Study Club Live: Pam’s Story
Replacement Metal-Based Partial Denture and New Crowns — Free Online Study Club
To all my friends around the world —
I always send these newsletters twice so they arrive in inboxes at a convenient time, wherever you are. This is Newsletter 81, and it’s all about Pam’s journey — from an uncomfortable flexible denture to a beautifully fitting metal-based upper partial denture and new zirconia crowns that completely changed her life.
If you haven’t registered yet, I’d love you to join me for the Study Club Live this Thursday, 9 October at 07:30 am (UK time, BST).
Register here — it’s free and full of practical insight.
Welcome to Newsletter 81
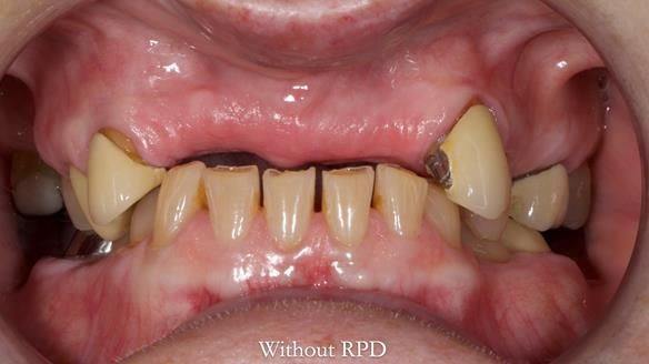
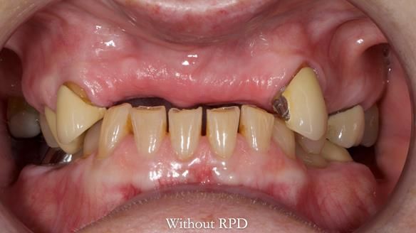
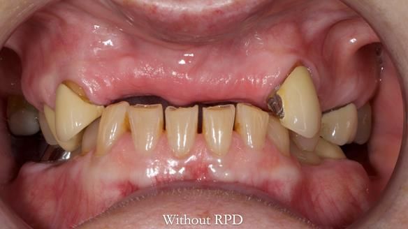
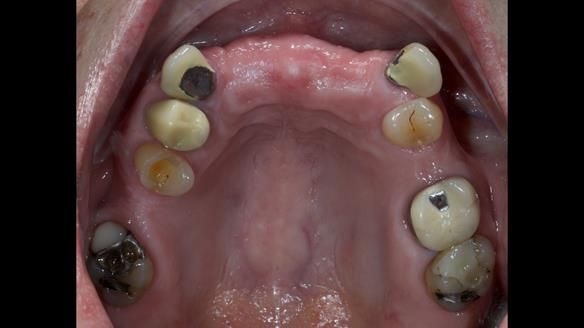
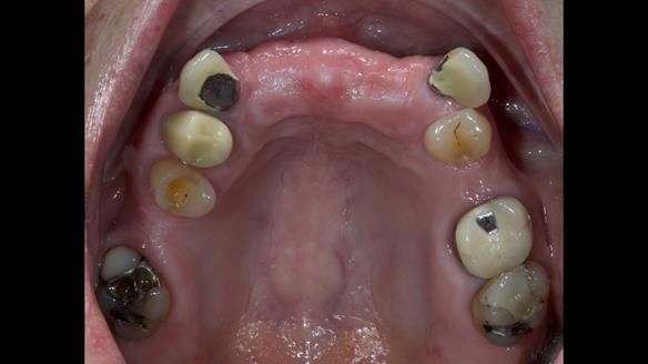
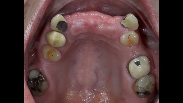
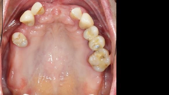
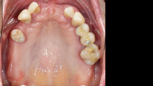
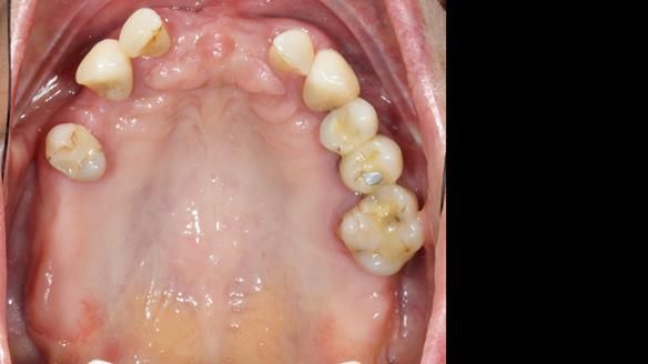
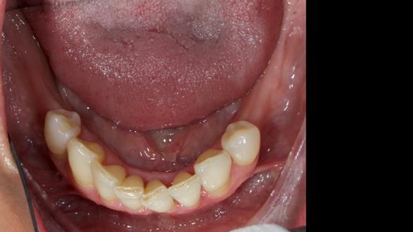
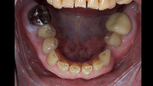
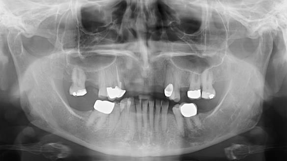
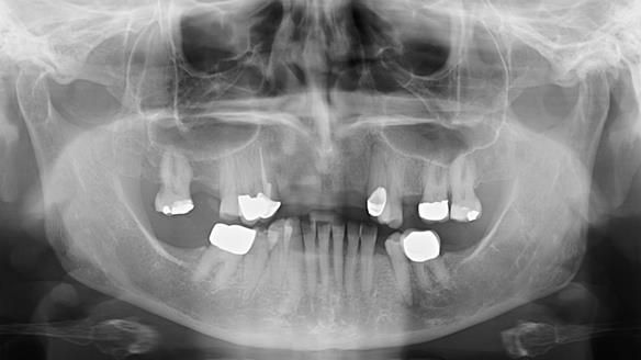
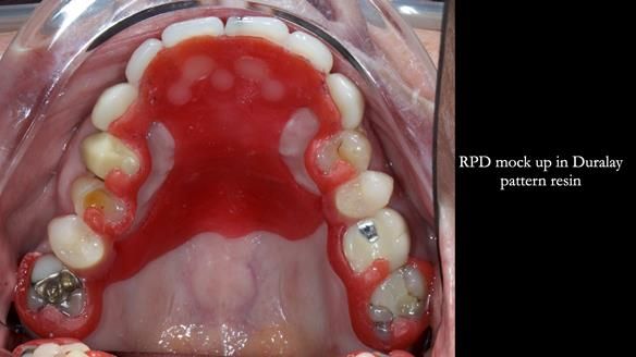
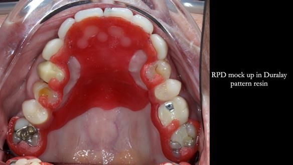
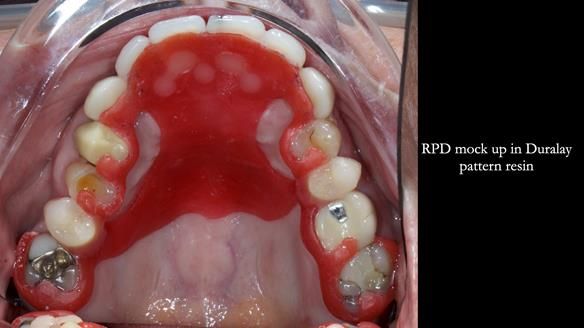
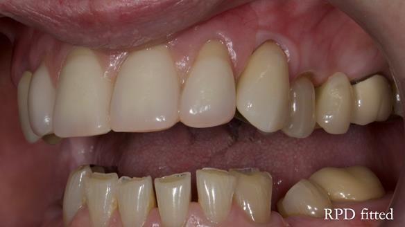
Pam — replacement metal-based partial denture (and new crowns)
You’re Invited to Watch It Happen
Dear friends and fellow dental explorers,
This is one of those cases that reminds me why I love removable prosthodontics. Pam was an absolute joy to treat — we were on the same page throughout. Her old upper flexible denture was loose, uncomfortable, and unaesthetic. We replaced it with a carefully designed metal-based upper partial denture/splint and new porcelain-bonded-to-zirconia (PBZ) crowns for the canines. The result is stable, comfortable, and natural-looking.
Pam’s thank-you moved us all — she painted a large picture for us, titled Life Never Ends.
Credits:
Huge thanks to Rowan Garstang (master technician), Chris Hesketh (metalwork technician), and Claire (my brilliant dental nurse) — their skill, care, and teamwork made this case possible.
Step-by-step (what we did)
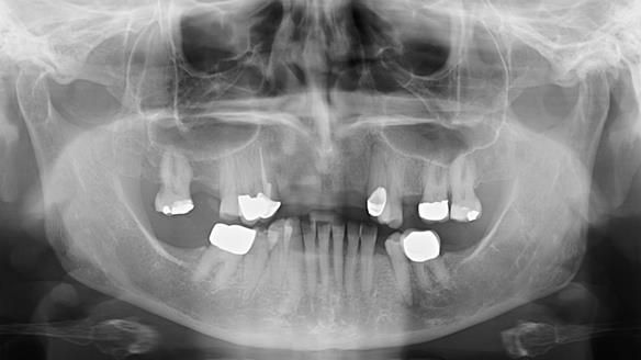
- Diagnosis and plan – Flexible upper denture ill-fitting with poor stability, retention, and appearance. Plan: metal-based upper partial denture/splint with lighter porcelain-bonded-to-zirconia crowns on UR3 and UL3.
- Primary impressions
- Mock-up try-in – to confirm aesthetics and decide on crown changes.
- PBZ crowns provided – prepare, temporise, and make impressions for zirconia-bonded crowns (UR3, UL3).
- Definitive impression
- Tooth try-in on pattern resin – to check position, speech, and smile.
