Finlay's Case Presentation
Welcome to my October 2022 Newsletter Case Presentation
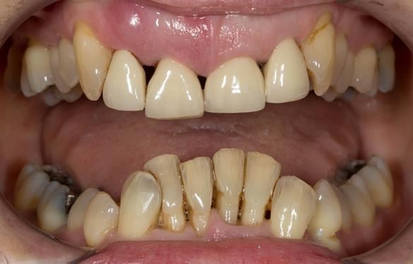
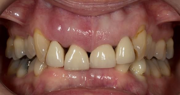
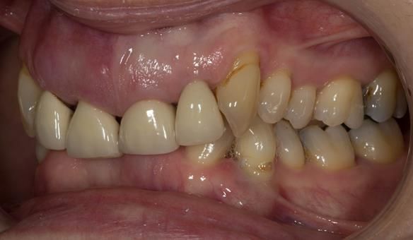
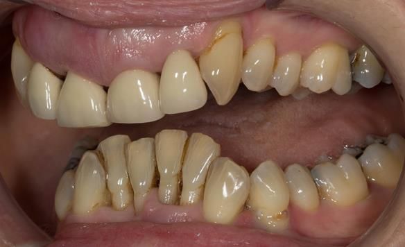
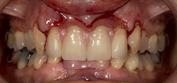
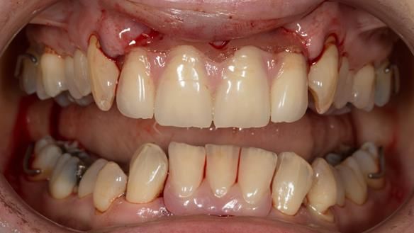
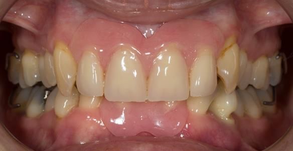
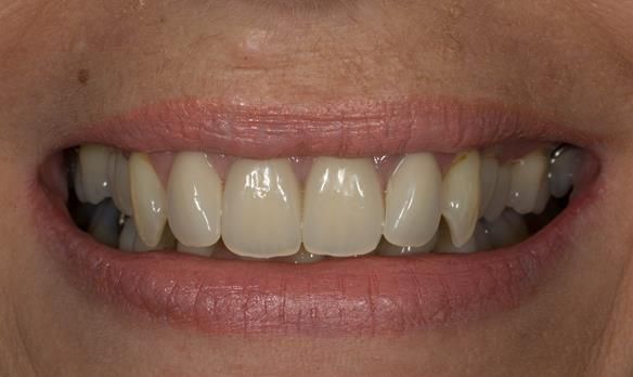
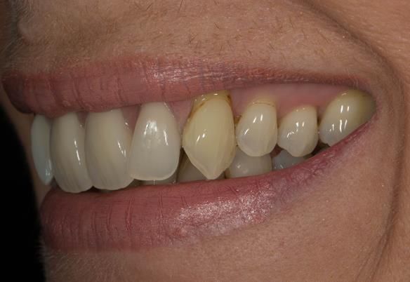
This has to be one of the most satisfying cases I have ever treated. The transformation in the patient's appearance and self confidence was incredible.
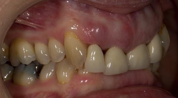
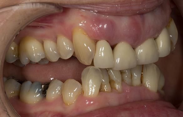
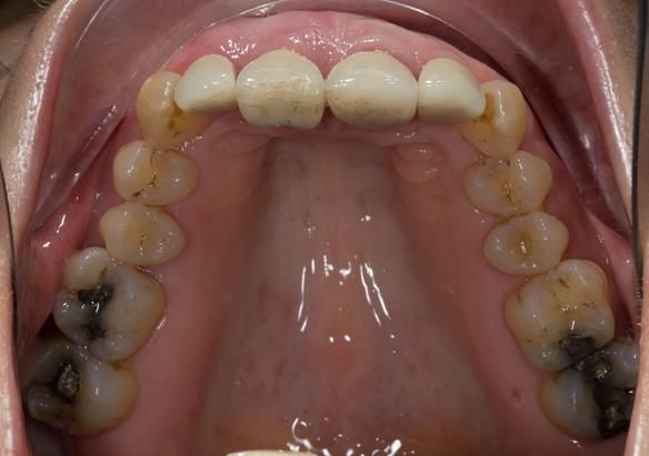
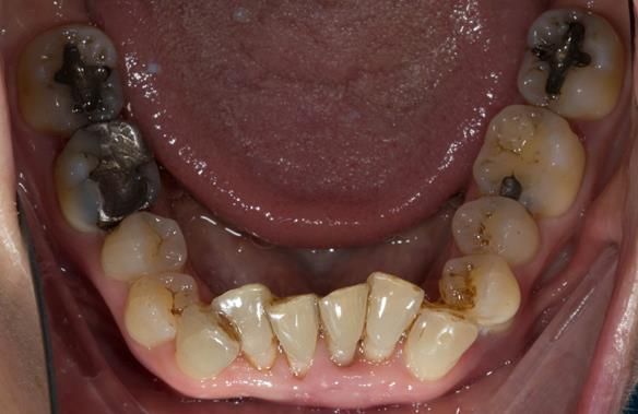
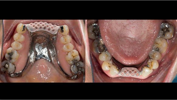
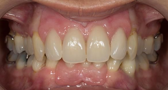
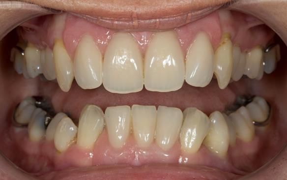
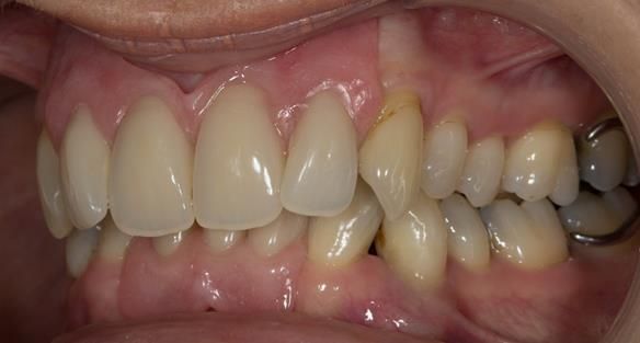
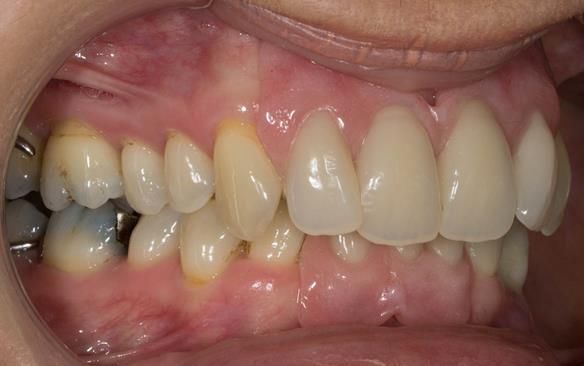
Transition from aesthetically failing, periodontally affected upper and lower incisors to definitive metal based upper and lower dentures. 57 year old woman.
Dental concerns
- “Front teeth”
- “Overbite”
- “Gums”
Medical History: Fit and well
Dental wish list
- “An improved smile”
- “Healthy gums”
Diagnoses
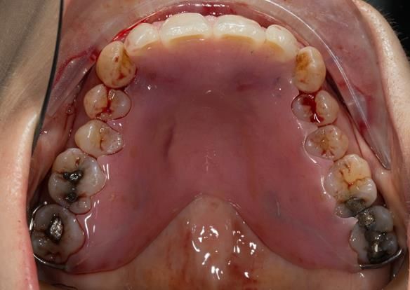
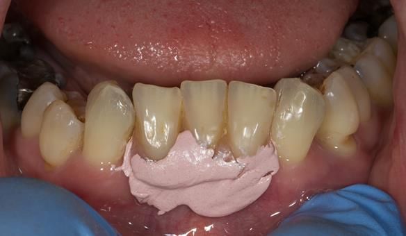
- Localised periodontitis stage 4 (very severe) Grade C (rapid progression) - affecting the upper and lower incisors and LL4
- Overeruption of the upper and lower anterior segments with traumatic overbite and aesthetic failure
- Very high smile line
Treatment options
- Do nothing
- Periodontal management
- Partial dentures
- Bridges
