
NEWSLETTER CASE PRESENTATION 68
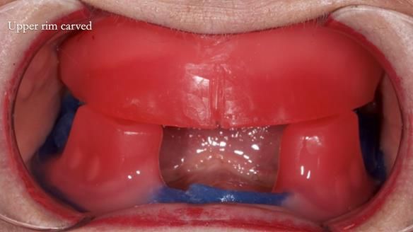
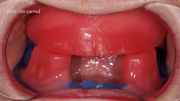
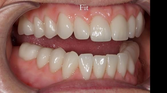
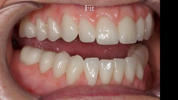
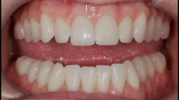
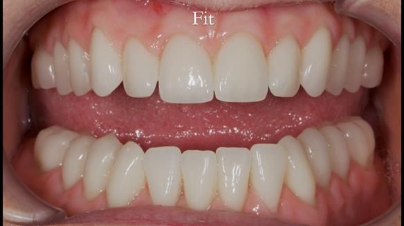
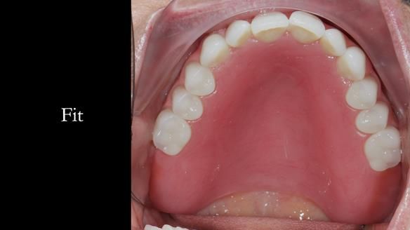
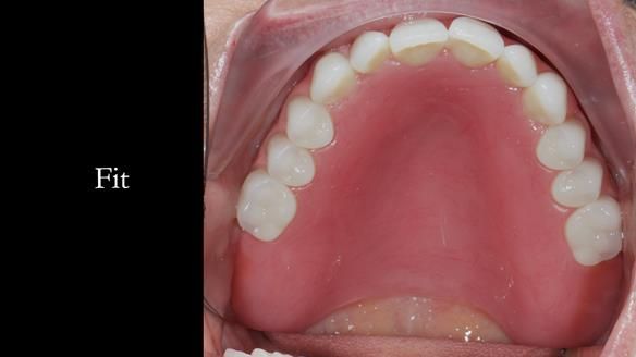
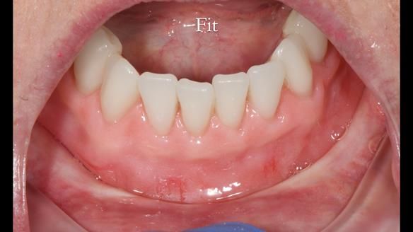
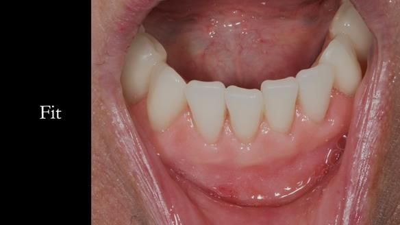
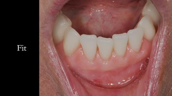
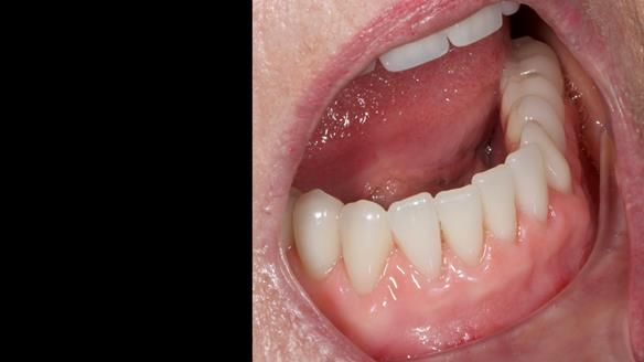
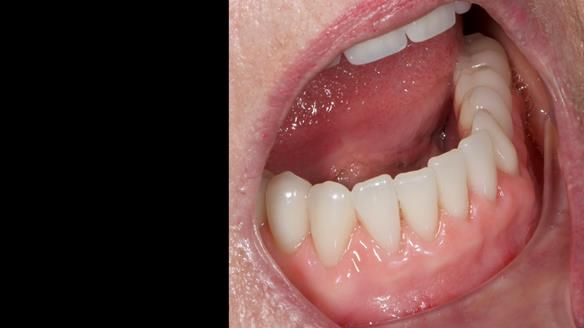
This month's case features the complete denture provision for Jan, a healthy 66-year-old who desired a smile mimicking her daughter's. Back in the 1990s, a growth was removed from her anterior mandible, and the area was skin grafted. Interestingly, she was still using the same complete dentures made over 30 years ago, which was now very worn. The tooth positions were incorrect too, with the upper teeth placed to far back over the ridge giving poor lip support. The lower denture included an extension at the front to fit over the altered anatomy.The full protocol workflow is presented here.
