Finlay's Case Presentation
Welcome to my January 2023
Newsletter Case Presentation
At the end of this Newsletter all the courses I'm running in 2023 on dentures are listed.
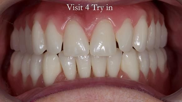
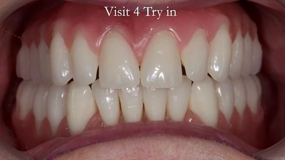
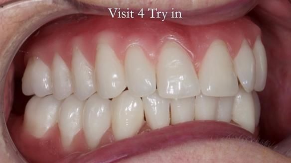
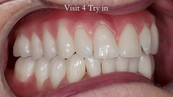
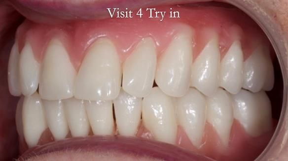
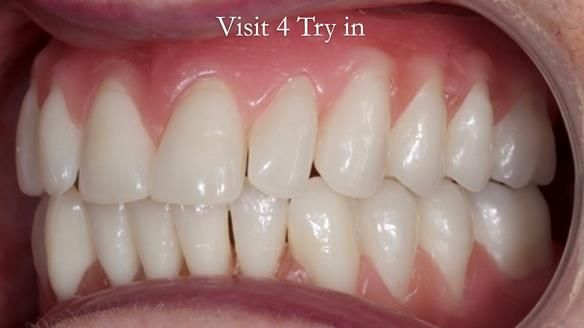
This newsletter describes in step-by-step detail Madeline’s treatment stages with complete dentures – using a neutral zone technique for the lower. This was, technically, one of the most difficult complete denture cases I have ever treated, owing to extreme resorption and unusual denture bearing anatomy. I really struggled with knowing where to position the denture periphery. Please accept my apologies for the large number slides in this case presentation. However, I think it is better to show each step, in detail, to be of maximum benefit to you, the reader.
This 76 year old woman was referred to me by her general dental practitioner for treatment.
Dental concerns
“Dropping out all of the time”
“Got to cut up food like baby food”
“Can’t chew”
“Spoiling my life”
Wish list
“Dentures that look like my natural teeth”
“Want to be able to chew without fixative.”
Madeleine had been provided with MANY sets of dentures by both dentists and clinical dental technicians (denturist). None had proven satisfactory.
Following consultation, the patient chose to have replacement upper and lower conventional dentures made.
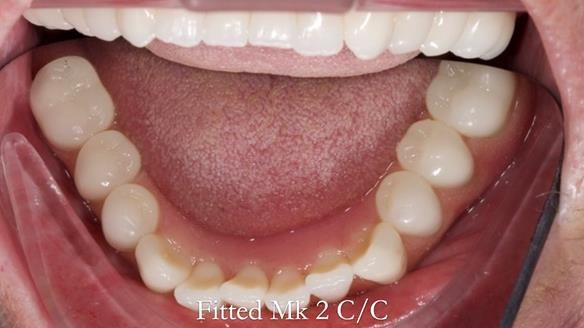
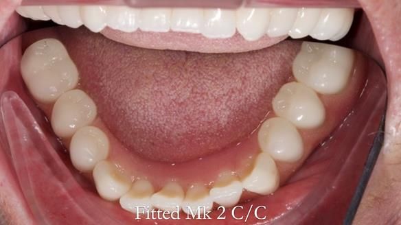
The first set of complete dentures I made (according to my normal C/C protocols) were not satisfactory being no functional improvement on the historic sets. I found it difficult to decide where the borders of the denture should be placed owing to extreme ridge resorption in the upper and lower jaws. I recommended 2 dental implants in the anterior mandible to retain the lower denture. A CBCT scan confirmed adequate bone volume. Madeline considered this but decided not to proceed owing to factors of cost (£12,000 GBP) and wanting avoid surgical intervention. She wanted me to have another go at making a set of complete dentures. I decided to use the first set as a diagnostic set (Mk 1) and made an improved second set (Mk 2) at no additional cost. Earl Pound and latterly Jack Turbyfil the brilliant American Removable Prosthodontists advocated this approach for all complete denture patients. They made set 1 as a diagnostic set and when this was deemed satisfactory, they made set 2, incorporating the good features and changing features that didn’t work.
I made the Mk 2 lower denture using a neutral zone technique, called the ‘French’ impression, advocated by my mentor Dr John Besford. He had learned this technique from Hubert Aiche a superb French Prosthodontist. The Mk 2 lower denture peripheries were therefore formed by Madeline’s mouth. The Mk 2 upper denture incorporated increased flange depth to increased peripheral seal/retention. Rowan, my dental technician, called this “creating a sulcus” where no sulcus exists.
The clinical situation and treatment process is shown in detail below with photographs. I provided the clinical work. Rowan Garstang provided the technical work.
If you enjoy my Newsletters and you have friends, colleagues, dental students, dental technicians, clinical dental technicians and postgraduate dentists that you think will appreciate them, please feel free to share them. In addition, if you or your colleagues would like to receive my Newsletters and Denture Blog, please email me (education@finlaysutton.co.uk).
Removable prosthodontic courses I run consisting of lectures and live clinical demonstrations:
These courses are aimed at general dentists, prosthodontists, clinical dental technicians and dental technicians. They are completely clinical, demonstrating how to provide dentures which have optimal function and superb aesthetics. I give live patient demonstrations along with lectures abundantly illustrated with step-by-step photographs and videos of all procedures. Delegates will take many “nuggets of gold”, being able to put the advice straight into practice with immediate improvement in professional satisfaction and patient outcomes.
Please see details for future courses given by Finlay over the next 2 years.
education@finlaysutton.co.uk
www.finlaysutton.co.uk

















































































































































































































































































































































