Study Club Live: Mary’s Story
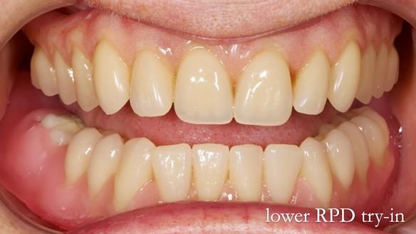
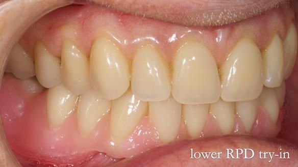
A Complete Upper Denture and a One-Tooth Gasket Denture
To all my friends around the world
I always send these newsletters twice so they arrive in inboxes at a convenient time, wherever you are. This is Newsletter 82, and it’s all about Mary’s journey — from her initial plan for a conventional partial denture to the creation of a beautifully fitting one-tooth gasket denture and complete upper denture that restored her comfort and confidence.
If you haven’t registered yet, I’d love you to join me for the Study Club Live this Thursday, 13 November at 07:30 am (UK time, GMT).
Register here — it’s free and full of practical insight.
Welcome to Newsletter 82
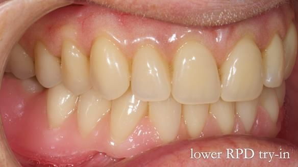
A Complete Upper Denture and a One-Tooth Gasket Denture
You’re Invited to Watch It Happen
Mary was referred to me by her cousin, who is a dentist. She wanted help with new dentures but made it clear from the start that she didn’t want dental implants. She’d heard about previous implant failures and was already very comfortable wearing dentures. Her neuromuscular control was excellent.
Mary was a superb patient. She listened, practised, and adapted beautifully to everything we made for her.
Treatment overview
- Upper metal-based complete denture (CD)
- Extraction of lower 32, 33, 47 and 43
- Mk 1 lower immediate acrylic-based RPD
- Healing period 9–12 months
- Mk 2 lower metal-based RPD
Design development
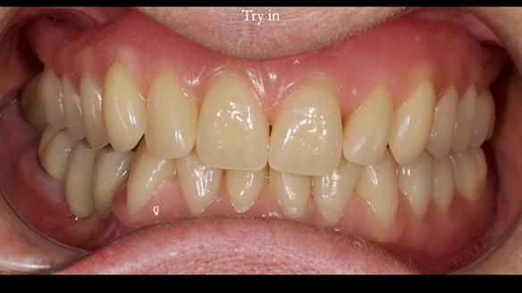
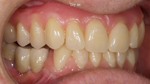
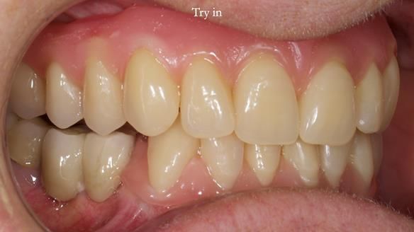
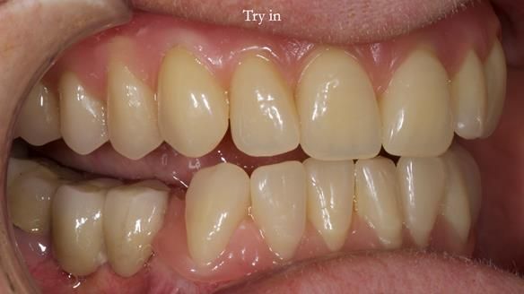
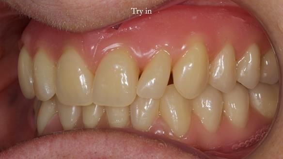
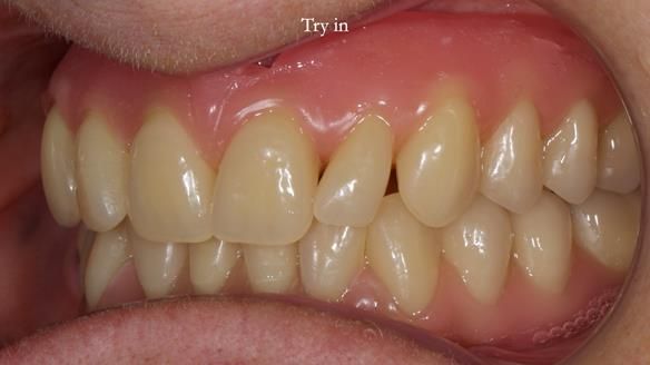
The original plan was to finish the lower as a conventional metal-based partial denture, as shown in the initial design below.
However, once Rowan and I reviewed the remaining metal crown on tooth 46, we realised it would make an ideal abutment for a gasket denture. By reshaping the lingual surface of the crown, we created an excellent gasket seal.
This approach worked far better than the proposed ring-clasp design - improving retention, comfort, and aesthetics while keeping the design clean and simple.
TMJ management
Partway through treatment, Mary developed right-sided TMJ pain. This occurred during a particularly stressful time in her life, as she was dealing with issues on her farm - a stress-related trigger.
I managed this conservatively with the following advice and measures:
- Minimise wide opening – rest
- Keep good posture
- Try and sleep on your back
- Use ice (for swelling) or heat for 15–20 minutes
- Reduce stress – mindfulness / meditation
- Ibuprofen / Paracetamol
- Wear maxillary splint at night
The symptoms resolved very well once these measures were in place.
