



NEWSLETTER CASE PRESENTATION 59
Welcome to Newsletter 59. In this edition, I walk through the intricate process of creating and fitting partial dentures for Gill, an 80-year-old woman with a particularly challenging combination of missing teeth. This issue offers a thorough exploration of the complete protocol workflow for achieving exceptionally well-fitted dentures.
To guarantee that readers worldwide have equal access to the content, this newsletter will be dispatched three times at various intervals throughout the Christmas and New Year holiday period. This approach ensures that individuals in different time zones won't miss out on the valuable information.
My New Years Resolution
In 2024, my resolution is to revolutionise global teaching and design of partial dentures. I've been inspired by the hygienic Scandinavian approach to RPD design by John Besford, Charlotte Stilwell and Linda Blakely. Since implementing this method, my patients now only need 1.5 reviews after fitting, a significant improvement compared to the 5 reviews required using the the RPI system I was originally taught. It has notably improved the quality of life for my patients. I'm reaching out to you for support in achieving this goal by sharing my newsletters with dentists and educators globally. Together, we can spread this innovative approach worldwide. Your assistance is crucial in making a significant impact.
"Finlay's partial denture designs sheet - covering all patterns of missing teeth for both good and poor prognosis teeth," I have created a comprehensive guide that encompasses various scenarios of missing teeth, addressing both good and poor prognosis teeth. This is a valuable resource for dental professionals dealing with partial denture designs.
I explain the hygienic Scandinavian partial design system in this lecture, starting from the 21-minute mark in the video. To watch this segment, please click on the thumbnail below.
Make your New Years Resolution - Predictable partial dentures
Elevate Your Expertise in Partial Dentures!
Are you ready to take your skills in partial denture design and fabrication to the next level? My comprehensive ful day course partial denture course is tailor-made for dentists, dental technicians, and clinical dental technicians like you!
Join my exclusive partial denture courses held twice a year, where I bring a patient into the practice to guide you through each meticulous step of the process.
Master the Art of Partial Dentures in 2024
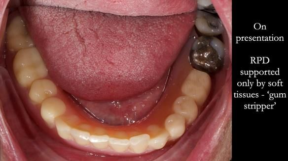
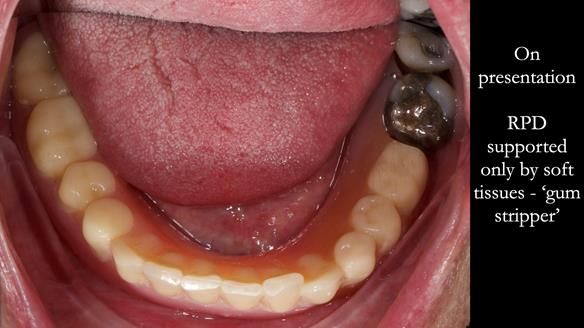
Gill's Case Presentation 59 A BIG PROSTHODONTIC CHALLENGE
Gill was referred to me for specialist prosthodontics by her general dentist, after unsuccessful attempts to provide comfortable/secure dentures.
Dental concerns
“Need help with dentures that fit”
Dental wish list
“Ability to eat”
Diagnoses
The lower left first molar (36) had hopeless prognosis owing to severe periodontal disease and bone loss.
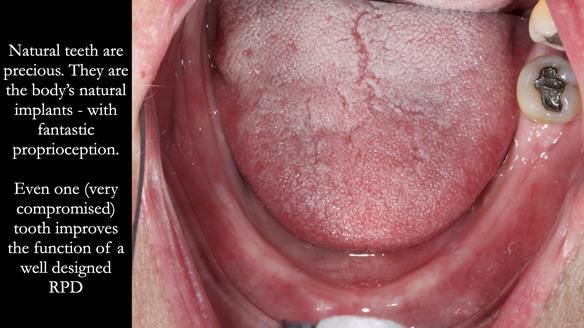
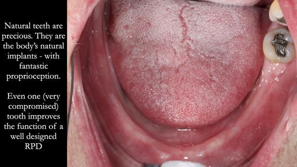
The remaining 4 teeth (14,13, 23, 37) had better but dubious prognosis having had periodontal disease – they had 50 – 70% bone loss. However, I did not believe these teeth should be removed as they were still useful teeth to support new partial dentures to help with biting and chewing. The new partial dentures were to be designed to be added to when each of these teeth fail.
The current partial dentures worn had numerous technical faults making them impossible to eat with.
