Sheila’s case (Newsletter 83)
Complete Dentures for a Very Difficult Mouth
To all my friends around the world
I always send these newsletters twice so they land in inboxes at a convenient time, wherever you are.
This is Newsletter 83, and it’s all about Sheila’s journey — from years of denture failure, flat ridges and a small mouth opening, to a stable, comfortable set of complete dentures that changed her confidence and daily life. We also copied Kirsty MacColl’s smile, which made the process even more enjoyable for her.
If you haven’t registered yet, I’d love you to join me for Study Club Live this Thursday, 4 December at 7.30 pm (UK time, GMT).
Register here — it’s free and full of practical insight.
Welcome to Newsletter 83
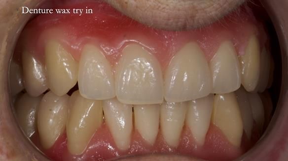
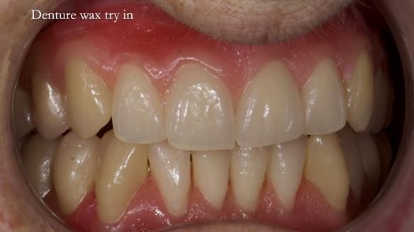
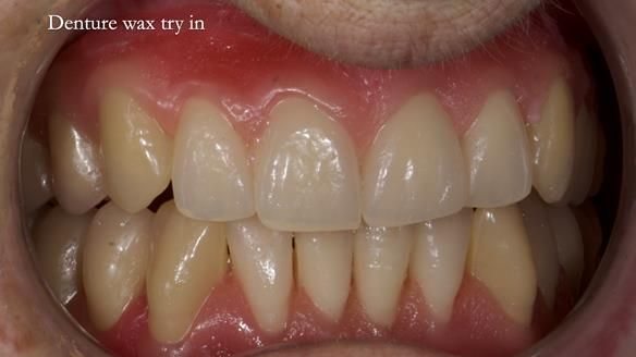
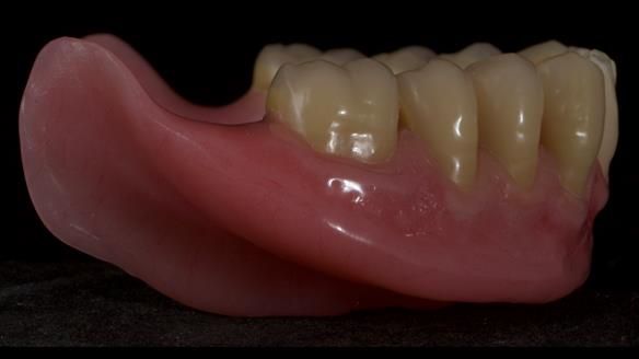
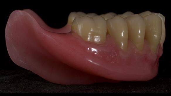
Sheila's case - Complete Dentures for a Very Difficult Mouth
You’re Invited to Watch It Happen
Welcome to Newsletter 83. This month I am sharing Sheila’s case — a very challenging but rewarding complete denture case. Sheila had flat ridges, a small mouth opening, a large tongue and had never been able to wear complete dentures of any kind. Everything was loose and sore. She felt embarrassed and looked older without dentures. She wanted a stable, comfortable result, and she wanted to avoid implants because she has taken bisphosphonates for more than five years.
Sheila had done a huge amount of research before contacting us. She read the practice website, looked through my teaching website in detail and watched many YouTube videos. She knew what we did, understood our results, and wanted a similar outcome. Her research made a big difference because she understood her role from the very beginning.
Because her denture space anatomy was limited, I took two working impressions at the same visit. She had very little space in the lower jaw because of the spread of the tongue and the fact she had never worn a lower denture. This made it difficult to judge exactly where the borders needed to be and how much functional space we truly had.
The first impression was my usual Dr Abe shaped impression, which forms the base of my complete denture protocol.
I then made a second working impression using Dr John Besford’s neutral zone approach, known as the French Impression Technique. John learnt this from a dentist in Marseille called Hubert Aiche. I used this technique to record the functional position of the denture borders and tooth space in case the conventional method did not give a stable enough shape.
Both records were processed and compared.
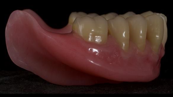
In Sheila’s case, the Dr Abe shaped impression gave a more stable and comfortable result. Sheila preferred the shape produced by the Abe method, so that is the one we used for the registration rims, the trial denture and the final dentures. But making both impressions was worthwhile. It meant we had every option covered and could choose what worked best for her mouth.
I also want to give a BIG shout out to Rowan, my dental technician. His technical skills are extraordinary, and I could not do this level of work without him. His attention to detail and craftsmanship play a huge part in the success of cases like this.
