
Finlay's Case Presentation
This special edition newsletter describes in step-by-step detail Dennis’s treatment stages with complete dentures.
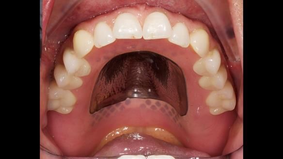
Provision of metal reinforced complete dentures. The lower can be converted to implant support in the future, if needed.
This 78 year old man was referred to me by his general dental practitioner for treatment.
Dental concerns
“I am having to use my old dentures because I broke the other ones. I have trouble chewing food without them rocking about. Food goes underneath when I eat. I get mouth ulcers. Most of the time I take them out and only put them in when I am going to eat.”
Wish list
“To have comfortable dentures that I can leave in.”
“To be able to eat most food without them rocking about and food going under the denture.”
“To stop having mouth ulcers.”
“To have dentures that don’t look like dentures” To look like natural teeth with character.
Dennis had been provided with MANY sets of dentures by both dentists and clinical dental technicians (denturist). None had proven satisfactory. The latest set had been reinforced with metal because of breakages.
Following consultation, the patient chose to have replacement upper and lower conventional metal reinforced dentures made (professional fee £7,978 GBP). Metal reinforcement was given because of a history of breaking dentures. The lower denture was designed to allow conversion to an implant supported over denture if required (additional fee £12,542 GBP).
The clinical situation and treatment process is shown in detail below with photographs. I (Finlay Sutton) provided the clinical work and Rowan Garstang provided the technical work.
If you enjoy my Newsletters and you have friends, colleagues, dental students, dental technicians, clinical dental technicians and postgraduate dentists that you think will appreciate them, please feel free to share them. In addition, if you or your colleagues would like to receive my Newsletters and Denture Blog by email, please let me know (education@finlaysutton.co.uk).
Courses given by Finlay
Removable prosthodontic courses consisting of lectures and live clinical demonstrations
These courses are aimed at general dentists, prosthodontists, clinical dental technicians and dental technicians. They are completely clinical, demonstrating how to provide dentures which have optimal function and superb aesthetics. I give live patient demonstrations along with lectures abundantly illustrated with step-by-step photographs and videos of all procedures. Delegates will take many “nuggets of gold”, being able to put the advice straight into practice with immediate improvement in professional satisfaction and patient outcomes.
Please see details of courses and lectures (in UK and rest of the world) to be given by Finlay over during 2023 at the end of this Newsletter
education@finlaysutton.co.uk
Subscribe to Newsletter
Information about Finlay's In-House Courses
Information about Finlay's speaking engagements
























































































































































































































































