

NEWSLETTER CASE PRESENTATION 70
Welcome to Newsletter 70
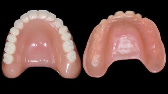
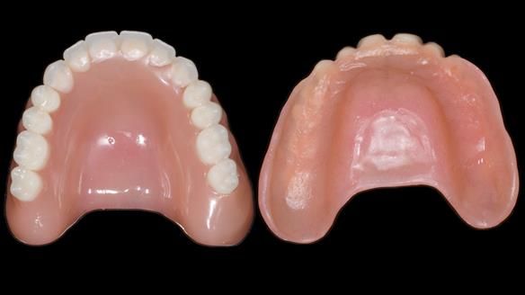
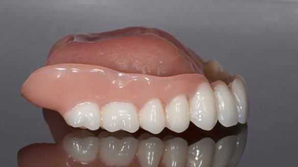
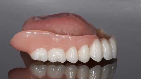
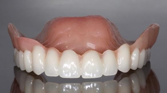
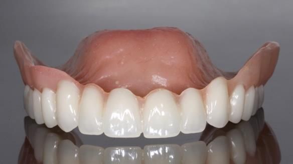
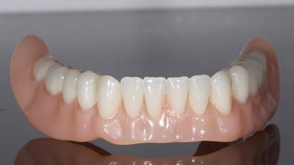
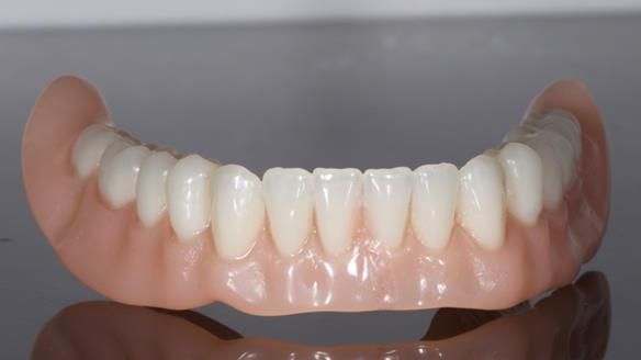
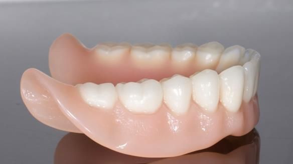
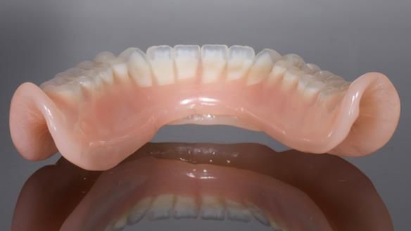
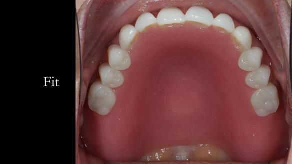
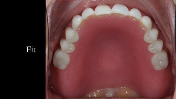
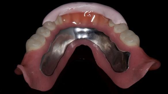
In this edition, I present the complete denture treatment for Kate, a 69-year-old American woman living in Garstang, UK. Kate had been edentulous for many years and required a set of complete dentures that closely mimicked her natural teeth. The new upper and lower dentures provided excellent retention and stability, with significant suction in the upper denture. Below, I detail the step-by-step process of her treatment, as well as my workflow for implant-supported overdentures for patients who may require them.
Kate had previously undergone treatment for Stage T3 breast cancer, which included three rounds of six-monthly bisphosphonate IV infusions. As a result, dental implants were not a viable option due to the high risk of MRONJ (medication-related osteonecrosis of the jaw), despite Kate having saved up money for implant-supported teeth. She was referred to me to deliver technically excellent dentures. Interestingly this case on my teaching website attracted her to the practice.
She had been edentulous for over 20 years, during which time she had three sets of dentures made, none of which were satisfactory. As a result, she rarely wore them, preferring to eat without dentures at home. When she worked in the USA before moving to the UK, she would wear the dentures during work hours but remove them as soon as she got in the car to drive home.
Her primary concerns included:
• Difficulty eating with them
• The lower denture being unstable and rocking
• Wear dentures without gagging
Her wish list for treatment:
• To look like my natural teeth
• No gagging
• Stability in the lower denture
• The ability to eat anything
• Pain-free functionality
The treatment was a resounding success, meeting all of Kate’s expectations. While I was confident I could achieve a natural appearance, the challenges of gagging, denture stability, and eating were less predictable and uncertain. I discussed these concerns thoroughly at the outset, and Kate decided to proceed despite the high cost. She expressed that there was no pressure to move forward with the treatment, and she’s been delighted with the life-changing results.
