


NEWSLETTER CASE PRESENTATION 62
Welcome to Newsletter 62. In this edition, I walk through the process of removing 5 upper anterior teeth, adding to an existing upper RPD, followed by creating and fitting metal based complete dentures for Rafique, a 71 year old man.
This is my video walk through of Rafique's case.
2024 revolutionise global teaching of RPDs
In 2024, my resolution is to revolutionise global teaching and design of partial dentures. I've been inspired by the hygienic Scandinavian approach to RPD design by John Besford, Charlotte Stilwell and Linda Blakely. Since implementing this method, my patients now only need 1.5 reviews after fitting, a significant improvement compared to the 5 reviews required using the the RPI system I was originally taught. It has notably improved the quality of life for my patients. I'm reaching out to you for support in achieving this goal by sharing my newsletters with dentists and educators globally. Together, we can spread this innovative approach worldwide. Your assistance is crucial in making a significant impact.
"Finlay's partial denture designs sheet - covering all patterns of missing teeth for both good and poor prognosis teeth," I have created a comprehensive guide that encompasses various scenarios of missing teeth, addressing both good and poor prognosis teeth. This is a valuable resource for dental professionals dealing with partial denture designs.
I explain the hygienic Scandinavian partial design system in this lecture, starting from the 21-minute mark in the video. To watch this segment, please click on the thumbnail below.
Elevate Your Expertise in Partial Dentures!
Elevate Your Expertise in Partial Dentures!
Are you ready to take your skills in partial denture design and fabrication to the next level? My comprehensive ful day course partial denture course is tailor-made for dentists, dental technicians, and clinical dental technicians like you!
Join my exclusive partial denture courses held twice a year, where I bring a patient into the practice to guide you through each meticulous step of the process.
Master the Art of Partial Dentures in 2024
Rafique's Case Presentation - 62
Welcome to Newsletter 62. In this edition, I walk through the process of removing 5 upper anterior teeth, adding to an existing upper RPD, followed by creating and fitting metal based complete dentures for Rafique, a 71 year old man.
Rafique was referred by his general dentist for specialist prosthodontics.
Medical History
Type 2 diabetes
Raised blood pressure
Dental concerns
“Uncomfortable dentures and toothache”
”Dental wish list
“To be able to eat comfortably”
Diagnoses/treatment plan
Inadequate upper and lower dentures – thickened with reline material. Almost unwearable.
Natural 5 upper anterior teeth with caries and periodontal disease. Not restorable predictably.
Soft Tissue Examination: Routine visual screening for oral cancer was conducted, and the soft tissues appeared healthy.
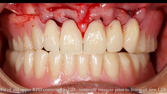
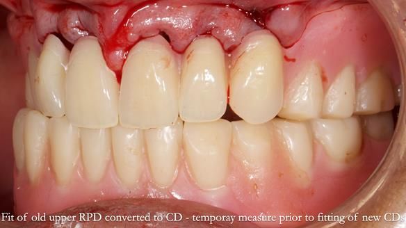
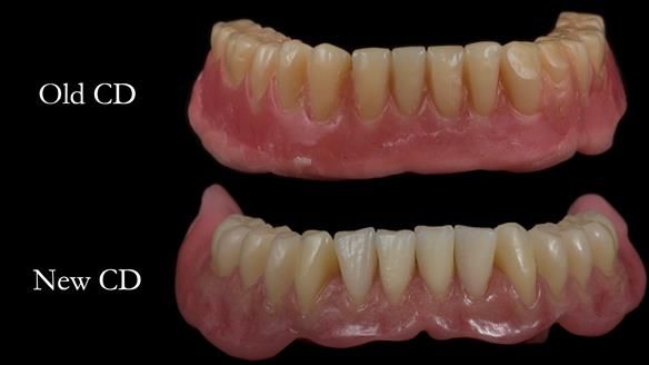
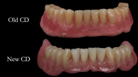
The detailed clinical situation and treatment process are outlined below, with clinical work provided by me and technical work by Rowan Garstang. The treatment spanned 12 months, involving removing 5 upper anterior teeth, adding to an existing upper RPD, followed by creating and fitting metal based complete dentures.
Rafique adapted superbly to the complete dentures not only because they fitted well. He had a positive approach to the treatment and put the effort in to work with the new dentures rather resisting them. I can’t stress how important this is for success with dentures.
Even if dentures are technically excellent their success hinges on the patient's willingness to cooperate. Without the patient's commitment to working with them, even the best made dentures may fall short.
If you find these Newsletters valuable and know others who might too—friends, colleagues, dental professionals—please feel free to share. To receive future Newsletters, email me at education@finlaysutton.co.uk.
Courses given by Finlay at his practice
I conduct removable prosthodontic courses, featuring lectures and live clinical demonstrations at the practice. These courses target general dentists, prosthodontists, clinical dental technicians, and dental technicians. With a focus on clinical application, these demonstrations showcase optimal function and superb aesthetics, providing immediate professional improvement and enhanced patient outcomes.
Speaking Engagements
I speak at dental and prosthodontic conferences globally, aiming to kindle enthusiasm for removable prosthodontics. My lectures emphasize the viability of well-designed removable dentures as an alternative to implant-supported restorations. For conference inquiries, contact me at education@finlaysutton.co.uk.
While my speaking fees reflect the quality and dedication to removable prosthodontics, I offer a wealth of free resources on my website (finlaysutton.co.uk) and Facebook page. My transparent presentations, documented with patient cases, empower delegates to apply practical advice immediately.
For details on upcoming courses and lectures in 2024, please see the end of this Newsletter.
education@finlaysutton.co.uk
Subscribe to Newsletter
Information about Finlay's In-House Courses
Information about Finlay's speaking engagements












































































































































































































































































































































































