Finlay's Case Presentation 55
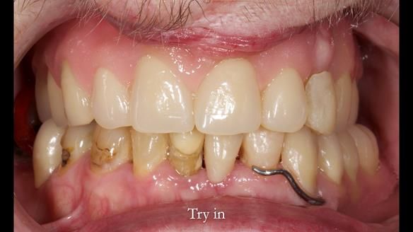
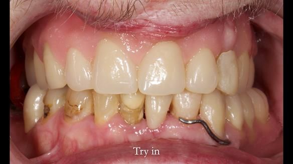
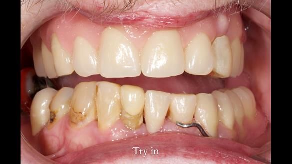
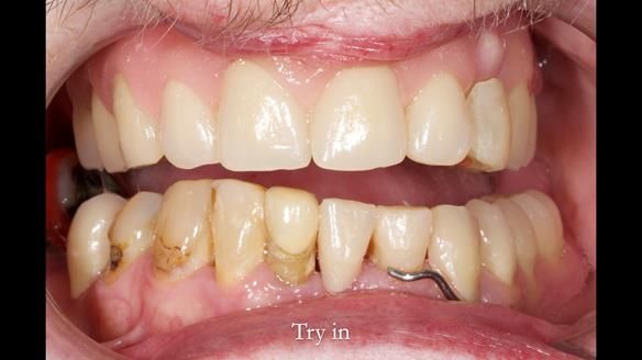
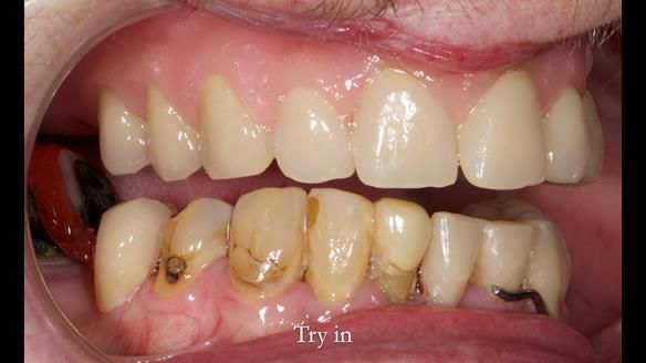
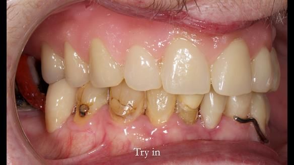
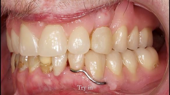
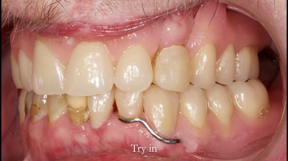
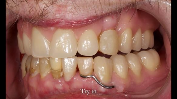
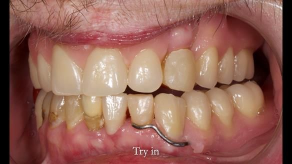
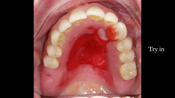
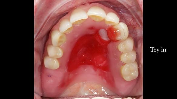
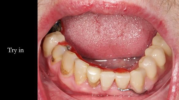
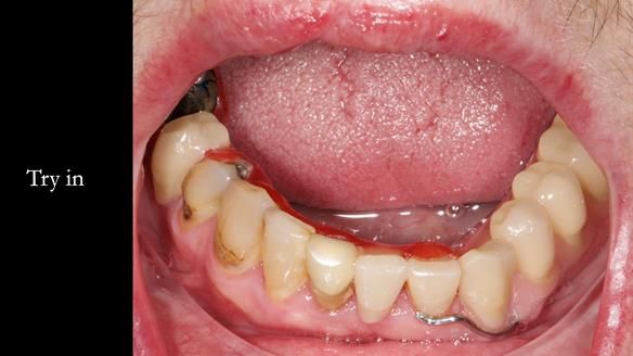
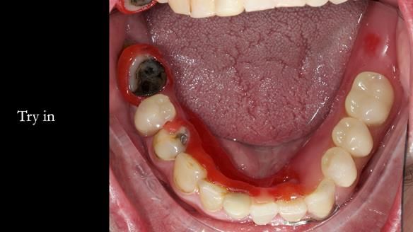
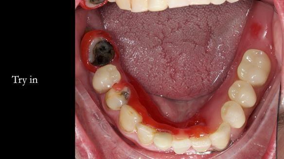
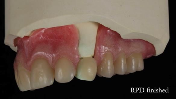
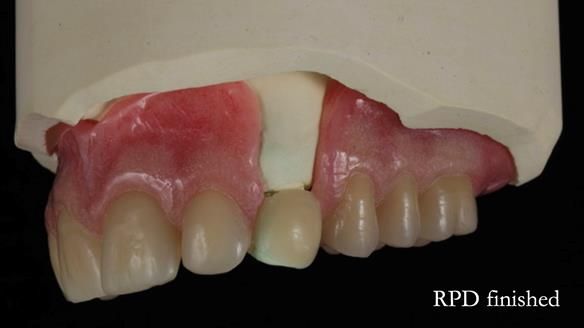
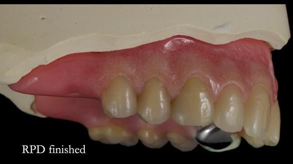
Welcome to Newsletter 55 showing the making and fitting of removable partial dentures (RPDs) for Zephyrine, a 70 -year-old woman, with a repaired cleft lip and palate. The full protocol workflow is presented including the use of dentate photographs to mimic her natural teeth.
