Welcome to Newsletter 79
The Cinderella of Dentistry Just Got a Makeover – You’re Invited to Watch It Happen
Happy Friday!
Dear friends and fellow dental explorers,
Let’s face it. 
Dentures have had a PR disaster.
- Patients think they’re ugly.
- Dentists think they’re outdated.
- And dental implants have stolen the spotlight.
But here’s the truth hardly anyone talks about:
- Great dentures still change lives.
- And almost no one is doing them really well.
Over the years, I’ve had implant-focused dentists turn and walk away as soon as they hear I work only in removable prosthodontics (dentures). Massive resistance!
One even asked me:
“Would you give your wife a denture?”
Yes. Absolutely. 
If it’s made properly. 
With care, skill, and design thinking. A great denture is simple, elegant, and transforms lives.
Implants are a fantastic tool — I work with them often. But here’s the irony:
Being great at dentures doesn’t make you anti-implant. 
It makes you better at knowing when they are not needed.
And when you do need implants? 
Dentures still come first.
Because great dentures teach us to put the teeth in the right place. 
That gives us the blueprint. Then — and only then — do we plan the implants.
Always begin with the end in mind.
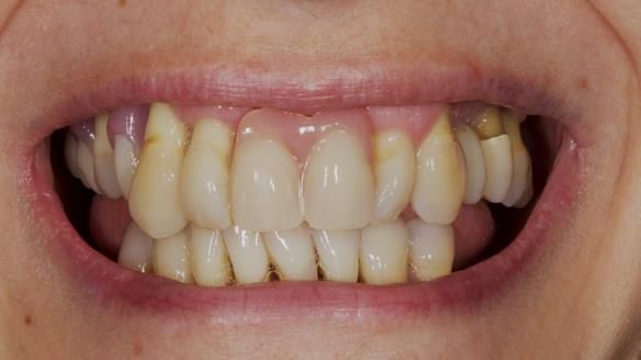
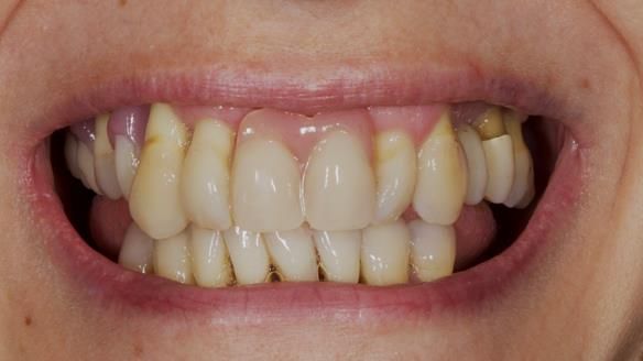
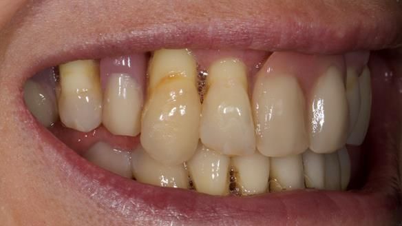
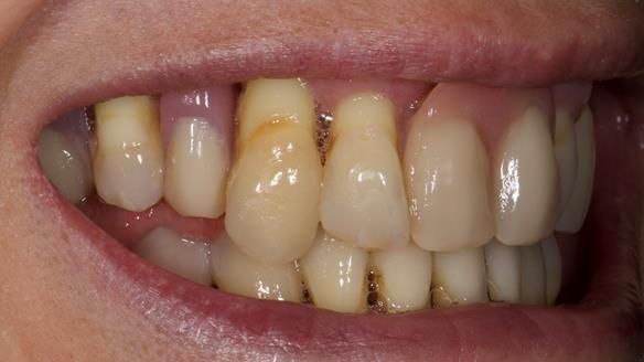
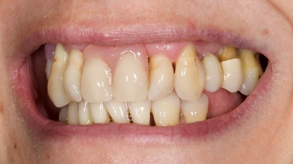
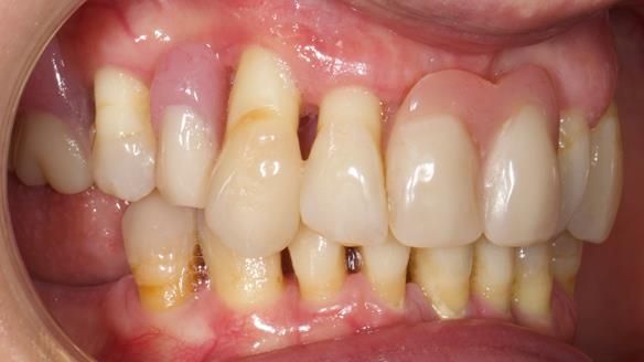
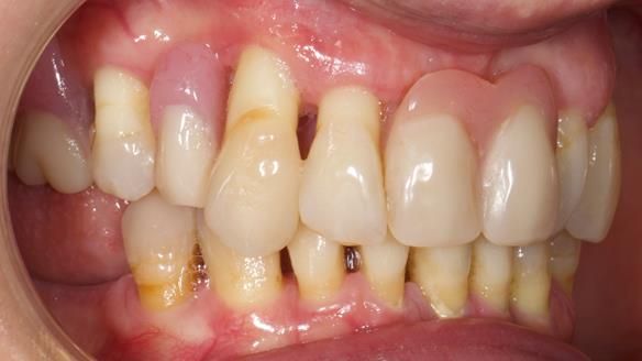
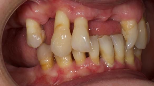
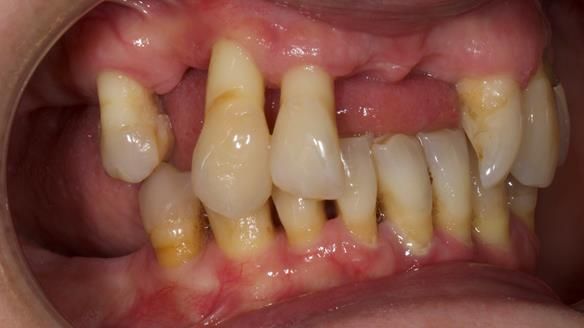
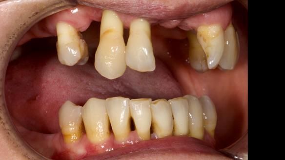
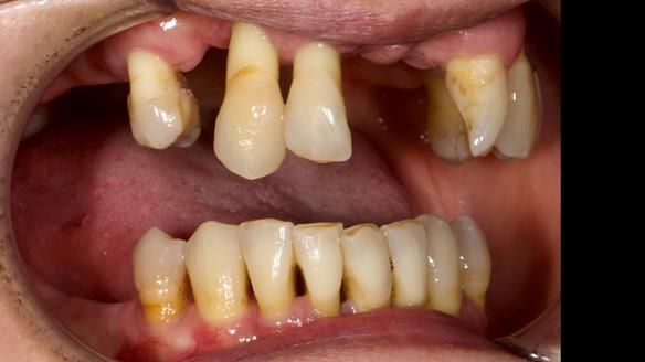
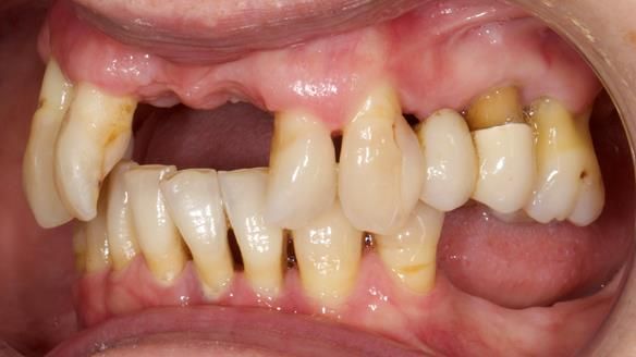
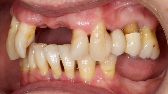
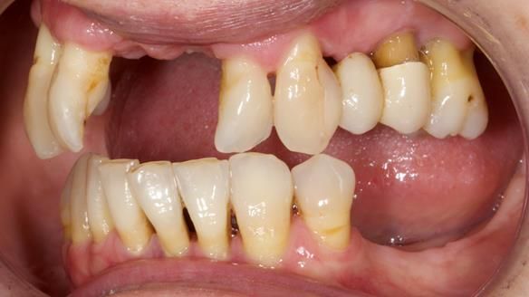
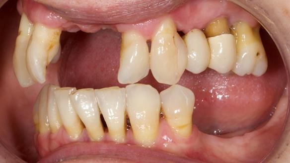
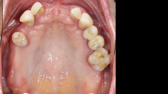
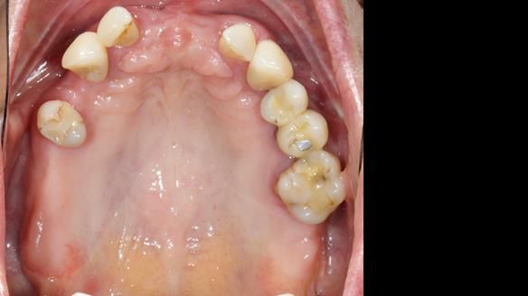
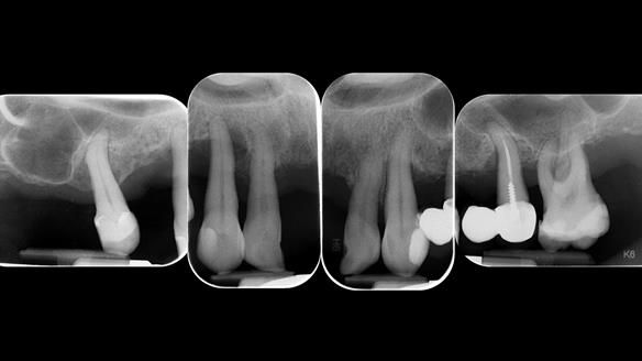
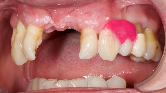
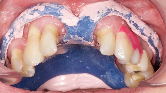
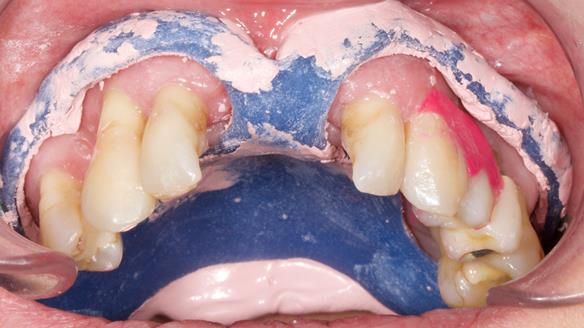
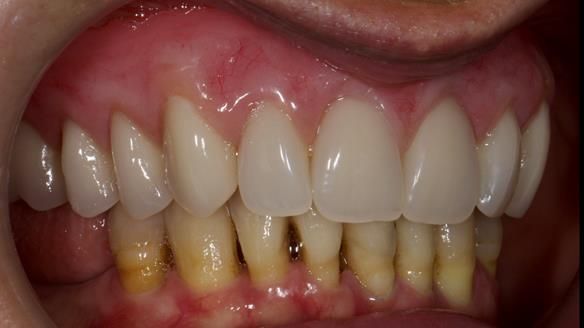
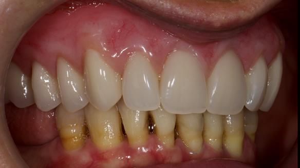
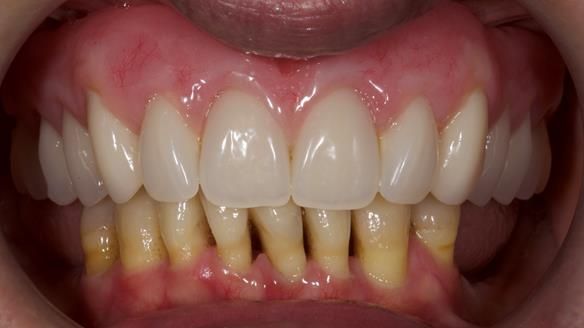
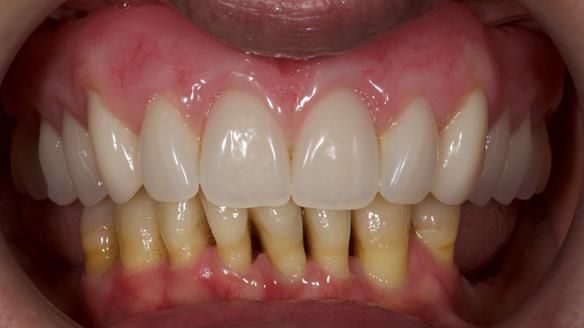
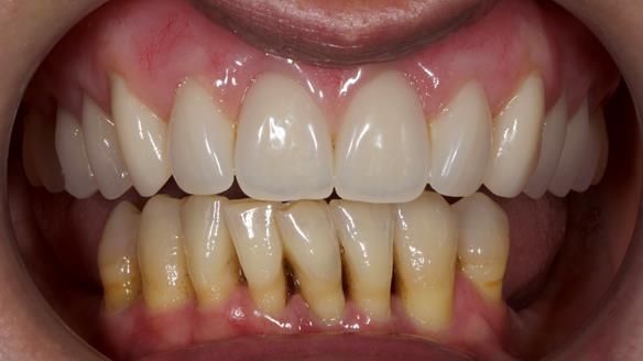
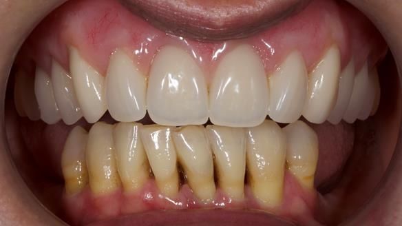
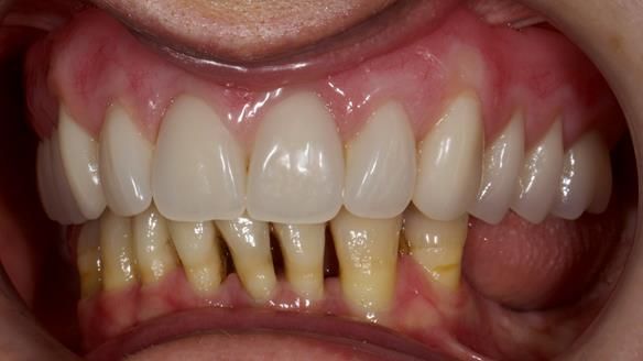
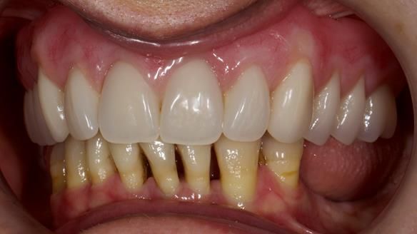
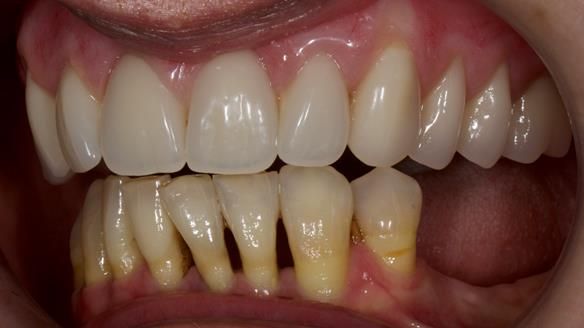
