

NEWSLETTER CASE PRESENTATION 67
Welcome to Newsletter 67, where I will detail the making and fitting of an upper metal-based partial denture/splint (“Combat denture”) for Brian, a patient with a powerful locked occlusion and deep overbite. The full protocol workflow is presented here.
Click here for a YouTube walk through of this case:


Brian's case presentation
Welcome to Newsletter 67, where I will detail the making and fitting of an upper metal-based partial denture/splint (“Combat denture”) for Brian, a patient with a powerful locked occlusion and deep overbite. The full protocol workflow is presented here.
Subscription Information: I send this Newsletter twice (only) at different times of the day via email, to ensure global readership doesn’t miss out on the content. To receive these emails, please visit my website www.finlaysutton.co.uk and subscribe to our newsletters and blogs.
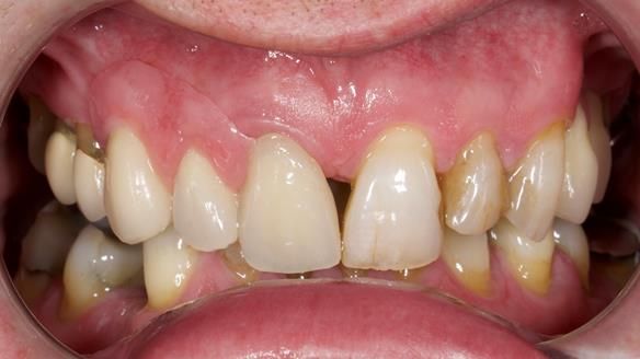
Case Overview: Brian was referred to me for specialist prosthodontics by his general dentist.
Dental Concerns:
• “Caps have come out”
Patient's Wishlist:
• Replace lost teeth with a denture
• Improve smile
• Chew and eat food easily
Diagnoses for Brian:
- Bruxism: The upper and lower teeth are worn and chipped due to heavy clenching and grinding. With a powerful bite and limited space for replacement teeth, dental implants supported fixed teeth are not recommended. A simpler solution is a metal-based partial denture/splint (“Combat denture”) as planned below. This will act as a splint to protect and replace the missing teeth.
- Restored Teeth: The remaining upper teeth and lower back teeth have large fillings and crowns, making them structurally weak. The new denture will reduce the forces on these teeth to help them last longer, though they may still require new restorations or extractions occasionally.
- Lower Front Teeth: These can be restored to improve their appearance and protect them from further wear. I recommend this treatment but it’s optional and would be done after fitting the upper denture.
- Oral Cancer Screening: The soft tissues of the mouth were screened and appeared healthy, as part of our routine assessment.
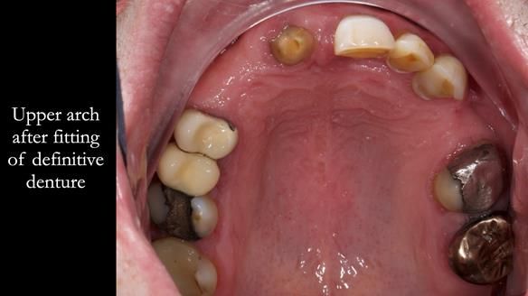
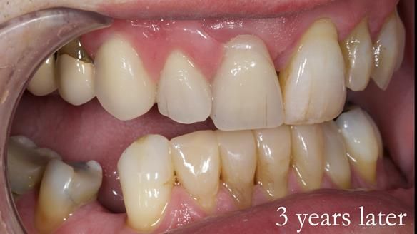
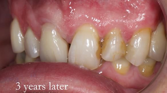
Treatment Process: I provided the clinical work, while Rowan Garstang handled the technical work. The treatment required five visits to fit the RPD. The worn lower anterior teeth were then built up. Unfortunately, I did not check the guidance on the denture teeth after this, and tooth 11 fractured off the denture. Brian was very understanding, and I adjusted the denture thoroughly. It has been fracture-resistant and trouble-free for the last three years.
Upcoming Advanced Complete Denture Workshop
Join me in my practice on Friday, July 5th – spaces available
Are you an experienced clinician or technician, or have you previously attended one of my courses? If so, I invite you to an advanced complete denture workshop at our practice next Friday, July 5th. This workshop is specifically designed to build on your existing knowledge and skills.
This hands-on session will provide in-depth insights into advanced techniques and best practices in complete denture fabrication. It's a fantastic opportunity to refine your skills, learn new approaches, and network with fellow professionals passionate about prosthodontics.
Spaces are limited.
Sharing and Subscribing: If you enjoy my Newsletters, please share them with friends, colleagues, dental students, dental technicians, and other dental team members. To subscribe, email me at education@finlaysutton.co.uk and I will update the list.
Courses and Speaking Engagements: I run removable prosthodontic courses consisting of lectures and live clinical demonstrations. These are aimed at general dentists, prosthodontists, clinical dental technicians, and dental technicians. My courses focus on providing dentures with optimal function and superb aesthetics, demonstrated through step-by-step photographs and videos.
I also speak at dental and prosthodontic conferences globally, aiming to ignite enthusiasm for removable prosthodontics. I showcase well-designed dentures as valid alternatives to implant-supported restorations and demonstrate the importance of proper tooth positioning for aesthetic and functional success.
For speaking engagements, contact me at education@finlaysutton.co.uk.
My fees reflect the quality and dedication to my clinical work and the extensive free resources available on my website and Facebook page.
Upcoming Courses and Lectures: Details of my courses and lectures from 2023 to 2024 are at the end of this Newsletter.
Contact: education@finlaysutton.co.uk
Information about Finlay's speaking engagements








































































































































































































