Marion's Beautiful New Complete Dentures
Welcome to Newsletter 75
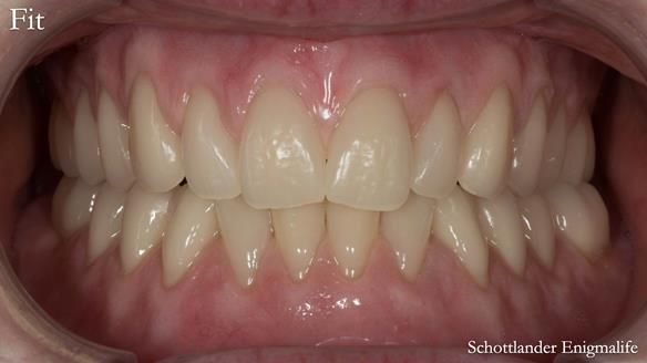
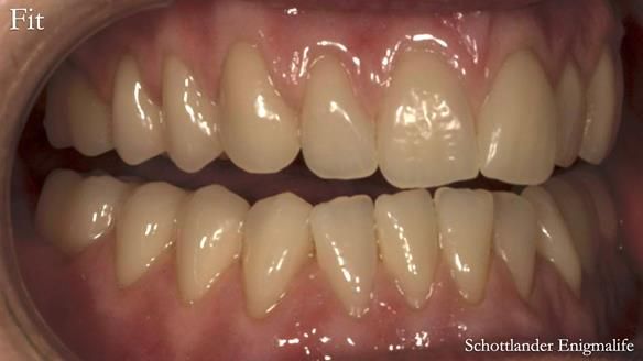
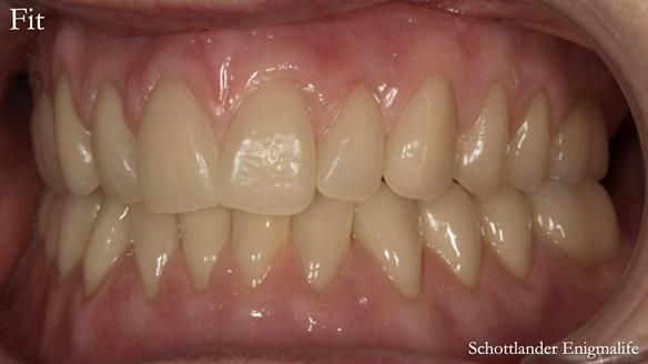
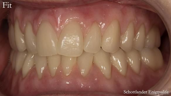
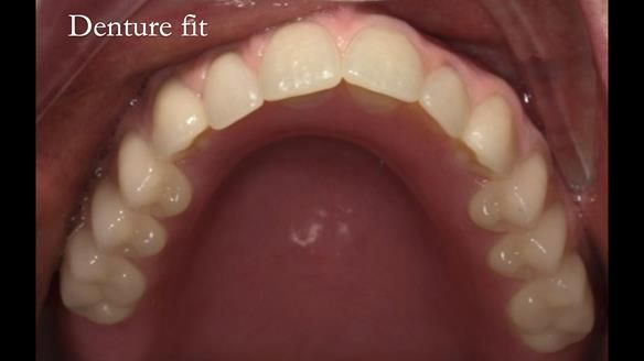
Marion was 79 years old and came to see me in 2019 because her dentures were getting worn out. She wasn’t happy with how they looked and felt they made her face looked unsupported. She asked for new complete dentures that were similar to, but not exactly the same as, her natural teeth – with some improvements.
Marion had a Class III bite, which can be tricky with complete dentures. She was a brilliant patient and worked closely with me throughout the process. We followed my full protocol to create natural, comfortable, and stable dentures that Marion was delighted with.
However… looking back, I realised I forgot to use what I believe is a very important bit of kit in denture work. Can you spot what I missed? I’ll reveal all in the Study Club!
.........................................................................................
Want to learn exactly how to do this?
Join me for Fin’s Study Club Live
Thursday 13th March 2025
19:30 (GMT, London)
Join here on Zoom:
https://us02web.zoom.us/j/8636...
It’s best to paste this link straight into your electronic calendar and click it at the right time.
I’ll take you step-by-step through Marion’s case, sharing the full protocol with photos and practical tips.
Plus, I’ll show you:
✅ A super easy way to work with greenstick compound – most clinicians hate it, but it’s amazing when you know how.
✅ How I manage the occlusion – my simple way to get the bite just right.
✅ And... the mystery solved – the essential bit of kit I forgot to use!
.........................................................................................
Learn the full protocol with me in person
If you want to master this complete workflow and make beautiful, stable, life-like dentures for your own patients, come and join my next Complete Denture Masterclassin my practice.














































































































































































Finlay Speaking at the SWARD Annual Meeting 2026
I am delighted to announce that I will be presenting at the SWARD Annual Meeting on Friday, 6th February 2026 in Dallas, Texas. My session will focus on removable prosthodontics, a vital and often underappreciated area of dentistry. Here's what I plan to cover:
- Complete Dentures: Techniques for achieving maximum fit, function, and aesthetics.
- Partial Dentures: Leveraging the biologically healthy Scandinavian design system.
- Implant-Supported Overdentures: Best practices for using Locators® and bar attachments.
This session is designed to provide practical value for the entire dental team, including dentists, prosthodontists, and denturists. My aim is to share actionable insights to help elevate patient care.
Here’s a glimpse of the proposed day schedule:
Morning: Complete and Partial Dentures – Theory and practical case demonstrations.
Afternoon: Advanced Partial Dentures and Implant-Supported Overdentures.
Dentures remain a critical option for many patients who are not candidates for implants due to medical, financial, or personal reasons. I look forward to exploring how high-quality dentures can enhance both function and aesthetics, often surpassing fixed prosthodontics.
Thank you to the SWARD Council for this incredible opportunity—I can’t wait to be there!
Warm regards,
Finlay Sutton