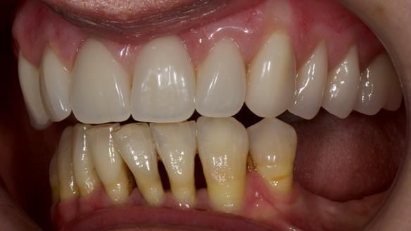
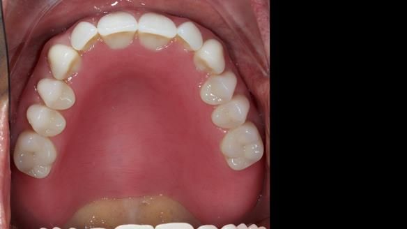
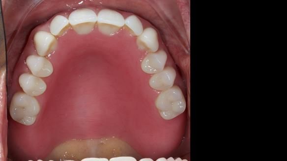
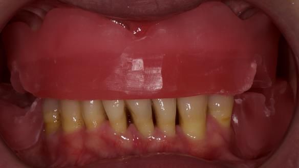
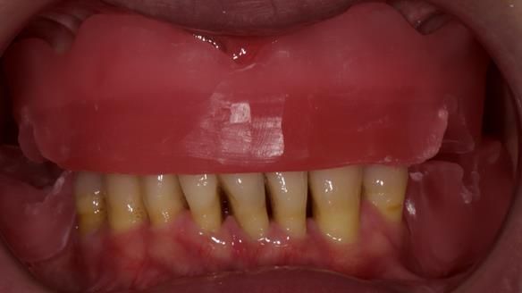
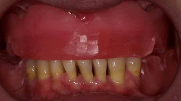
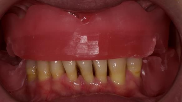
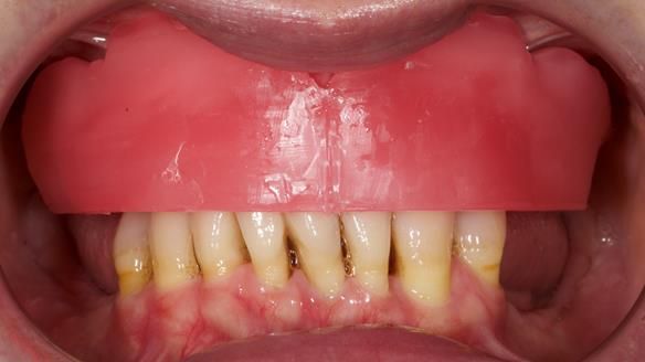
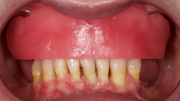
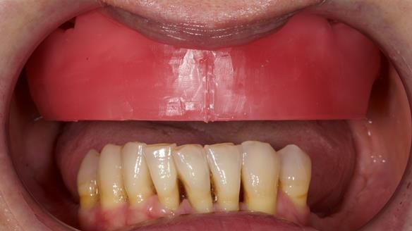
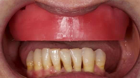
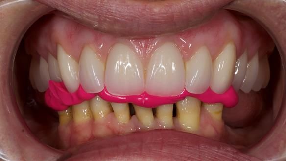
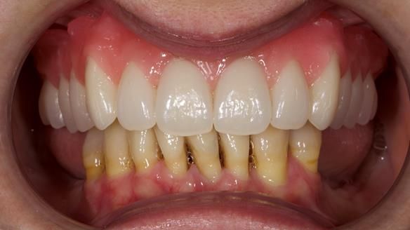
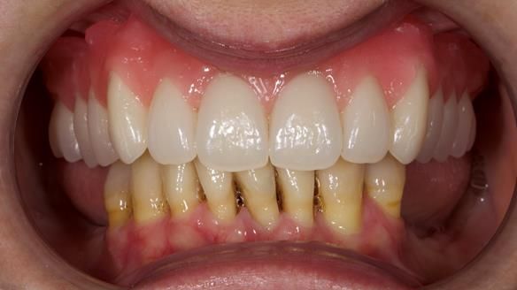
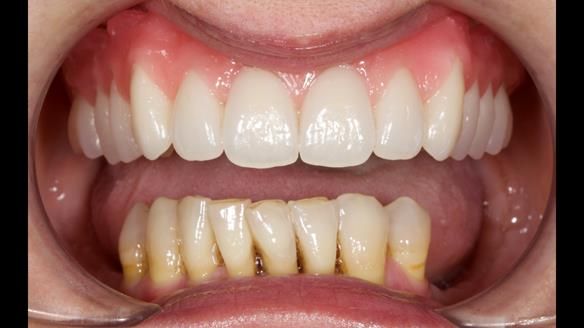
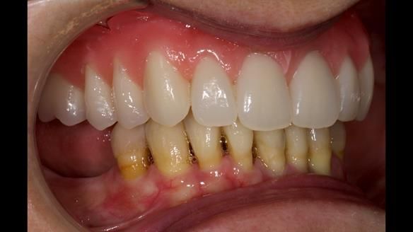
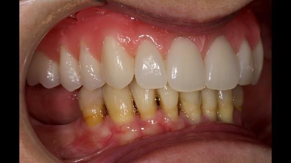
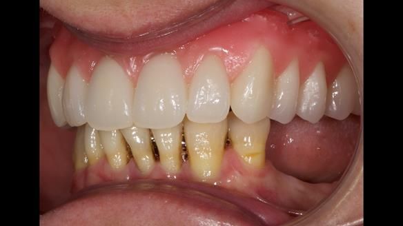
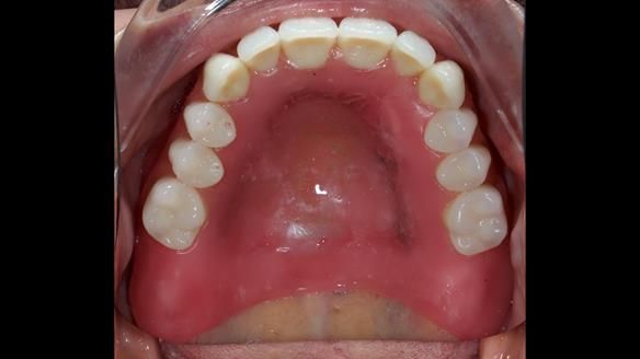
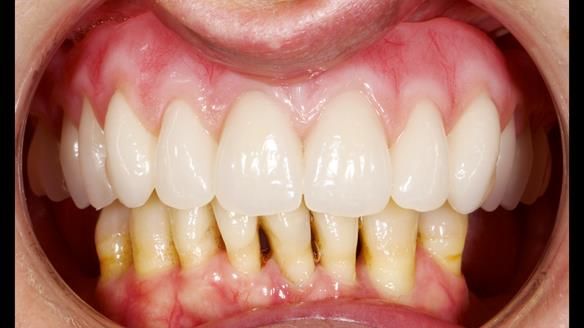
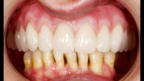
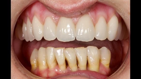
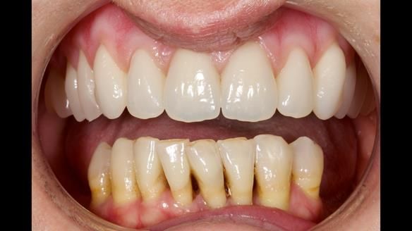
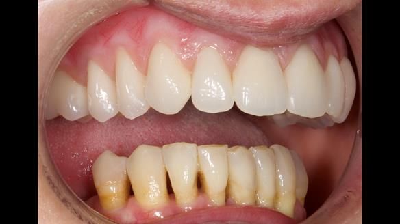
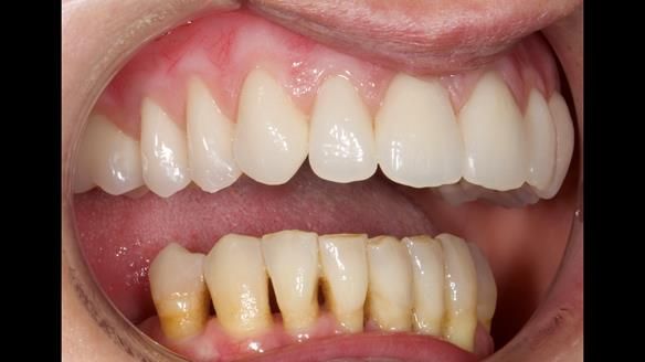
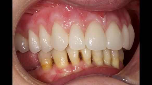
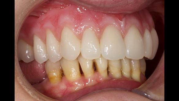
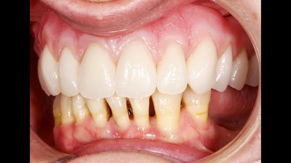
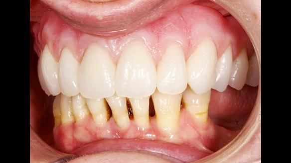
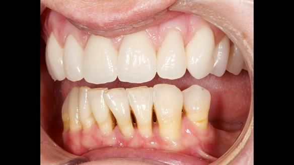