In this newsletter I will take you through Sheila’s full protocol step by step — including impressions, French Impression Technique, Dr Abe shaping, copying Kirsty MacColl’s smile, the try-in, the final fit, and the copy dentures we made afterwards.
I hope you find it useful in your own clinical work.
Learn more
If you’d like to see me talk through Sheila's full step-by-step workflow including videos of the treratment join me for a free Zoom Study Club - REGISTER HERE
Thursday 4 December 2025 at 19:30 (GMT).
My final in-house course of the year:
Final In-House Removable Partial Denture Course 2025
Please Help Me Spread the Word
There are roughly 1.6 million dentists in the world. This goes to just 4,251.
If you’re reading this, you’re already part of a small but growing group of clinicians who care about removable prosthodontics (dentures). But we need more.
Here’s how you can help:
Please share this email — and let your friends and colleagues know:
Everything I teach — clinical case studies, Newsletters, treatment protocols, scientific papers, and video lectures — is available free on my website:
https://www.finlaysutton.co.uk
If you want to get a feel for what I believe in, just read the first paragraph on the homepage.
It sums it up simply:
“If you struggle with making removable dentures, I’m here to help.”
My Website
If you study it, reflect on it, and apply it, it will make you brilliant at removable prosthodontics (dentures).
Why is it free?
Because my income comes from two sources:
- Treating patients at Garstang Dental Referral Practice
- Running in-person clinical courses, mentoring, and lecturing around the world
If you'd like to learn from me directly, just click on my clinical courses — or get in touch about mentoring.
Everything else on the site is free because I want to raise the standard of dentures everywhere — for every clinician, technician, and patient.
One last thing…
I get a rush of adrenaline every time I press send on these newsletters.
And I love writing them — often sat with a coffee in the Hall café, Lancaster, one of my favourite places to think and reflect.
It's a joy to share what I’ve learned over the years — and I hope it helps you enjoy making dentures more too.
My mission is simple:
To improve the image of dentures — and to make it exciting again for dentists to offer them, even in the age of dental implants.
Please forward this to one colleague. Or ten.
Let’s start a quiet revolution — and bring dignity back to this Cinderella subject.
Warmest wishes,
Fin
https://www.finlaysutton.co.uk
YouTube: https://www.youtube.com/@finlaysutton123/featured
P.S.
If someone forwarded this to you and you’d like to get these Study Club invites and case-based newsletters each month, just visit:
https://www.finlaysutton.co.uk
A pop-up will appear — enter your name and email, and you’re in.
Let’s grow this global removable prosthodontics (dentures) community together.








































































































































































































































Finlay Speaking at the SWARD Annual Meeting 2026
I’m delighted to announce that I’ll be presenting at the SWARD Annual Meeting on Friday, 6th February 2026 in Dallas, Texas.
My session will focus on removable prosthodontics – a vital but often underappreciated area of dentistry. I’ll be sharing practical techniques and insights from clinical cases that span:
Complete Dentures – achieving maximum fit, function, and aesthetics
Partial Dentures – using the biologically healthy Scandinavian design system
Implant-Supported Overdentures – best practices for Locators® and bar attachments
This session is designed for the whole dental team – dentists, prosthodontists, denturists, and technicians. My goal is to share useful, actionable tips that you can take straight back to the clinic or lab.
Rowan Garstang is coming too!
I’m thrilled that Rowan, my dental technician, will be joining me in person. While he won’t be presenting, he’ll be there to answer any technical or laboratory-related questions during the day.
If you’re attending, I strongly encourage you to bring your technician along. This day is an ideal opportunity for clinicians and technicians to learn together, share perspectives, and strengthen communication.
A glimpse of the day:
Morning – Complete and Partial Dentures:
Theory + practical case demonstrations
Afternoon – Advanced Partial Dentures +
Implant-Supported Overdentures:
Design, fit, and patient-centred outcomes
Dentures remain a critical option for many patients who can’t have implants – whether due to medical reasons, cost, or personal preference. Done well, they can offer beautiful aesthetics and long-term function that often rival fixed prosthodontics.
A big thank you to the SWARD Council for the invitation.
Rowan and I are really looking forward to it!
Warm regards,
Finlay Sutton