- Metalwork framework try-in – to verify fit, path of insertion, and support.
- Fit and reviews – fit of the denture/splint and new crowns, followed by reviews to fine-tune comfort and function. Ongoing support and one-year warranty.
The result
- Better support for lips and lower face.
- Natural smile and improved chewing.
- Designed to protect remaining teeth.
- Future additions possible if needed.
My final in-house course of the year:
Final In-House Removable Partial Denture Course 2025
Please Help Me Spread the Word
There are roughly 1.6 million dentists in the world. This goes to just 4191. That’s only 0.25%.
If you’re reading this, you’re already part of a small but growing group of clinicians who care about removable prosthodontics (dentures). But we need more.
Here’s how you can help:
Please share this email — and let your friends and colleagues know:
Everything I teach — clinical case studies, Newsletters, treatment protocols, scientific papers, and video lectures — is available free on my website:
https://www.finlaysutton.co.uk
If you want to get a feel for what I believe in, just read the first paragraph on the homepage.
It sums it up simply:
“If you struggle with making removable dentures, I’m here to help.”
My Website
If you study it, reflect on it, and apply it, it will make you brilliant at removable prosthodontics (dentures).
Why is it free?
Because my income comes from two sources:
- Treating patients at Garstang Dental Referral Practice
- Running in-person clinical courses, mentoring, and lecturing around the world
If you'd like to learn from me directly, just click on my clinical courses — or get in touch about mentoring.
Everything else on the site is free because I want to raise the standard of dentures everywhere — for every clinician, technician, and patient.
One last thing…
I get a rush of adrenaline every time I press send on these newsletters.
And I love writing them — often sat with a coffee in the Hall café, Lancaster, one of my favourite places to think and reflect.
It's a joy to share what I’ve learned over the years — and I hope it helps you enjoy making dentures more too.
My mission is simple:
To improve the image of dentures — and to make it exciting again for dentists to offer them, even in the age of dental implants.
Please forward this to one colleague. Or ten.
Let’s start a quiet revolution — and bring dignity back to this Cinderella subject.
Warmest wishes,
Fin
https://www.finlaysutton.co.uk
YouTube: https://www.youtube.com/@finlaysutton123/featured
P.S.
If someone forwarded this to you and you’d like to get these Study Club invites and case-based newsletters each month, just visit:
https://www.finlaysutton.co.uk
A pop-up will appear — enter your name and email, and you’re in.
Let’s grow this global removable prosthodontics (dentures) community together.
 