I send the same Newsletter twice (only) at different times of the day, so that readers around the world don’t miss out on the content.
Zephyrine was recommended to me for specialist prosthodontics by her general dentist.
Dental concerns
“Primarily that I now have only 9 teeth. I can eat OK, but have modified my diet over recent years to make it easier”
Dental wish list
“Removable dentures and to keep as many (natural) teeth as possible”
“I have no ‘vanity’ or confidence concerns or motivation”
“I want a collaborative approach to my care”
Diagnoses
- Repaired cleft lip and palate as baby.
- The shape of the upper jaw and the one remaining natural tooth the upper right canine makes providing a well-fitting and well tolerated denture technically challenging.
- The remaining 9 teeth have uncertain prognosis having had gum disease/caries/wear–have reduced bone support/structural integrity. Although very compromised I did not believe these teeth should not be removed as they are still useful teeth to support new dentures to help with biting and chewing. The new partial dentures were designed to be added to when each of these teeth fail.
- The lower left canine required root canal treatment having a peri-radicular lesion and open root canal.
- Failed implant treatment in the maxilla.
- The soft tissues of your mouth were visually screened for oral cancer. They appeared healthy. This is a routine assessment I carry out for all my patients.
Treatment options discussed with the patient
Zephryine did not want to explore dental implant supported restorations owing to previous implant failure. I gave her the option of an upper partial denture (RPD) only or both upper and lower partial dentures (RPDs). She wanted to proceed with both upper and lower RPDs.
The clinical situation and treatment process is shown in detail below. I provided the clinical work. Rowan Garstang, my dental technician, provided the technical work. The treatment required 6 visits to fit the RPDs and 2 reviews.
My recent trip to the World Dental Conference in Sydney, Australia was super exciting, meeting colleagues from all over the world. Here I met Sharonne Zaks who is doing amazing work with her patients – “using a collaborative approach”. Like Sharonne, my patients have often had awful experiences (dental or otherwise), presenting more challenges in managing their treatment journey. Sharone’s approach to her patients is very similar to mine. Watch her amazing TED talk.
If you enjoy my Newsletters and you have friends, colleagues, dental students, dental technicians, clinical dental technicians, postgraduate dentists, dental nurses/assistants and dental team members that you think will appreciate them, please feel free to share them. In addition, if you or your colleagues would like to receive my Newsletters, please email me (education@finlaysutton.co.uk) and I will update the list.
Courses given by me (Finlay) at the practice
I love running removable prosthodontic courses consisting of lectures and live clinical demonstrations at the practice. I give live treatment demonstrations of impression making, registration, try in and fitting of dentures. These courses are aimed at general dentists, prosthodontists, clinical dental technicians and dental technicians. They are completely clinical, demonstrating how to provide dentures which have optimal function and superb aesthetics. I give live patient demonstrations along with lectures abundantly illustrated with step-by-step photographs and videos of all procedures. Delegates will take many “nuggets of gold”, being able to put the advice straight into practice with immediate improvement in professional satisfaction and patient outcomes.
Speaking at dental and prosthodontic conferences throughout the UK, Europe and the World.
I also love speaking at conferences with the main aim of igniting enthusiasm for removable prosthodontics. I truly believe that well designed and well-made removable dentures are a valid alternative to implant supported restorations and I like to demonstrate this clearly in my lectures. In addition, I enjoy demonstrating the positioning of denture teeth in their natural place, this being an essential skills for dentists who are replacing missing teeth using dental implants as support. Giving patients appropriate lip support and placing artificial teeth into the best aesthetic position is a skill which dentists placing dental implants must have and is a fundamental part of complete denture discipline. If you would like me to speak at a conference please contact me at education@finlaysutton.co.uk.
My speaking/honoraria fees are higher than average, reflecting the quality of the clinical work I present and the dedication I have put into removable prosthodontics throughout my career. There is a huge amount of free to access resources available on my website (Resources and Case Studies) and on my FaceBook page. My lecturing and speaking engagements pay for this free to access material. I am completely honest and transparent, holding nothing back technically and emotionally so that delegates benefit maximally - which I find they truly love. My presentations have meticulous documentation of each patient I treat, beautifully illustrated with photos and videos. My lectures are designed so that delegates can put into practice the practical advice straight away on Monday morning. In addition, I deliver content in a stimulating and entertaining way, keeping the attention of attendees.
Please see details of courses and lectures (in UK and rest of the world) to be given by Finlay over the next year at the end of this Newsletter
education@finlaysutton.co.uk
Subscribe to Newsletter
Information about Finlay's In-House Courses
Information about Finlay's speaking engagements



























































































































































































































































































































