Finlay's Case Presentation 54
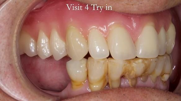
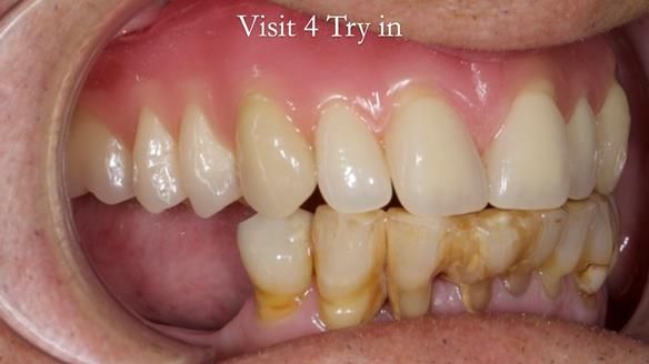
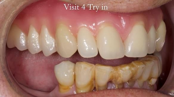
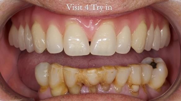
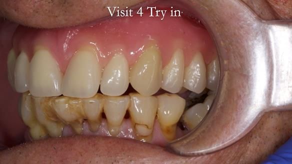
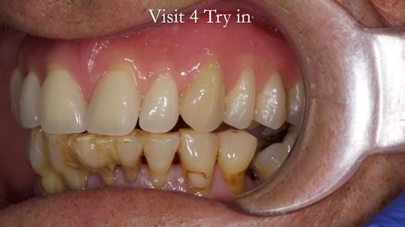
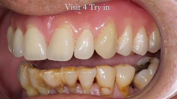
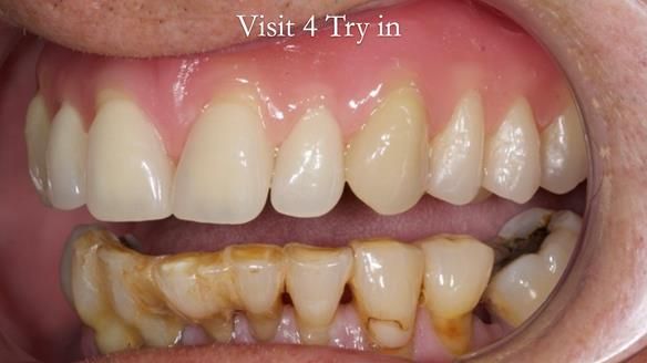
Welcome to my Newsletter 54 showing the making and fitting of dentures (a complete upper metal reinforced denture, a lower immediate partial denture and a definitive Scandinavian designed, metal based lower partial denture) for David, a 75 -year-old man. The full protocol workflow is presented including the use of dentate photographs to mimic his natural teeth.
David was referred to me by his general dentist. This is how most of my patients come to me.
Dental concerns
“Il fitting dentures, causing problems eating”
Dental wish list
“Straight even teeth”
“White in colour”
“Well fitted and comfortable”
Diagnoses
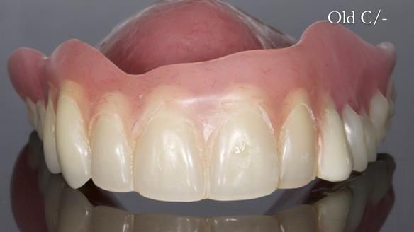
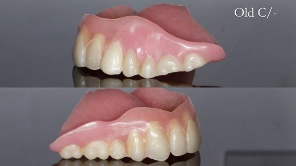
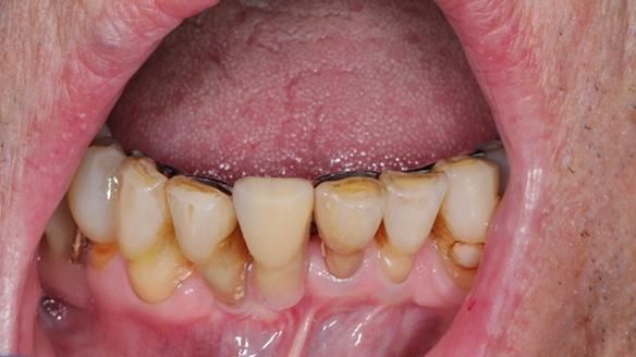
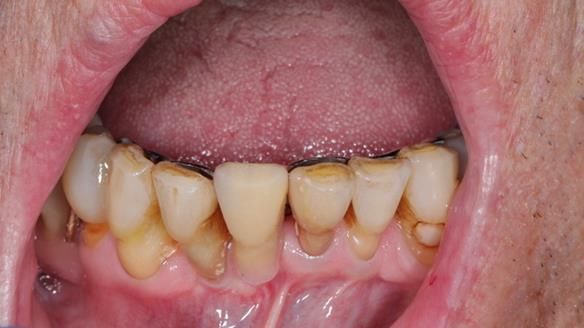
- Current complete upper denture had many technical problems. Poor retention, support, stability and tissue fit.
- Missing teeth on the lower right side. This makes the upper denture tip when chewing and biting.
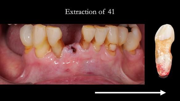
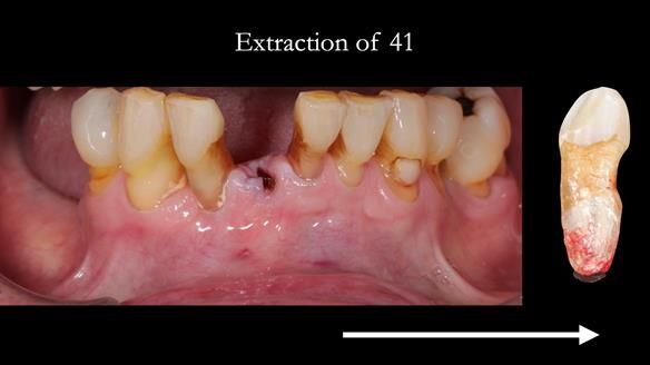
- The remaining lower 9 teeth had periodontal disease. Syed Abad, Specialist in Periodontics at the practice managed it.