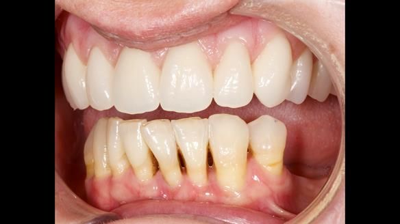
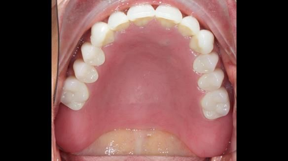
That’s exactly what we did for Adnana.
She had previously suffered from generalised periodontitis – stage IV, grade C, currently stable, with reduced attachment across the upper arch. 
By the time she came to me, her periodontal condition was stable — but the aesthetics in the upper jaw were very poor.
Dr Syed Abad — my colleague and a Specialist in Periodontics — had successfully stabilised her gum health. 
Syed also places implants at our practice, so Adnana was fully informed of all possible options.
Together, we discussed them in detail.
Ultimately, she decided against dental implants:
- Her upper jaw had insufficient bone and would have required significant augmentation.
- The financial investment for implant treatment was outside her budget.
- Crucially, Syed had full confidence that I — working with Rowan (my in-house technician) — could provide a first-class removable solution.
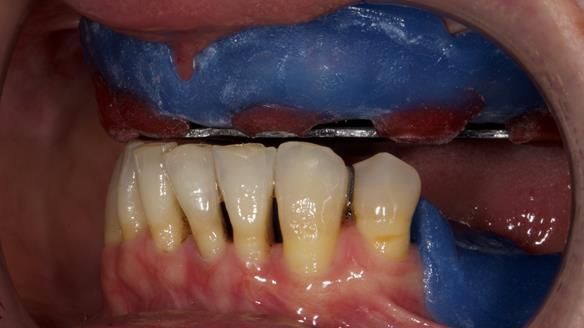
So that’s what we did.
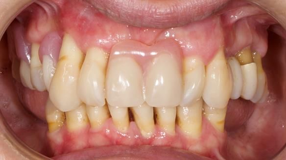
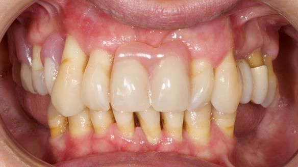
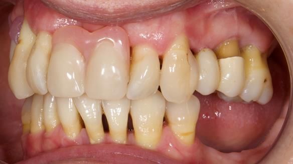
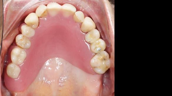
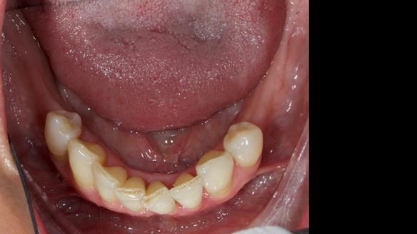
