Welcome to Newsletter 78
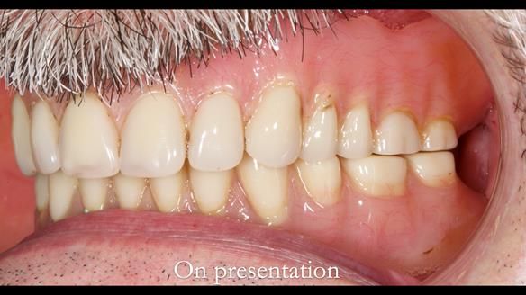
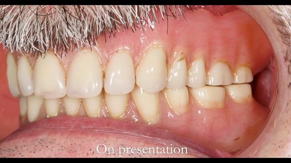
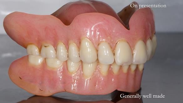
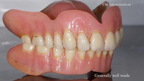
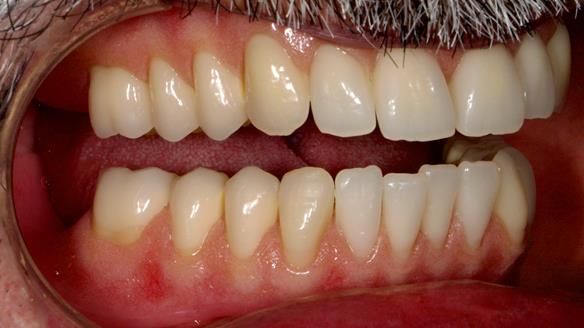
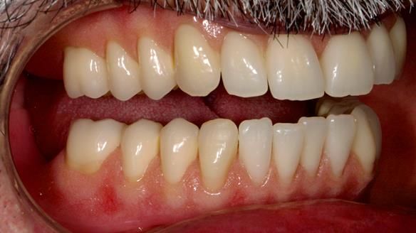
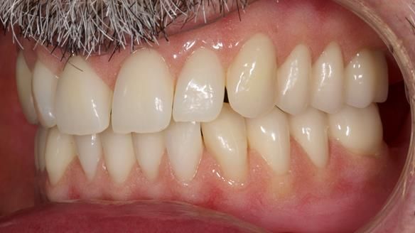
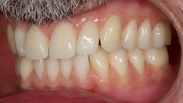
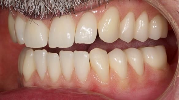
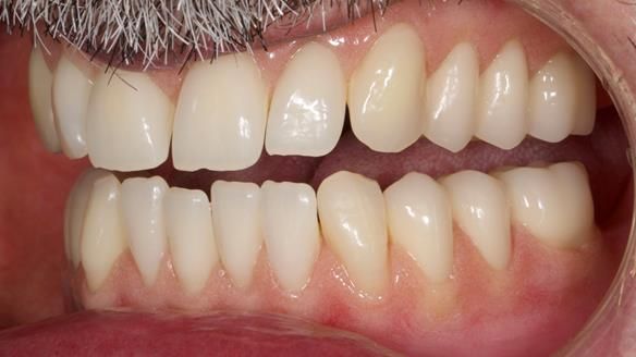
Paul’s Case: Clark Gable, Implants & Denture Refinement
Paul didn’t have photos of his original teeth – but he looked remarkably like Clark Gable (showing my age!). So, we used Gable’s famous smile as inspiration, copying the midline diastema and even the lower tooth imbrication. Rowan (my in-house dental techncian) nailed the tooth arrangement.
Paul wanted his complete dentures replaced because:
- His lower denture no longer fitted onto the implant attachments
- He wanted a better-looking smile — natural, not obviously false teeth
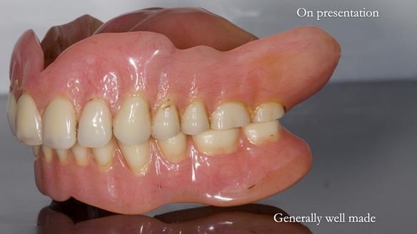
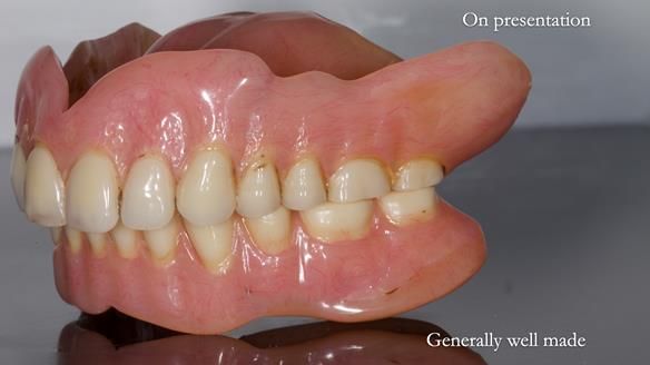
Treatment carried out:
- Upper: Immediate complete denture, later relined in the lab for a better fit
- Lower: Locator®-retained overdenture — housings were initially processed in the lab, but we re-did them chairside with cold-cure to improve the fit
- Surface polishing: Pink and white acrylic polished smooth — I do this in about 10% of cases where texture is an issue
The end result was excellent.
Key takeaway for me:
Listen carefully and go with the flow — Paul guided me to success.
Apologies if you receive this newsletter twice – I send it at different times so colleagues around the world can receive it conveniently. My aim is simple: to help more people make better dentures.
.........................................................................................
Join me LIVE for Fin’s FREE Study Club Zoom Session!
Want to see the full step-by-step for Paul's Locator case?
Join me for Study Club Live on Zoom:
Thursday, 19th June 2025 – 07:30am (UK time)
I’ll be walking through Paul’s case in detail, with time for Q&A — you’re welcome to ask anything, even the simplest questions. It’s a friendly, informal session open to all.
REGISTER HERE
.........................................................................................
Feeling inspired? Want to go deeper?
Later this month I’m running two of my most popular courses at my practice in Garstang:
- Implant overdentures Course – Thursday
- Immediate Dentures Course – Friday
Many delegates come to both — they work brilliantly together. These sessions are practical, down-to-earth, and packed with tips you can use straight away.
No hard sell — just a warm invite to join me for two days of inspiring, enjoyable denture learning. Come for the knowledge, the energy, the banter — and leave with renewed confidence and enthusiasm for removable prosthodontics.
.........................................................................................
Planning ahead - based in the USA, Mexico or Canada?
Come see Rowan and me in Texas – February 2026!
I’ll be delivering a full-day course at the SWARD Conference on:
Friday 6 February 2026
George W. Bush Presidential Center, Dallas, Texas
This is a fantastic opportunity if you're based in the US, Canada, or Mexico.
The day will be packed with clinical tips, photos, and videos, covering everything from complete and partial dentures to immediate and implant overdentures.
And the best bit? Rowan is joining me in person – he’ll be there to answer all your technical questions. If you're coming, I strongly recommend bringing your technician with you. This day is built for the whole dental team. For more info email SWARDentistry@gmail.com
.........................................................................................
Subscription Information: I send this Newsletter twice (only) at different times of the day via email, to ensure global readership doesn’t miss out on the content. To receive these emails, please visit my website www.finlaysutton.co.uk and subscribe to our newsletters and blogs.
Sharing and Subscribing: If you enjoy my Newsletters, please share them with friends, colleagues, dental students, dental technicians, and other dental team members. To subscribe, email me at education@finlaysutton.co.uk and I will update the list.
For speaking engagements, contact me at education@finlaysutton.co.uk.
Upcoming Courses and Lectures: Click here for details of my courses and lectures for 2025. Furrther info is at the end of this Newsletter.
Contact: education@finlaysutton.co.uk
Click here for case study link on my website.
 
