’ll be presenting at the SWARD Annual Meeting on Friday, 6th February 2026 in Dallas, Texas.
My session will focus on removable prosthodontics – a vital but often underappreciated area of dentistry. I’ll be sharing practical techniques and insights from clinical cases that span:
Complete Dentures – achieving maximum fit, function, and aesthetics
Partial Dentures – using the biologically healthy Scandinavian design system
Implant-Supported Overdentures – best practices for Locators® and bar attachments
This session is designed for the whole dental team – dentists, prosthodontists, denturists, and technicians. My goal is to share useful, actionable tips that you can take straight back to the clinic or lab.
Rowan Garstang is coming too!
I’m thrilled that Rowan, my dental technician, will be joining me in person. While he won’t be presenting, he’ll be there to answer any technical or laboratory-related questions during the day.
If you’re attending, I strongly encourage you to bring your technician along. This day is an ideal opportunity for clinicians and technicians to learn together, share perspectives, and strengthen communication.
A glimpse of the day:
Morning – Complete and Partial Dentures:
Theory + practical case demonstrations
Afternoon – Advanced Partial Dentures +
Implant-Supported Overdentures:
Design, fit, and patient-centred outcomes
Dentures remain a critical option for many patients who can’t have implants – whether due to medical reasons, cost, or personal preference. Done well, they can offer beautiful aesthetics and long-term function that often rival fixed prosthodontics.
A big thank you to the SWARD Council for the invitation.
Rowan and I are really looking forward to it!
Warm regards,
Finlay Sutton