- Implant supported fixed teeth
Treatment objective
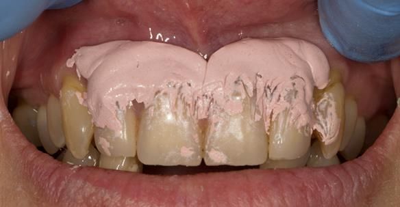
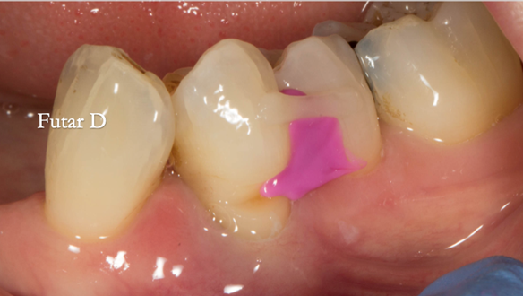
- Mk 1 Immediate interim partial denture with removal of upper and lower 2-2
- Teeth whitening – if wanted
- Periodontal therapy
- Mk 2 Definitive metal based partial dentures upper and lower 2-2
The clinical situation and treatment process is shown in detail below with photographs. I provided the clinical work. Rowan Garstang provided the technical work.
If you enjoy my Newsletters and you have friends, colleagues, dental students, dental technicians, clinical dental technicians and postgraduate dentists that you think will appreciate them, please feel free to share them. In addition, if you or your colleagues would like to receive my Newsletters and Denture Blog, please email me (education@finlaysutton.co.uk) and I will update the list.
Removable prosthodontic courses I run consisting of lectures and live clinical demonstrations:
These courses are aimed at general dentists, prosthodontists, clinical dental technicians and dental technicians. They are completely clinical, demonstrating how to provide dentures which have optimal function and superb aesthetics. I give live patient demonstrations along with lectures abundantly illustrated with step-by-step photographs and videos of all procedures. Delegates will take many “nuggets of gold”, being able to put the advice straight into practice with immediate improvement in professional satisfaction and patient outcomes.
Please see details for future courses given by Finlay over the next 2 years.
education@finlaysutton.co.uk























































