  
  
 

























































































































































 
  
  
  
  
  
  
  
  
  
  
  
  
  
  
  
  
 Finlay Speaking at the SWARD Annual Meeting 2026
I’m delighted to announce that I’ll be presenting at the SWARD Annual Meeting on Friday, 6th February 2026 in Dallas, Texas.
My session will focus on removable prosthodontics – a vital but often underappreciated area of dentistry. I’ll be sharing practical techniques and insights from clinical cases that span:
Complete Dentures – achieving maximum fit, function, and aesthetics
Partial Dentures – using the biologically healthy Scandinavian design system
Implant-Supported Overdentures – best practices for Locators® and bar attachments
This session is designed for the whole dental team – dentists, prosthodontists, denturists, and technicians. My goal is to share useful, actionable tips that you can take straight back to the clinic or lab.
 Rowan Garstang is coming too!
I’m thrilled that Rowan, my dental technician, will be joining me in person. While he won’t be presenting, he’ll be there to answer any technical or laboratory-related questions during the day.
If you’re attending, I strongly encourage you to bring your technician along. This day is an ideal opportunity for clinicians and technicians to learn together, share perspectives, and strengthen communication.
A glimpse of the day:
Morning – Complete and Partial Dentures:
Theory + practical case demonstrations
Afternoon – Advanced Partial Dentures +
Implant-Supported Overdentures:
Design, fit, and patient-centred outcomes
Dentures remain a critical option for many patients who can’t have implants – whether due to medical reasons, cost, or personal preference. Done well, they can offer beautiful aesthetics and long-term function that often rival fixed prosthodontics.
A big thank you to the SWARD Council for the invitation.
Rowan and I are really looking forward to it!
Warm regards,
Finlay Sutton
 
  
  
  
  
  
  
  
  
 