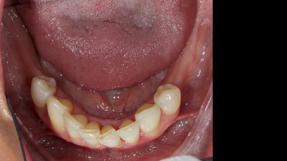
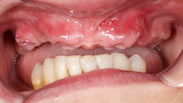
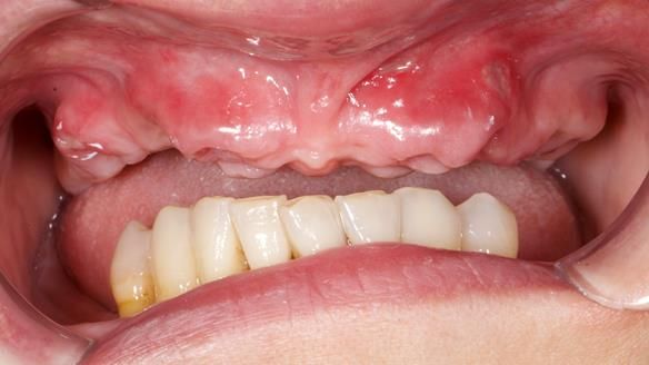
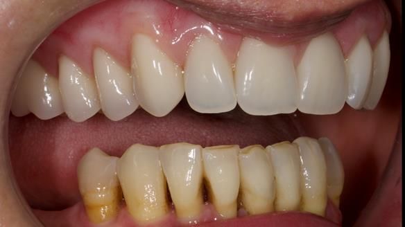
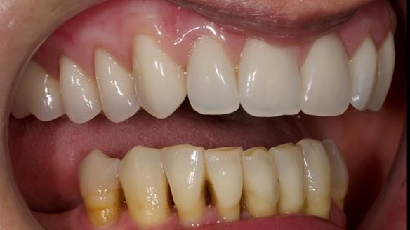
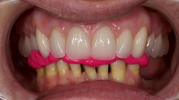
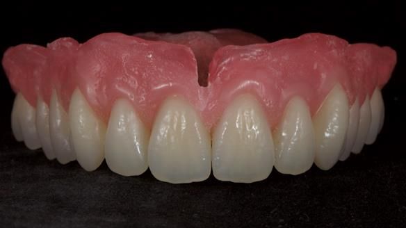
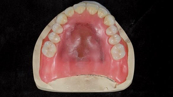
We provided her with an immediate upper denture (Mk 1), followed by a definitive metal-based upper denture (Mk 2). A lower removable partial denture was discussed, to be made only if needed once the upper treatment was complete. However, at review, this wasn’t necessary — Adnana had excellent neuromuscular control and function, even with a shortened dental arch (SDA).
Rowan, Sam Hesketh and Chris Hesketh provided the stunning technical work. I am very lucky to have them.
Adnana’s Journey  - FREE STUDY CLUB LIVE
Thursday 10th July 2025 at 19:30 (UK time) 
Live on Zoom – https://us02web.zoom.us/webinar/register/WN_kaVa1YdyR8-Utu_r7U32gA
What you’ll see:
- Immediate denture (Mk 1) fitted the same day the teeth came out
- Definitive denture (Mk 2), metal-based and custom-designed for her face
- A restored smile, restored lip support, and a patient who owned the journey
