Newsletter 80: Gordon
Gordon’s complete dentures: the one case in a 1,000 where my technique failed
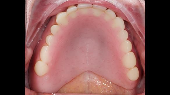
Gordon was a wonderful patient. I first met him on a Zoom consultation with his daughter. He told me he had been without natural teeth for 60 years. In all that time he had only ever worn an upper complete denture, never a lower.
He wanted a new set of both upper and lower dentures. From the start, I explained this would be a real challenge. Learning to use a lower denture after so many years would be very difficult. His cognitive ability and learning capacity at his age were not the same as when he was younger. I told him that he may often want to take the lower denture out. Dental implants were not an option—he simply did not want them.
Gordon’s grandson is a dentist and recommended him to see me. Gordon decided to go ahead.
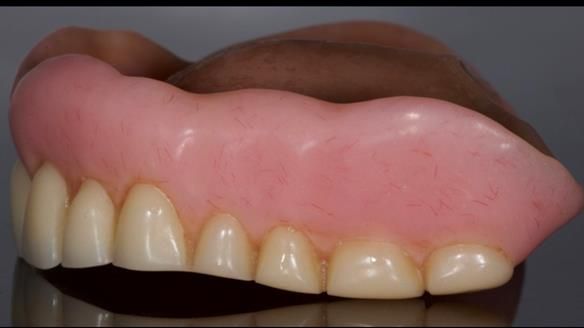
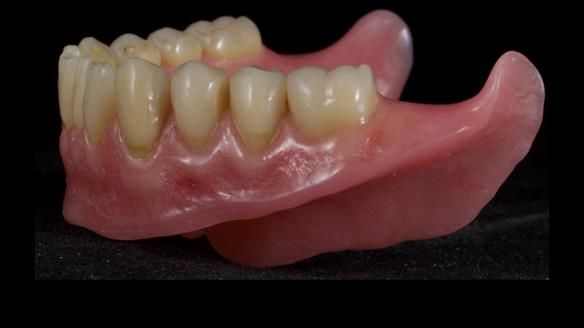
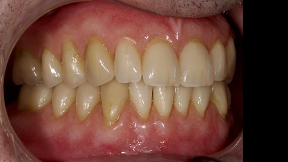
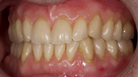
Rowan and I made him beautifully characterised dentures. Rowan added fine details with composites—small cracks, stains, and subtle age-appropriate characterisation—so they looked truly natural. Gordon brought in many photographs of himself with his natural teeth, which helped us copy the shapes and arrangement closely. He even brought in thoughtful gifts during treatment, including jars of his own honey.
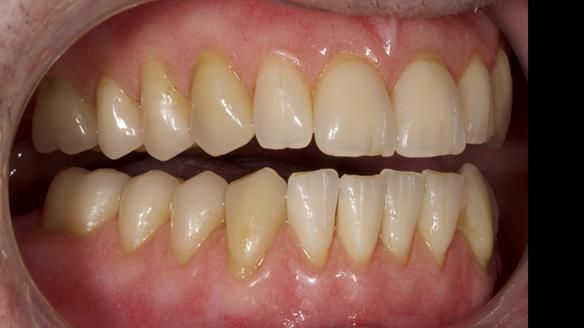
Two years on, Gordon is doing well. He wears his upper denture all the time. The lower denture is more difficult. At home he often leaves it out, but when he goes out with family—for meals and social occasions—he wears it and enjoys it. I want to be honest about this: success with complete dentures depends as much on the patient as on the dentist and technician.
In Gordon’s case I would say:
- 30% was the technical work by Rowan and me.
- 70% was Gordon’s own effort in learning how to manage the lower denture.
Key learning point: this is the only time in my career of making well over a thousand complete dentures that the central bearing tracing device did not give the correct bite. At try-in the occlusion was wrong. I corrected it by using his intercuspal position, finding a consistent tapping point and registering at that point - see below.
This case highlights the importance of:
- Managing patient expectations clearly from the start.
- Using old photographs to guide aesthetics.
- Understanding that lower dentures often require persistence and determination from the patient.
I’ll be presenting Gordon’s case at my next Study Club on Thursday 11th September 2026 at 7:30am British Summer Time (GMT +1). It’s a fantastic example of teamwork between dentist, technician, and patient. Click here to register.
