NEWSLETTER CASE PRESENTATION 72
Welcome to Newsletter 72
Paul, a Former Dentist: The Removable Partial Denture Journey After Tumour Removal – Success, Setbacks, and Lessons Learned
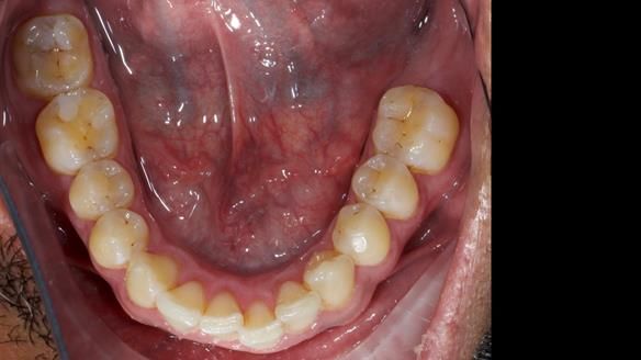
In this newsletter, I’ll be sharing the case of a patient, Paul, a 53-year-old former dentist who presented with concerns that his current upper removable denture was not fit for purpose. Paul’s wishes were clear: he wanted a better-fitting denture and an improved aesthetic result.
To accommodate different time zones, I send this Newsletter twice at different times. This ensures that everyone, no matter where they are in the world, receives it at a convenient time. So, if you see it twice in your inbox, that's why!
If you enjoy these newsletters, please forward them to your dental colleagues and encourage them to subscribe. My mission is to help you provide better removable dentures for patients worldwide.
Paul faced significant challenges after undergoing a tumour excision, which included the extraction of the upper incisors, leaving a large defect where implants were not an option due to a lack of bone extending up to the floor of the nose. The treatment was further complicated by the four-hour journey time from my practice - a situation not uncommon for my patients, given the specialist nature of the care I provide.
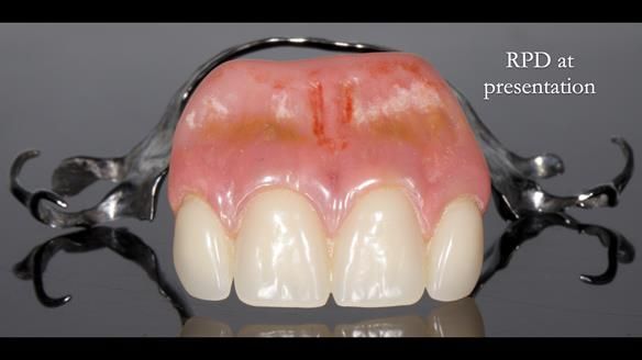
While we achieved significant improvement owing to Rowan’s (my dental technician) and Chris Hesketh’s (my metal technician) skill, Paul’s case was deeply challenging in other ways. Two months after fitting, the 12 fractured. Rowan repaired it by post, and the patient was without the new RPD for three days. Upon its return, Paul began complaining about the bulk of the metalwork and asked about our refund policy and warranty, which is outlined as one year in the treatment plan letter. Paul remarked that in all his years fitting thousands of RPDs on the NHS, he had never experienced a tooth fracture so soon after fitting. He also expressed concerns about the sharpness of the metal rest on the 23, suggesting that I should have inspected the fit with a probe.
While I respect Paul’s perspective, I prefer to rely on the patient’s tongue to identify sharp areas, as I believe it to be a far better tool for this purpose. I typically ask patients to run their tongue around their mouth and provide feedback. However, in Paul’s case, he was in rather a hurry to leave at the fit appointment, so that this step was not fully assessed, which added to the complications.
I offered Paul two options: to either visit us for adjustments or post the RPD back to us so we could adjust the rest on the 23. I did not offer a refund as I had not had chance to review and adjust the RPD. Five months later, Paul decided to travel up for the adjustments. As a gesture of goodwill, I covered his accommodation and travel expenses for this visit.
Paul had found the framework bulky and uncomfortable, saying, “The framework is so bulky compared to others I’ve had. It catches food every time as it does not fit flush. It’s just not comfortable.” At the same time, he appreciated the appearance, stating, “The appearance is amazing—you cannot beat it. Your technician’s work is world-class, but the bulk of the framework takes away from the overall experience.”
At the metal lab in Bolton, Chris (my metal techncian) and I slimmed the rest on the 23 to make it similar in feel to the rest on the 23. In addition, I double-checked the anterior guidance on the RPD, as the 12 had fractured previously.
Reflecting on this case with the benefit of hindsight, I recognise that I could have taken greater control of each visit rather than allowing myself to be led by Paul’s urgency to leave as quickly as possible. I now believe it would have been better to insist on scheduled reviews and carefully manage his expectations, especially regarding the time and adjustments required for optimal outcomes. During the visits generally, I felt a bit uneasy and a little intimidated. I realise this was completely my issue and not his.
Paul’s background as a former dentist added another layer of complexity. He remarked, “I’m not an average patient—I’m a former dentist, and I know what a good removable denture should feel like. I’ve made hundreds of cobalt-chrome frameworks myself. This isn’t what I consider world-class.” Despite his frustrations, Paul offered constructive feedback, saying, “I hope my feedback helps because I know you want to be world-class. I’m being honest with you so you can reflect on this and improve.”
