Finlay's Case Presentation
FINLAY'S CASE PRESENTATION
Welcome to my September 2022 Newsletter Case Presentation.
This newsletter describes in step-by-step detail the provision of an upper metal based partial denture for Sue.
This 56 -year-old woman was referred to me by her general dental practitioner.
Dental history prior to treatment
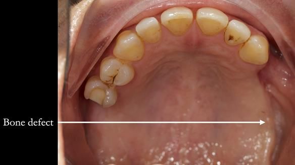
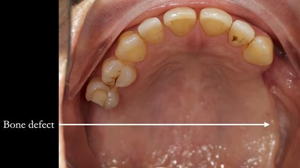
3 implants placed 9 years ago supporting missing upper back teeth (one crown and one bridge). These have failed. Missing upper back teeth.
Dental concerns
“Bone loss following dental implant failure”
Dental wish list
“Eating”
“Cosmetic
“Comfort”
“Longevity”
Medical History
Nil
Diagnoses
Compromised denture bearing area with extremely resorbed maxilla following three implant placement and failure – missing upper 7 posterior teeth.
Natural teeth healthy, some posterior teeth with moderate sized fillings.
Treatment options discussed with Sue
Do nothing – Sue did not want this
Upper partial denture – Sue wanted this
Further dental implant restorations. Sue didn’t want this owing to previous implant failure.
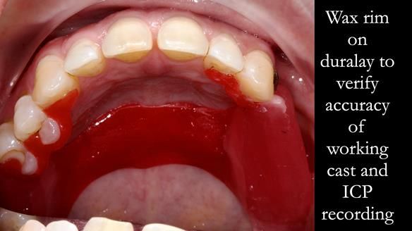
The clinical situation and treatment process is shown in detail below with photographs. I provided the clinical work. Rowan Garstang provided the technical work.
If you enjoy my Newsletters and you have friends, colleagues, dental students, dental technicians, clinical dental technicians and postgraduate dentists that you think will appreciate them, please feel free to share them. In addition, if you or your colleagues would like to receive my Newsletters, please email me (education@finlaysutton.co.uk) and I will update the list.
Removable prosthodontic courses I run consisting of lectures and live clinical demonstrations:
These courses are aimed at general dentists, prosthodontists, clinical dental technicians and dental technicians. They are completely clinical, demonstrating how to provide dentures which have optimal function and superb aesthetics. I give live patient demonstrations along with lectures abundantly illustrated with step-by-step photographs and videos of all procedures. Delegates will take many “nuggets of gold”, being able to put the advice straight into practice with immediate improvement in professional satisfaction and patient outcomes.
Please see details for future courses given by Finlay over the next 2 years.
education@finlaysutton.co.uk

































































































