
NEWSLETTER CASE PRESENTATION 71
Welcome to Newsletter 71
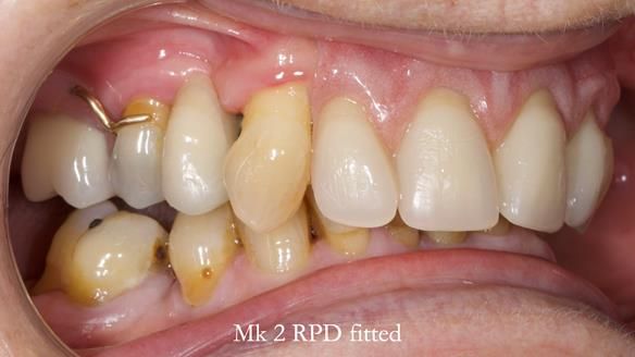
Jean’s Class I Mod III RPD: Learning from My Mistakes – From a Fractured Mk1 to a Stronger Mk2 (4 Years On)
If you enjoy these newsletters, please forward them to your dental colleagues and encourage them to subscribe. My mission is to help you provide better removable dentures for patients worldwide.
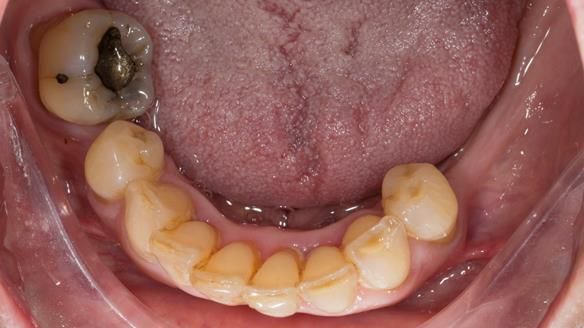
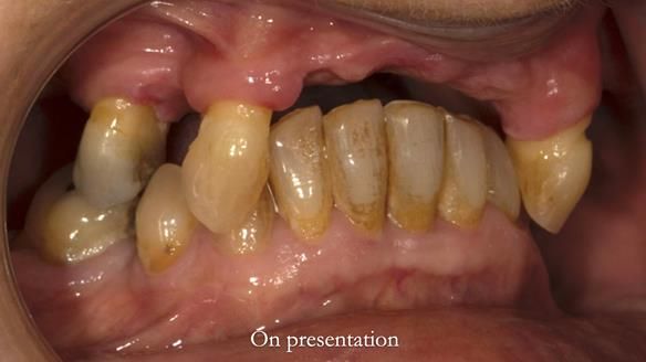
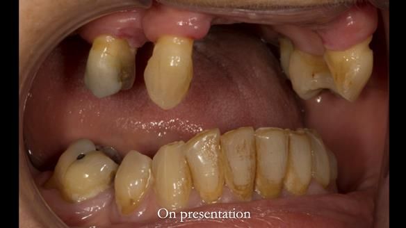
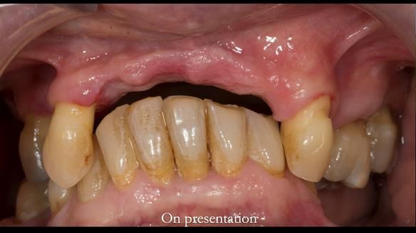
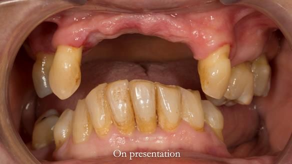
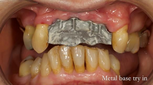
In this edition, I present the removable partial denture treatment for Jean, an 80-year-old woman with a sore mouth caused by a soft tissue-supported 'gum stripper' acrylic denture and a clenching habit. Below, I outline the step-by-step process of her treatment. It wasn't straightforward; I had to remake the denture after it fractured to achieve a satisfactory result. Each patient is unique, and sometimes a new RPD serves as a prototype. Occasionally, I need to make adjustments, learn from any mistakes, and refine the design to get it right.
The treatment has been a success over the past 4 years.
Zoom study club:
Looking ahead, my next live study club via Zoom will be on Thursday, 7th November at 7:30 pm (GMT). I’ll be presenting Jean’s case in detail. Please join me to ask questions live! Click on this link at that time: https://us02web.zoom.us/j/86365424669
All of my previous study clubs are recorded and available on my YouTube channel.
Subscription Information: I send this Newsletter twice (only) at different times of the day via email, to ensure global readership doesn’t miss out on the content. To receive these emails, please visit my website www.finlaysutton.co.uk and subscribe to our newsletters and blogs.
Sharing and Subscribing: If you enjoy my Newsletters, please share them with friends, colleagues, dental students, dental technicians, and other dental team members. To subscribe, email me at education@finlaysutton.co.uk and I will update the list.
Courses and Speaking Engagements: I run removable prosthodontic courses consisting of lectures and live clinical demonstrations. These are aimed at general dentists, prosthodontists, clinical dental technicians, and dental technicians. My courses focus on providing dentures with optimal function and superb aesthetics, demonstrated through step-by-step photographs and videos.
I also speak at dental conferences, aiming to ignite enthusiasm for removable prosthodontics. I showcase well-designed dentures as valid alternatives to implant-supported restorations and demonstrate the importance of proper tooth positioning for aesthetic and functional success.
For speaking engagements, contact me at education@finlaysutton.co.uk.
Upcoming Courses and Lectures: Click here for details of my courses and lectures for 2024 to 2025. Furrther info is at the end of this Newsletter.
Contact: education@finlaysutton.co.uk
Click here for case study link on my website.





























































































































































































































