Treatment Process: I provided the clinical work while Rowan Garstang and Sam Hesketh delivered the technical aspects. The treatment required fifteen visits to fit and review Edgar.
Kate is now my demonstration patient for complete dentures, and she recently participated in a course last week. I had a fantastic group of attendees: Mark and Tineke from the Netherlands, Advan from Dublin, Andreea from Warrington, and Anu from Edinburgh. The next complete denture course is scheduled for March 20-21, 2025.
As for my dental technician, Rowan is still off on leave, and has been for just over three months. I’m currently working with Sam Hesketh, and we’ve established a great working relationship.
Zoom study club:
Looking ahead, my next live study club via Zoom will be held on Thursday, 10th October at 7:30 am (British Summer Time). LINK I’ll be presenting my Lightbulb Moments—seven key insights that have transformed my approach to dentistry, removable prosthodontics, and patient care over the past 30 years. These moments come from a variety of sources, including patients, teachers, colleagues, courses, and personal reflection, all of which have helped to enhance my understanding and improve my practice.
If you’re local, I will also be delivering my Lightbulb Moments presentation in person as part of an open evening for Garstang Dental Referral Practice, held later that same day at Garstang Country House and Golf Centre:
Date & Time: Thursday, 10th October
5:30 pm – 9:00 pm
Location: Garstang Country House and Golf Centre, Bowgreave Drive, Garstang, Lancashire UK PR3 1YE
Evening programme:
• 5:30 pm: Arrival
• 6:00 pm: Food & drinks
• 6:30 pm – 8:30 pm: Presentations, including a Q&A on:
Finlay Sutton (me)
Lightbulb Moments: 7 Insights That Changed My Understanding of Dentistry and Patient Care
Join me as I share seven key insights that have shaped my 30-year career. These insights span from patients to professional experiences and have revolutionized my approach to dentistry and patient care.
My colleagues, Dr Hannah Walsh, a specialist in paediatric dentistry, and Dr Zohaib Ali, a specialist in prosthodontics, will also present in their respective fields.
I hope to see you there!
Subscription Information: I send this Newsletter twice (only) at different times of the day via email, to ensure global readership doesn’t miss out on the content. To receive these emails, please visit my website www.finlaysutton.co.uk and subscribe to our newsletters and blogs.
Sharing and Subscribing: If you enjoy my Newsletters, please share them with friends, colleagues, dental students, dental technicians, and other dental team members. To subscribe, email me at education@finlaysutton.co.uk and I will update the list.
Courses and Speaking Engagements: I run removable prosthodontic courses consisting of lectures and live clinical demonstrations. These are aimed at general dentists, prosthodontists, clinical dental technicians, and dental technicians. My courses focus on providing dentures with optimal function and superb aesthetics, demonstrated through step-by-step photographs and videos.
I also speak at dental conferences, aiming to ignite enthusiasm for removable prosthodontics. I showcase well-designed dentures as valid alternatives to implant-supported restorations and demonstrate the importance of proper tooth positioning for aesthetic and functional success.
For speaking engagements, contact me at education@finlaysutton.co.uk.
Upcoming Courses and Lectures: Click here for details of my courses and lectures for 2024 to 2025. Furrther info is at the end of this Newsletter.
Contact: education@finlaysutton.co.uk
Click here for case study link on my website.






























































































































































































































































































