Precision attachments, telescopic crowns

Welcome to Newsletter 76
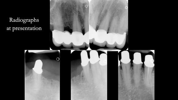
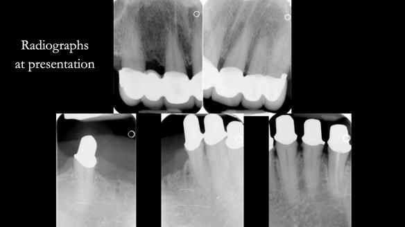
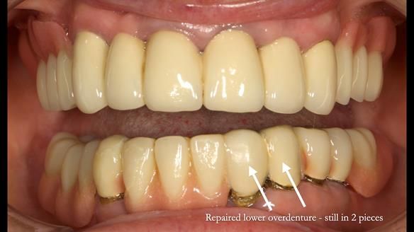
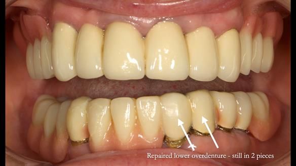
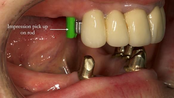
Replacement lower overdenture & upper RPD for Jackie
Precision attachments, telescopic crowns – a very difficult case.
This Newsletter show Jackie’s case from start to finish – a technically demanding case involving replacing a telescopic crown-supported lower overdenture and an upper precision attachment-retained partial denture.
It turned out to be a success – Jackie was super happy.
However, it was far from straightforward.
With the benefit of hindsight, I still dislike the upper 6 crowns – changing them would have dramatically improved the smile. But Jackie was content with how they looked and understandably didn’t want to open a can of worms.
The real challenge was the lack of space for the lower overdenture.
Rowan hated it – and grumbled about it constantly during the making of the dentures!
I had to use Bredent FGP resin to make it fit well.
It was a tough case, and although the slides look easy… it really wasn’t.
I will present this case, behind the scenes of a tough case, on Thursday this week via Zoom and Live Stream to Facebook - Thursday 17 April 2025 at 07:30 (UK time).
My view of attachments:
Precision attachments are rarely needed for partial dentures. They are not easy to incorporate into partial dentures. They come with many disadvantages and require careful planning, including mounted study models and prototype diagnostic set-ups.
They are also expensive and require time-consuming execution, especially in the lab — which adds significantly to the overall cost.
The main disadvantages I find with precision attachments (from my blog).
- Space is often a problem – the attachment can get in the way of placing the artificial tooth in its ideal position. Many denture attachments are simply too large.
- Abutment support teeth often need full coverage restorations, which increases the restorative burden and risk to those teeth.
- They add considerable cost to the prosthesis.
- They require more maintenance than conventional partial dentures — similar to implant-supported dentures, but with the added complexity of being tooth-supported.
- Oral hygiene is more difficult, requiring greater manual dexterity around the attachment sites.
- They are far more technique-sensitive to execute well.
When well-executed, they can offer two potential advantages:
- No visible clasps – retention is hidden.
- Improved retention – this can lead to better chewing and biting function compared to conventional partial dentures.
My conclusion:
Because of these many disadvantages, I very rarely use precision attachments. I find that with well-designed guiding surfaces and correctly positioned rest seats on support teeth, it’s possible to create partial dentures that are stable, retentive, and easy to maintain – without the added complications that come with precision attachments.
.........................................................................................
Join me LIVE – Study Club Zoom Session
Thursday 17 April 2025 at 07:30am (UK time)
Click to join on Zoom - https://us02web.zoom.us/j/8630...
I’ll go through Jackie’s case in detail, showing videos, step-by-step protocols, and explaining where I struggled and what I learned.
You’ll hear why Rowan found it so frustrating too.
There’ll be time for questions live, and this session is timed especially for overseas colleagues.
Please note it is 7.30 am UK time.
Add to Calendar for Fin’s Study Club Live
- Event: Fin’s Study Club Live – Jackie’s Case
- Date & Time: Thursday, 17 April 2025 at 07:30 AM (UK time)
- Location: Zoom Meeting
.........................................................................................
Planning ahead? Come see Rowan and me in Texas – February 2026!
I’ll be delivering a full-day course at the SWARD Conference on:
Friday 6 February 2026
George W. Bush Presidential Center, Dallas, Texas
This is a fantastic opportunity if you're based in the US, Canada, or Mexico.
The day will be packed with clinical tips, photos, and videos, covering everything from complete and partial dentures to immediate and implant overdentures.
And the best bit? Rowan is joining me in person – he’ll be there to answer all your technical questions. If you're coming, I strongly recommend bringing your technician with you. This day is built for the whole dental team. For more info email SWARDentistry@gmail.com
.........................................................................................
Special Workshop Possibility – UT Health, San Antonio, School of Dentistry Texas.
If you're a trainee in the UT Health San Antonio Prosthodontics Residency programme
(https://uthscsa.edu/dental/programs/prosthodontics-residency),
Rowan and I are available for a workshop or guest session from
Monday 2 to Wednesday 4 February 2026.
We’d love to visit and share how we work together to provide high-quality removable prosthodontics. Please get in touch if with me – finlaysutton@gmail.com you’d like to arrange something with your unit.
.........................................................................................
Subscription Information: I send this Newsletter twice (only) at different times of the day via email, to ensure global readership doesn’t miss out on the content. To receive these emails, please visit my website www.finlaysutton.co.uk and subscribe to our newsletters and blogs.
Sharing and Subscribing: If you enjoy my Newsletters, please share them with friends, colleagues, dental students, dental technicians, and other dental team members. To subscribe, email me at education@finlaysutton.co.uk and I will update the list.
For speaking engagements, contact me at education@finlaysutton.co.uk.
Upcoming Courses and Lectures: Click here for details of my courses and lectures for 2025. Furrther info is at the end of this Newsletter.
Contact: education@finlaysutton.co.uk
Click here for case study link on my website.






















































































































Finlay Speaking at the SWARD Annual Meeting 2026
I’m delighted to announce that I’ll be presenting at the SWARD Annual Meeting on Friday, 6th February 2026 in Dallas, Texas.
My session will focus on removable prosthodontics – a vital but often underappreciated area of dentistry. I’ll be sharing practical techniques and insights from clinical cases that span:
Complete Dentures – achieving maximum fit, function, and aesthetics
Partial Dentures – using the biologically healthy Scandinavian design system
Implant-Supported Overdentures – best practices for Locators® and bar attachments
This session is designed for the whole dental team – dentists, prosthodontists, denturists, and technicians. My goal is to share useful, actionable tips that you can take straight back to the clinic or lab.
Rowan Garstang is coming too!
I’m thrilled that Rowan, my dental technician, will be joining me in person. While he won’t be presenting, he’ll be there to answer any technical or laboratory-related questions during the day.
If you’re attending, I strongly encourage you to bring your technician along. This day is an ideal opportunity for clinicians and technicians to learn together, share perspectives, and strengthen communication.
A glimpse of the day:
Morning – Complete and Partial Dentures:
Theory + practical case demonstrations
Afternoon – Advanced Partial Dentures +
Implant-Supported Overdentures:
Design, fit, and patient-centred outcomes
Dentures remain a critical option for many patients who can’t have implants – whether due to medical reasons, cost, or personal preference. Done well, they can offer beautiful aesthetics and long-term function that often rival fixed prosthodontics.
A big thank you to the SWARD Council for the invitation.
Rowan and I are really looking forward to it!
Warm regards,
Finlay Sutton