Click here for case study link on my website.


Jan's case presentation
Dear Reader
Welcome to Newsletter 68, where I detail the making and fitting of Jan's complete dentures. I will also be talking through this case on Thursday morning (August 29) at 7.30am BST for study club live:
The past two months have been some of the most challenging since I decided to focus on removable prosthodontics ten years ago. Sadly, my dental technician, Rowan, has been unwell and unable to work during this period. While I’ve found an excellent alternative technician, the situation has caused considerable anxiety.
Adding to this, I've also received two written complaints from patients. I really do take these very personally. As always I've been privileged to receive support from professional colleagues and family, helping me navigate these challenges. As a result, I’ve decided to make two small changes to my clinical practice. First, I’ve arranged for patients to sit at a round table away from the dental chair upon entering the clinical surgery (office), fostering a more relaxed environment. Second, I will now follow up with patients experiencing issues with their dentures through a phone call to check on their progress. These simple adjustments—advice from my mentor, Dr. John Besford— I think will make a significant difference. They are common sense, so much so that I honestly can't understand why I didn't already do this.
In light of these and other experiences, I’m planning to host some one-day lectures next year (2025) titled Finlay’s Failures, Denture Disasters, and How I Got Out of Them. Dates and venues to be announced.
This month's case features the complete denture provision for Jan, a healthy 66-year-old who desired a smile mimicking her daughter's. Back in the 1990s, a growth was removed from her anterior mandible, and the area was skin grafted. Interestingly, she was still using the same complete dentures made over 30 years ago, which was now very worn. The tooth positions were incorrect too, with the upper teeth placed to far back over the ridge giving poor lip support. The lower denture included an extension at the front to fit over the altered anatomy.
Treatment Process: I provided the clinical work while Rowan Garstang delivered the technical aspects. The treatment required five visits to complete the dentures, and I’ve seen Jan for two adjustment since.
Interested in learning how to provide dentures like these?
Join me for a two-day "Personalised Complete Dentures" masterclass on September 26th-27th, 2024. This course is designed to make your approach to dentures more predictable, featuring Finlay (me) giving live patient demonstrations of all clinical steps, hands-on practice, and personalised guidance. Aimed at all levels of dentists, clinical dental technicians, and dental technicians, and is particularly beneficial for both clinical and technical teams.
While it is a significant investment (£2,889.60 per person), if you're looking to deliver higher quality complete dentures, this is the course for you.
Sharing and Subscribing: If you enjoy my Newsletters, please share them with friends, colleagues, dental students, dental technicians, and other dental team members. To subscribe, email me at education@finlaysutton.co.uk and I will update the list.
Courses and Speaking Engagements: I run removable prosthodontic courses consisting of lectures and live clinical demonstrations. These are aimed at general dentists, prosthodontists, clinical dental technicians, and dental technicians. My courses focus on providing dentures with optimal function and superb aesthetics, demonstrated through step-by-step photographs and videos.
I also speak at dental and prosthodontic conferences globally, aiming to ignite enthusiasm for removable prosthodontics. I showcase well-designed dentures as valid alternatives to implant-supported restorations and demonstrate the importance of proper tooth positioning for aesthetic and functional success.
For speaking engagements, contact me at education@finlaysutton.co.uk.
My fees reflect the quality and dedication to my clinical work and the extensive free resources available on my website and Facebook page.
Upcoming Courses and Lectures: Details of my courses and lectures from 2023 to 2024 are at the end of this Newsletter.
Contact: education@finlaysutton.co.uk
Information about Finlay's speaking engagements




















































































































































































































































