Occlusal and aesthetic goals
Mary’s upper occlusal plane wasn’t parallel to her interpupillary line, and she specifically wanted that natural asymmetry preserved. Rowan arranged the teeth beautifully, following the exact contour and character of her original smile.
For both the upper and lower dentures, we used Schottlander Enigma Life teeth. I’ve been using these since 2014 and they’ve been outstanding - the surface texture, colour depth, and light reflection are superb. When arranged to mirror the patient’s natural tooth positions, they look completely lifelike.
Highlights
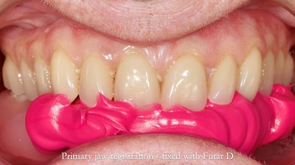
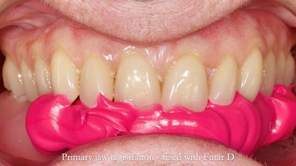
- Upper working impressions were border-moulded with greenstick compound along the sulcus borders and made in alginate.
- Occlude articulating indicator spray was used on the lingual surface of the upper denture to assess tongue contact during speech testing.
- The gasket seal around 46 was made using retention.sil 200, producing a precise, cushioned fit.
- Enigma Life teeth provided a natural, individualised appearance perfectly matching Mary’s desired smile.
YouTube walk through of the case
Please Help Me Spread the Word
There are roughly 1.6 million dentists in the world. This goes to just 4,237. That’s only 0.25%.
If you’re reading this, you’re already part of a small but growing group of clinicians who care about removable prosthodontics (dentures). But we need more.
Here’s how you can help:
Please share this email — and let your friends and colleagues know:
Everything I teach — clinical case studies, Newsletters, treatment protocols, scientific papers, and video lectures — is available free on my website:
https://www.finlaysutton.co.uk
If you want to get a feel for what I believe in, just read the first paragraph on the homepage.
It sums it up simply:
“If you struggle with making removable dentures, I’m here to help.”
My Website
If you study it, reflect on it, and apply it, it will make you brilliant at removable prosthodontics (dentures).
Why is it free?
Because my income comes from two sources:
- Treating patients at Garstang Dental Referral Practice
- Running in-person clinical courses, mentoring, and lecturing around the world
If you'd like to learn from me directly, just click on my clinical courses — or get in touch about mentoring.
Everything else on the site is free because I want to raise the standard of dentures everywhere — for every clinician, technician, and patient.
One last thing…
I get a rush of adrenaline every time I press send on these newsletters.
And I love writing them — often sat with a coffee in the Hall café, Lancaster, one of my favourite places to think and reflect.
It's a joy to share what I’ve learned over the years — and I hope it helps you enjoy making dentures more too.
My mission is simple:
To improve the image of dentures — and to make it exciting again for dentists to offer them, even in the age of dental implants.
Please forward this to one colleague. Or ten.
Let’s start a quiet revolution — and bring dignity back to this Cinderella subject.
Warmest wishes,
Fin
https://www.finlaysutton.co.uk
YouTube: https://www.youtube.com/@finlaysutton123/featured
P.S.
If someone forwarded this to you and you’d like to get these Study Club invites and case-based newsletters each month, just visit:
https://www.finlaysutton.co.uk
A pop-up will appear — enter your name and email, and you’re in.
Let’s grow this global removable prosthodontics (dentures) community together.






































































































































































































Finlay Speaking at the SWARD Annual Meeting 2026
I’m delighted to announce that I’ll be presenting at the SWARD Annual Meeting on Friday, 6th February 2026 in Dallas, Texas.
My session will focus on removable prosthodontics – a vital but often underappreciated area of dentistry. I’ll be sharing practical techniques and insights from clinical cases that span:
Complete Dentures – achieving maximum fit, function, and aesthetics
Partial Dentures – using the biologically healthy Scandinavian design system
Implant-Supported Overdentures – best practices for Locators® and bar attachments
This session is designed for the whole dental team – dentists, prosthodontists, denturists, and technicians. My goal is to share useful, actionable tips that you can take straight back to the clinic or lab.
Rowan Garstang is coming too!
I’m thrilled that Rowan, my dental technician, will be joining me in person. While he won’t be presenting, he’ll be there to answer any technical or laboratory-related questions during the day.
If you’re attending, I strongly encourage you to bring your technician along. This day is an ideal opportunity for clinicians and technicians to learn together, share perspectives, and strengthen communication.
A glimpse of the day:
Morning – Complete and Partial Dentures:
Theory + practical case demonstrations
Afternoon – Advanced Partial Dentures +
Implant-Supported Overdentures:
Design, fit, and patient-centred outcomes
Dentures remain a critical option for many patients who can’t have implants – whether due to medical reasons, cost, or personal preference. Done well, they can offer beautiful aesthetics and long-term function that often rival fixed prosthodontics.
A big thank you to the SWARD Council for the invitation.
Rowan and I are really looking forward to it!
Warm regards,
Finlay Sutton