- The soft tissues of the mouth appeared healthy.
Treatment options discussed with the patient
- Do nothing - David did not want this
- Complete upper dentures – metal reinforced. David wanted this
- Implant supported upper denture - David did not want this
- Implant supported fixed bridge - David did not want this
The clinical situation and treatment process is shown in detail below. I provided the clinical work. Rowan Garstang, my dental technician, provided the technical work.
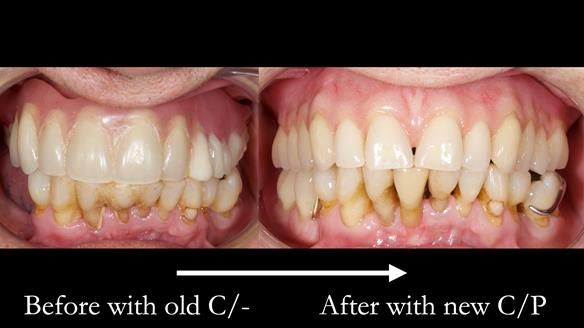
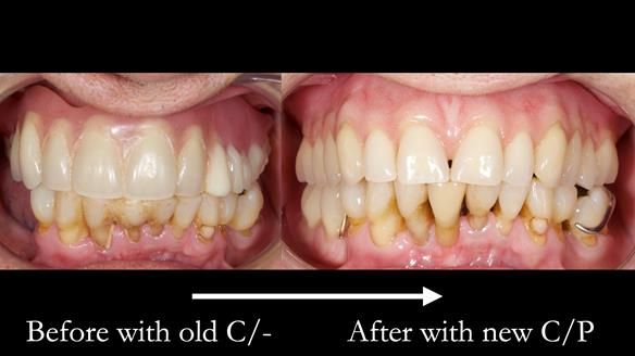
Interestingly we found that the upper complete denture when finished and fitted didn’t have good enough retention for David’s satisfaction. It was relined by adding compound to the buccal flanges – to almost overextend into the sulcus to ‘create’ a sulcus, followed by using a light bodied silicone impression material. This improved the function of the C/-considerably. A lower Scandinavian hygienically designed lower RPD was also provided which helped with occlusal stability and reseating the upper denture – further improving the fit.
If you enjoy my Newsletters and you have friends, colleagues, dental students, dental technicians, clinical dental technicians, postgraduate dentists, dental nurses/assistants and dental team members that you think will appreciate them, please feel free to share them. In addition, if you or your colleagues would like to receive my Newsletters, please email me (education@finlaysutton.co.uk) and I will update the list.
Courses given by me (Finlay) at the practice
I love running removable prosthodontic courses consisting of lectures and live clinical demonstrations at the practice. I give live treatment demonstrations of impression making, registration, try in and fitting of dentures. These courses are aimed at general dentists, prosthodontists, clinical dental technicians and dental technicians. They are completely clinical, demonstrating how to provide dentures which have optimal function and superb aesthetics. I give live patient demonstrations along with lectures abundantly illustrated with step-by-step photographs and videos of all procedures. Delegates will take many “nuggets of gold”, being able to put the advice straight into practice with immediate improvement in professional satisfaction and patient outcomes.
Speaking at dental and prosthodontic conferences throughout the UK, Europe and the World.
I also love speaking at conferences with the main aim of igniting enthusiasm for removable prosthodontics. I truly believe that well designed and well-made removable dentures are a valid alternative to implant supported restorations and I like to demonstrate this clearly in my lectures. In addition, I enjoy demonstrating the positioning of denture teeth in their natural place, this being an essential skills for dentists who are replacing missing teeth using dental implants as support. Giving patients appropriate lip support and placing artificial teeth into the best aesthetic position is a skill which dentists placing dental implants must have and is a fundamental part of complete denture discipline. If you would like me to speak at a conference please contact me at education@finlaysutton.co.uk.
My speaking/honoraria fees are higher than average, reflecting the quality of the clinical work I present and the dedication I have put into removable prosthodontics throughout my career. There is a huge amount of free to access resources available on my website (Resources and Case Studies) and on my FaceBook page. My lecturing and speaking engagements pay for this free to access material. I am completely honest and transparent, holding nothing back technically and emotionally so that delegates benefit maximally - which I find they truly love. My presentations have meticulous documentation of each patient I treat, beautifully illustrated with photos and videos. My lectures are designed so that delegates can put into practice the practical advice straight away on Monday morning. In addition, I deliver content in a stimulating and entertaining way, keeping the attention of attendees.
Please see details of courses and lectures (in UK and rest of the world) to be given by Finlay over the next year at the end of this Newsletter
education@finlaysutton.co.uk
Subscribe to Newsletter
Information about Finlay's In-House Courses
Information about Finlay's speaking engagements























































































































































































































































































































































