 
 Ken's Complete Dentures
Welcome to Newsletter 74
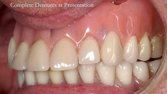
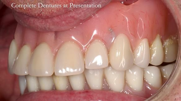
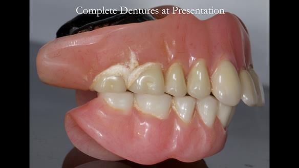
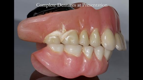
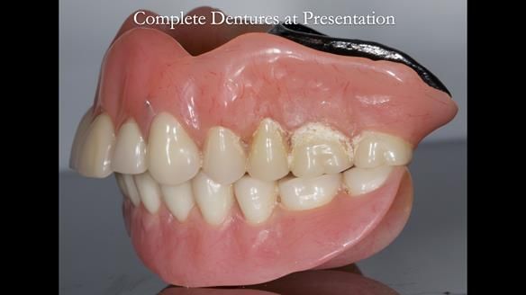
Newsletter 74: Ken – a case study in complete dentures
Ken's case study
Apologies for sending this newsletter twice; I’m sharing it at different times to ensure it reaches my worldwide audience.
In this edition, I present the complete denture treatment for Ken, a 75-year-old retired gastroenterologist. Ken had been edentulous for many years and required a set of complete dentures that closely mimicked his natural teeth. The new upper and lower dentures provided excellent retention and stability, with significant suction in the upper denture. Below, I detail the step-by-step process of his treatment. With videos of complete lower dentures with suction.
Lab work and characterisation:
My in-house dental technician, Rowan Garstang, completed the lab work, while Chris Hesketh made the metal bases.
The dentures were superbly characterised by Rowan to ensure they looked age-appropriate, incorporating stained buccal composites for added natural aesthetics.
Join my next live study club webinar for Ken's live presentation:
 
  
  
  
 















































































































































































































 
  
  
  
  
  
  
  
  
  
  
  
  
  
  
  
  
  
  
  
  
  
  
  
 Course Testimonials
Alice Glen
"The course has been really great. I have learnt a lot over the two days and will be applying a lot to my daily dentistry. I can see how this will make my life a lot easier when making dentures."
Paul Woodhouse
"Fin demystifies the dark art of denture making. Changed my approach to denture extractions in immediate cases, and I will be redrafting a plan I made yesterday."
Zahab Noshad Shaikh
"Patient communication and treatment planning, including partial denture design. Accurate impressions and better aesthetics."
Ross Anderson
"Finlay, in 1 day, has changed my perspective on what I saw as a tired old treatment modality. I can't wait to get back to the practice and implement it. It has revitalised an important but neglected part of my clinical portfolio. I was hoping to be enthused by Finlay, and I am!!"
Jon Henley
"Brilliant course, fabulous speaker who wishes to make a difficult job simpler for all delegates. Thank you!"
Claire Woodhouse
"An absolutely brilliant course. I am doing a lot more immediate dentures, and this has really helped with hints and tips."
Alex Saunders 
"Great course. Have a good think about what you want out of it in order to get the most out of it. From tips to improve/help NHS/standard dentures, to getting the confidence/ability to start making exceptional F/F dentures."
Vasileios Gannoulis
"Finlay’s courses are a rare opportunity to learn from one of the best in the UK. Finlay, in addition, is one of the most approachable teachers, and he is not afraid to discuss failures. He doesn’t believe as if he is on top of the game, discouraging you by making you think you can never reach that level. Finally, although he works in a really high-end dental environment, the tips and the way the course is delivered can be applied to any dental environment."
Jaswinder Bardha
"Excellent course – Finlay explains the whole process of complete denture consultation, diagnosis, and treatment in a great way."
Joymon Sasikumar
"I’ve always enjoyed treatment planning, and this is the best course I’ve been on. Lots of cases to think through. I’m much more confident in the provision on RPDs."
Mike Norman
"This course has changed the way I do partial dentures forever. Thank you, Finlay."
Piotr Bielicki
"A fantastic course on partial dentures by Finlay as expected. Much more comfortable with partial denture design, gothic arch tracing, and stages of partial denture construction now. Thank you."
 
  
  
 Finlay Speaking at the SWARD Annual Meeting 2026
I am delighted to announce that I will be presenting at the SWARD Annual Meeting on Friday, 6th February 2026 in Dallas, Texas. My session will focus on removable prosthodontics, a vital and often underappreciated area of dentistry. Here's what I plan to cover:
- Complete Dentures: Techniques for achieving maximum fit, function, and aesthetics.
- Partial Dentures: Leveraging the biologically healthy Scandinavian design system.
- Implant-Supported Overdentures: Best practices for using Locators® and bar attachments.
This session is designed to provide practical value for the entire dental team, including dentists, prosthodontists, and denturists. My aim is to share actionable insights to help elevate patient care.
Here’s a glimpse of the proposed day schedule:
Morning: Complete and Partial Dentures – Theory and practical case demonstrations.
Afternoon: Advanced Partial Dentures and Implant-Supported Overdentures.
Dentures remain a critical option for many patients who are not candidates for implants due to medical, financial, or personal reasons. I look forward to exploring how high-quality dentures can enhance both function and aesthetics, often surpassing fixed prosthodontics.
Thank you to the SWARD Council for this incredible opportunity—I can’t wait to be there!
Warm regards,
Finlay Sutton
 
  
  
  
  
  
  
  
 