  
  
 









































































































































 
  
  
  
  
  
  
  
  
  
  
  
  
  
  
  
  
  
  
  
  
  
  
  
  
  
 Finlay Speaking at the SWARD Annual Meeting 2026
I’m delighted to announce that I’ll be presenting at the SWARD Annual Meeting on Friday, 6th February 2026 in Dallas, Texas.
My session will focus on removable prosthodontics – a vital but often underappreciated area of dentistry. I’ll be sharing practical techniques and insights from clinical cases that span:
Complete Dentures – achieving maximum fit, function, and aesthetics
Partial Dentures – using the biologically healthy Scandinavian design system
Implant-Supported Overdentures – best practices for Locators® and bar attachments
This session is designed for the whole dental team – dentists, prosthodontists, denturists, and technicians. My goal is to share useful, actionable tips that you can take straight back to the clinic or lab.
 Rowan Garstang is coming too!
I’m thrilled that Rowan, my dental technician, will be joining me in person. While he won’t be presenting, he’ll be there to answer any technical or laboratory-related questions during the day.
If you’re attending, I strongly encourage you to bring your technician along. This day is an ideal opportunity for clinicians and technicians to learn together, share perspectives, and strengthen communication.
A glimpse of the day:
Morning – Complete and Partial Dentures:
Theory + practical case demonstrations
Afternoon – Advanced Partial Dentures +
Implant-Supported Overdentures:
Design, fit, and patient-centred outcomes
Dentures remain a critical option for many patients who can’t have implants – whether due to medical reasons, cost, or personal preference. Done well, they can offer beautiful aesthetics and long-term function that often rival fixed prosthodontics.
A big thank you to the SWARD Council for the invitation.
Rowan and I are really looking forward to it!
Warm regards,
Finlay Sutton
 
  
  
  
  
  
  
 


