Finlay's Case Presentation
Welcome to my May 2022 Newsletter Case Presentation
This 79 year old man patient was referred to me for treatment. The lower right implant Locator abutment was painful with floor of mouth soft tissue growing over it. The lower right (of two implants in the mandible) had been placed too far lingually. He was unable to wear a lower complete denture comfortably over this implant and as a consequence found chewing food impossible.
Dental concerns:
“Receding gum”
“I love my food and it’s no fun eating at the moment without teeth”
Dental wish list:
“Require dentures that will be comfortable and improve my quality of life.”
“Dentures that fit”
“Pain free and ability to eat without discomfort”
“Efficient service”
Diagnoses/observations/findings
The upper denture was reasonably well fitting but had poor appearance.
The two lower implants are positioning too far towards the tongue (lingually placed). Unfortunately, the right dental implant was not useable as the soft tissues of the mouth lie over and against it. This could be put to sleep by removing the Locator attachment and placing a cover screw.
The position of the lower left implant was useable to support a lower denture. One remaining dental implant is still very useful for supporting a new denture. This is a much better scenario than not having any implants in the mandible.
The soft tissues of your mouth were visually screened for oral cancer. The soft tissues appeared healthy.
These were the options for replacing the missing lower teeth, namely:
1. Do nothing. This is not what he wanted.
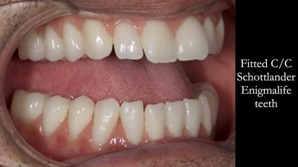
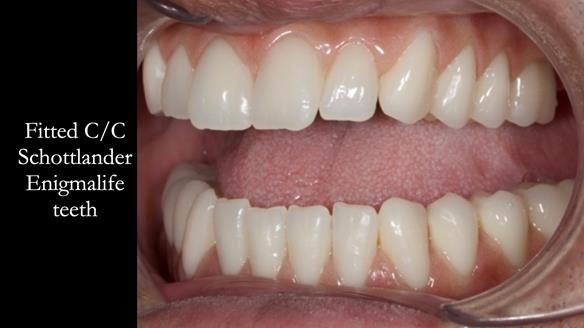
2. New upper denture and lower denture fixed to one of the implants. This is the treatment that I believe is most suitable and what Mr Iqbal wanted. This is shown in the case study below.
3. Dentures/bridges supported on more dental implants. This had been explored at the ICE Dental Implant Centre. Although more implants were technically possible there was a risk of “functional” fracture of the lower jaw because of a lack of bone volume. I did not advise this treatment.
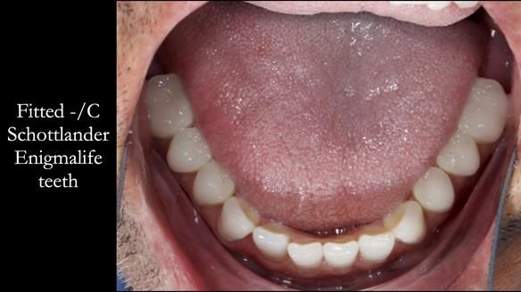
The clinical situation and treatment process is shown in detail below with photographs. I provided the clinical work. Rowan Garstang provided the technical work.
If you enjoy my Newsletters and you have friends, colleagues, dental students, dental technicians, clinical dental technicians and postgraduate dentists that you think will appreciate them, please feel free to share them. In addition, if you or your colleagues would like to receive my Newsletters please email me (education@finlaysutton.co.uk) and I will update the list.
Removable prosthodontic courses consisting of lectures and live clinical demonstrations
These courses are aimed at general dentists, prosthodontists, clinical dental technicians and dental technicians. They are completely clinical, demonstrating how to provide dentures which have optimal function and superb aesthetics. I give live patient demonstrations along with lectures abundantly illustrated with step-by-step photographs and videos of all procedures. Delegates will take many “nuggets of gold”, being able to put the advice straight into practice with immediate improvement in professional satisfaction and patient outcomes.
Course topics:
Immediate dentures next course May 26 2022 - 3 spaces left
Partial dentures next course May 27 2022 - 0 spaces left
Overdentures supported by implants and teeth - November 18 2022 - 3 spaces left
education@finlaysutton.co.uk













































































































































