This isn't a lecture. 
It’s a clinical story — with practical tips and insight from the surgery and the lab.
And yes, it’s completely free.
Please Help Me Spread the Word
There are roughly 1.6 million dentists in the world. This goes to just 4,032. That’s only 0.25%.
If you’re reading this, you’re already part of a small but growing group of clinicians who care about removable prosthodontics (dentures). But we need more.
Here’s how you can help:
Please share this email — and let your friends and colleagues know:
Everything I teach — clinical case studies, Newsletters, treatment protocols, scientific papers, and video lectures — is available free on my website:
https://www.finlaysutton.co.uk
If you want to get a feel for what I believe in, just read the first paragraph on the homepage.
It sums it up simply:
“If you struggle with making removable dentures, I’m here to help.”
If you study it, reflect on it, and apply it, it will make you brilliant at removable prosthodontics (dentures).
Why is it free?
Because my income comes from two sources:
- Treating patients at Garstang Dental Referral Practice
- Running in-person clinical courses, mentoring, and lecturing around the world
If you'd like to learn from me directly, just click on my clinical courses — or get in touch about mentoring.
Everything else on the site is free because I want to raise the standard of dentures everywhere — for every clinician, technician, and patient.
One last thing…
I get a rush of adrenaline every time I press send on these newsletters.
And I love writing them — often sat with a coffee in the Hall café, Lancaster, one of my favourite places to think and reflect.
It's a joy to share what I’ve learned over the years — and I hope it helps you enjoy making dentures more too.
My mission is simple:
To improve the image of dentures — and to make it exciting again for dentists to offer them, even in the age of dental implants.
Please forward this to one colleague. Or ten.
Let’s start a quiet revolution — and bring dignity back to this Cinderella subject.
Warmest wishes,
Fin
https://www.finlaysutton.co.uk
YouTube: https://www.youtube.com/@finlaysutton123/featured
P.S.
If someone forwarded this to you and you’d like to get these Study Club invites and case-based newsletters each month, just visit:
https://www.finlaysutton.co.uk
A pop-up will appear — enter your name and email, and you’re in.
Let’s grow this global removable prosthodontics (dentures) community together.
 