If you’d like to learn the exact step-by-step process for treating difficult edentulous cases like Gordon’s, join me on my Complete Denture Course.
Suggested email subject line
Gordon’s dentures: the one case in 1,000 where my technique failed
Please Help Me Spread the Word
There are roughly 1.6 million dentists in the world. This goes to just 4,131. That’s only 0.25%.
If you’re reading this, you’re already part of a small but growing group of clinicians who care about removable prosthodontics (dentures). But we need more.
Here’s how you can help:
Please share this email — and let your friends and colleagues know:
Everything I teach — clinical case studies, Newsletters, treatment protocols, scientific papers, and video lectures — is available free on my website:
https://www.finlaysutton.co.uk
If you want to get a feel for what I believe in, just read the first paragraph on the homepage.
It sums it up simply:
“If you struggle with making removable dentures, I’m here to help.”
My Website
If you study it, reflect on it, and apply it, it will make you brilliant at removable prosthodontics (dentures).
Why is it free?
Because my income comes from two sources:
- Treating patients at Garstang Dental Referral Practice
- Running in-person clinical courses, mentoring, and lecturing around the world
If you'd like to learn from me directly, just click on my clinical courses — or get in touch about mentoring.
Everything else on the site is free because I want to raise the standard of dentures everywhere — for every clinician, technician, and patient.
One last thing…
I get a rush of adrenaline every time I press send on these newsletters.
And I love writing them — often sat with a coffee in the Hall café, Lancaster, one of my favourite places to think and reflect.
It's a joy to share what I’ve learned over the years — and I hope it helps you enjoy making dentures more too.
My mission is simple:
To improve the image of dentures — and to make it exciting again for dentists to offer them, even in the age of dental implants.
Please forward this to one colleague. Or ten.
Let’s start a quiet revolution — and bring dignity back to this Cinderella subject.
Warmest wishes,
Fin
https://www.finlaysutton.co.uk
YouTube: https://www.youtube.com/@finlaysutton123/featured
P.S.
If someone forwarded this to you and you’d like to get these Study Club invites and case-based newsletters each month, just visit:
https://www.finlaysutton.co.uk
A pop-up will appear — enter your name and email, and you’re in.
Let’s grow this global removable prosthodontics (dentures) community together.




























































































































































Finlay Speaking at the SWARD Annual Meeting 2026
I’m delighted to announce that I’ll be presenting at the SWARD Annual Meeting on Friday, 6th February 2026 in Dallas, Texas.
My session will focus on removable prosthodontics – a vital but often underappreciated area of dentistry. I’ll be sharing practical techniques and insights from clinical cases that span:
Complete Dentures – achieving maximum fit, function, and aesthetics
Partial Dentures – using the biologically healthy Scandinavian design system
Implant-Supported Overdentures – best practices for Locators® and bar attachments
This session is designed for the whole dental team – dentists, prosthodontists, denturists, and technicians. My goal is to share useful, actionable tips that you can take straight back to the clinic or lab.
Rowan Garstang is coming too!
I’m thrilled that Rowan, my dental technician, will be joining me in person. While he won’t be presenting, he’ll be there to answer any technical or laboratory-related questions during the day.
If you’re attending, I strongly encourage you to bring your technician along. This day is an ideal opportunity for clinicians and technicians to learn together, share perspectives, and strengthen communication.
A glimpse of the day:
Morning – Complete and Partial Dentures:
Theory + practical case demonstrations
Afternoon – Advanced Partial Dentures +
Implant-Supported Overdentures:
Design, fit, and patient-centred outcomes
Dentures remain a critical option for many patients who can’t have implants – whether due to medical reasons, cost, or personal preference. Done well, they can offer beautiful aesthetics and long-term function that often rival fixed prosthodontics.
A big thank you to the SWARD Council for the invitation.
Rowan and I are really looking forward to it!
Warm regards,
Finlay Sutton