Visual screening for oral cancer revealed healthy soft tissues—a routine assessment for all patients.
Dental implants were not indicated owing to long term bisphosphonate medication (over 10 years).
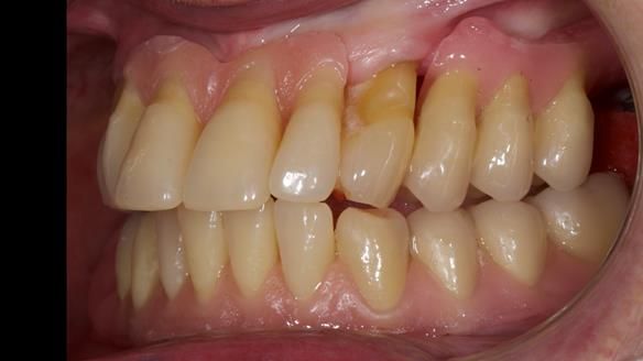
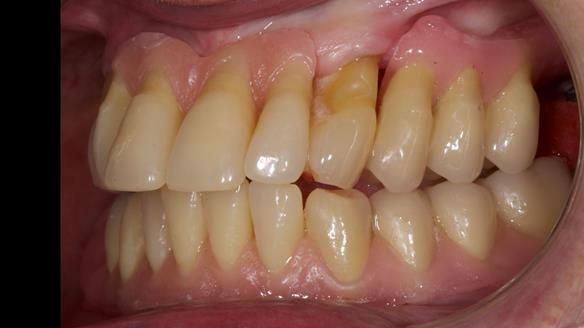
The detailed clinical situation and treatment process are outlined below, with clinical work provided by me and technical work by Rowan Garstang. The treatment spanned six visits for denture fitting and one review. I initially thought that the lower denture would need a soft lining, such as Molloplast B, this fortunately proved not be necessary.
Gill adapted superbly to the dentures not only because they fitted well. She also had a positive approach to the treatment and put the effort in to work with the new dentures rather resisting them. This is hugely important for success with dentures.
Even if dentures are technically flawless their success hinges on the patient's willingness to cooperate. Without the patient's commitment to working with them, even the best made dentures may fall short.
If you find these Newsletters valuable and know others who might too—friends, colleagues, dental professionals—please feel free to share. To receive future Newsletters, email me at education@finlaysutton.co.uk.
Courses given by Finlay at his practice
I conduct removable prosthodontic courses, featuring lectures and live clinical demonstrations at the practice. These courses target general dentists, prosthodontists, clinical dental technicians, and dental technicians. With a focus on clinical application, these demonstrations showcase optimal function and superb aesthetics, providing immediate professional improvement and enhanced patient outcomes.
Speaking Engagements
I speak at dental and prosthodontic conferences globally, aiming to kindle enthusiasm for removable prosthodontics. My lectures emphasize the viability of well-designed removable dentures as an alternative to implant-supported restorations. For conference inquiries, contact me at education@finlaysutton.co.uk.
While my speaking fees reflect the quality and dedication to removable prosthodontics, I offer a wealth of free resources on my website (finlaysutton.co.uk) and Facebook page. My transparent presentations, documented with patient cases, empower delegates to apply practical advice immediately.
For details on upcoming courses and lectures in 2024, please see the end of this Newsletter.
education@finlaysutton.co.uk
Subscribe to Newsletter
Information about Finlay's In-House Courses
Information about Finlay's speaking engagements
































































































































































































































































































































































