I worked through this difficulty with John, my clinical psychologist, who helped me deal with this situation in the most appropriate way. Through his guidance, I now feel stronger after this experience and determined not to let it stop me from helping more patients in the future.
This case highlights the complexities of managing both the technical and interpersonal aspects of RPD treatment. It also reinforces the importance of clear communication, setting boundaries, and maintaining a structured approach to treatment planning and follow-ups, performed compassionately.
My mission is to change the way RPDs are made globally for the benefit of our patients and to enhance professional satisfaction. Well-made RPDs not only improve patients’ lives but also bring immense fulfilment to clinicians and technicians when approached with care and expertise.
A Note About My Dental Technician
Rowan, my talented dental technician, is currently recovering and, although not back at work yet, is making steady progress. We are hopeful that he will return in February 2025. In the meantime, Sam Hesketh has been a tremendous help, stepping in with fantastic laboratory work to ensure our high standards are maintained. I’m incredibly grateful to Sam for his support during this time and look forward to welcoming Rowan back when he’s ready.
On a related note, I’m thrilled to announce that I have been invited to present at the Southwest Academy of Restorative Dentistry (SWARD) meeting in 2026. This exciting event will take place on Friday, 6th February 2026, at the George W. Bush Presidential Center, SMU Campus – Dallas, Texas, USA. I will deliver a full-day session focusing on the art and science of removable prosthodontics. The programme will include topics on complete dentures, partial dentures, and implant-supported overdentures, with practical techniques for achieving optimal outcomes.
Calling all dentists in the USA: This is an opportunity to gain practical insights into elevating the standard of removable prosthodontics and delivering exceptional results for your patients. I hope to see you there!
I will also be presenting Paul’s case in more detail during a live free Zoom session on Thursday, 5th December 2024, at 7:30 am GMT. This 1 hour session will provide practical lessons for dentists, clinical dental technicians (CDTs), and dental technicians, with an emphasis on how we can elevate the standard of RPDs worldwide while improving patient care and professional fulfilment. I hope you can join me for this important discussion. Link:https://us02web.zoom.us/j/8630...
All of my previous study clubs are recorded and available on my YouTube channel.
Subscription Information: I send this Newsletter twice (only) at different times of the day via email, to ensure global readership doesn’t miss out on the content. To receive these emails, please visit my website www.finlaysutton.co.uk and subscribe to our newsletters and blogs.
Sharing and Subscribing: If you enjoy my Newsletters, please share them with friends, colleagues, dental students, dental technicians, and other dental team members. To subscribe, email me at education@finlaysutton.co.uk and I will update the list.
Courses and Speaking Engagements: I run removable prosthodontic courses consisting of lectures and live clinical demonstrations. These are aimed at general dentists, prosthodontists, clinical dental technicians, and dental technicians. My courses focus on providing dentures with optimal function and superb aesthetics, demonstrated through step-by-step photographs and videos.
I also speak at dental conferences, aiming to ignite enthusiasm for removable prosthodontics. I showcase well-designed dentures as valid alternatives to implant-supported restorations and demonstrate the importance of proper tooth positioning for aesthetic and functional success.
For speaking engagements, contact me at education@finlaysutton.co.uk.
Upcoming Courses and Lectures: Click here for details of my courses and lectures for 2024 to 2025. Furrther info is at the end of this Newsletter.
Contact: education@finlaysutton.co.uk
Click here for case study link on my website.











































































































































































































































Finlay Speaking at the SWARD Annual Meeting 2026
I am delighted to announce that I will be presenting at the SWARD Annual Meeting on Friday, 6th February 2026 in Dallas, Texas. My session will focus on removable prosthodontics, a vital and often underappreciated area of dentistry. Here's what I plan to cover:
- Complete Dentures: Techniques for achieving maximum fit, function, and aesthetics.
- Partial Dentures: Leveraging the biologically healthy Scandinavian design system.
- Implant-Supported Overdentures: Best practices for using Locators® and bar attachments.
This session is designed to provide practical value for the entire dental team, including dentists, prosthodontists, and denturists. My aim is to share actionable insights to help elevate patient care.
Here’s a glimpse of the proposed day schedule:
Morning: Complete and Partial Dentures – Theory and practical case demonstrations.
Afternoon: Advanced Partial Dentures and Implant-Supported Overdentures.
Dentures remain a critical option for many patients who are not candidates for implants due to medical, financial, or personal reasons. I look forward to exploring how high-quality dentures can enhance both function and aesthetics, often surpassing fixed prosthodontics.
Thank you to the SWARD Council for this incredible opportunity—I can’t wait to be there!
Warm regards,
Finlay Sutton