  
 



































































































































































































































 
  
  
  
  
  
  
  
  
  
  
  
  
  
  
  
  
  
  
  
 Finlay Speaking at the SWARD Annual Meeting 2026
I’m delighted to announce that I’ll be presenting at the SWARD Annual Meeting on Friday, 6th February 2026 in Dallas, Texas.
My session will focus on removable prosthodontics – a vital but often underappreciated area of dentistry. I’ll be sharing practical techniques and insights from clinical cases that span:
Complete Dentures – achieving maximum fit, function, and aesthetics
Partial Dentures – using the biologically healthy Scandinavian design system
Implant-Supported Overdentures – best practices for Locators® and bar attachments
This session is designed for the whole dental team – dentists, prosthodontists, denturists, and technicians. My goal is to share useful, actionable tips that you can take straight back to the clinic or lab.
 Rowan Garstang is coming too!
I’m thrilled that Rowan, my dental technician, will be joining me in person. While he won’t be presenting, he’ll be there to answer any technical or laboratory-related questions during the day.
If you’re attending, I strongly encourage you to bring your technician along. This day is an ideal opportunity for clinicians and technicians to learn together, share perspectives, and strengthen communication.
A glimpse of the day:
Morning – Complete and Partial Dentures:
Theory + practical case demonstrations
Afternoon – Advanced Partial Dentures +
Implant-Supported Overdentures:
Design, fit, and patient-centred outcomes
Dentures remain a critical option for many patients who can’t have implants – whether due to medical reasons, cost, or personal preference. Done well, they can offer beautiful aesthetics and long-term function that often rival fixed prosthodontics.
A big thank you to the SWARD Council for the invitation.
Rowan and I are really looking forward to it!
Warm regards,
Finlay Sutton
 
  
  
  
  
  
  
 


