

NEWSLETTER CASE PRESENTATION 63
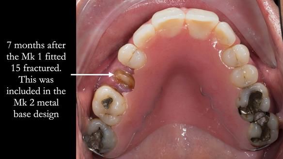
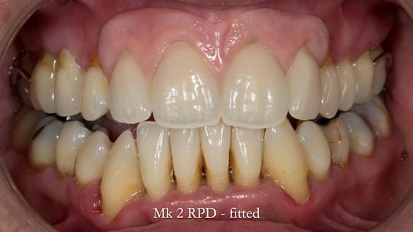
Welcome to Newsletter 63. This is an enjoyable and life-changing case I treated 10 years ago. I'll walk you through the process of removing four upper anterior teeth and providing both a Mk 1 acrylic-based (immediate partial denture) and a Mk 2 metal-based partial denture. During the process, I made some errors in judgment regarding the prognosis of the teeth. However, I was able to implement straightforward workarounds thanks to the flexibility of the Mk 1 and Mk 2 RPD designs.To guarantee readers worldwide have equal access to the content, this newsletter is dispatched 2 times. This approach ensures that individuals in different time zones won't miss out on the valuable information.
Click here for case study link on my website.
2024 revolutionise global teaching of RPDs
In 2024, my resolution is to revolutionise global teaching and design of partial dentures. I've been inspired by the hygienic Scandinavian approach to RPD design by John Besford, Charlotte Stilwell and Linda Blakely. Since implementing this method, my patients now only need 1.5 reviews after fitting, a significant improvement compared to the 5 reviews required using the the RPI system I was originally taught. It has notably improved the quality of life for my patients. I'm reaching out to you for support in achieving this goal by sharing my newsletters with dentists and educators globally. Together, we can spread this innovative approach worldwide. Your assistance is crucial in making a significant impact.
"Finlay's partial denture designs sheet - covering all patterns of missing teeth for both good and poor prognosis teeth," I have created a comprehensive guide that encompasses various scenarios of missing teeth, addressing both good and poor prognosis teeth. This is a valuable resource for dental professionals dealing with partial denture designs.
I explain the hygienic Scandinavian partial design system in this lecture, starting from the 21-minute mark in the video. To watch this segment, please click on the thumbnail below.
Elevate Your Expertise in Partial Dentures!
Elevate Your Expertise in Partial Dentures!
Are you ready to take your skills in partial denture design and fabrication to the next level? My comprehensive ful day course partial denture course is tailor-made for dentists, dental technicians, and clinical dental technicians like you!
Join my exclusive partial denture courses held twice a year, where I bring a patient into the practice to guide you through each meticulous step of the process.
Master the Art of Partial Dentures in 2024
Sarah's Case Presentation - 63
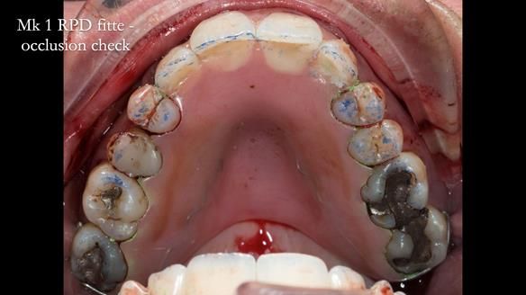
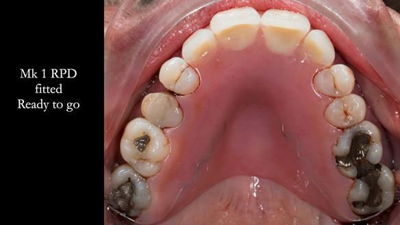
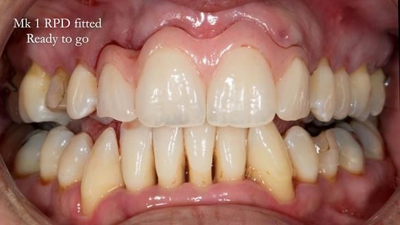
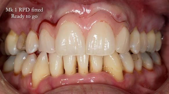
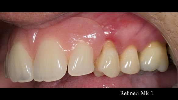
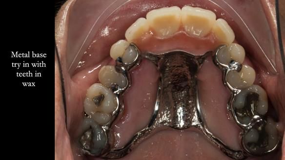
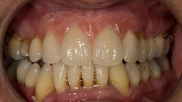
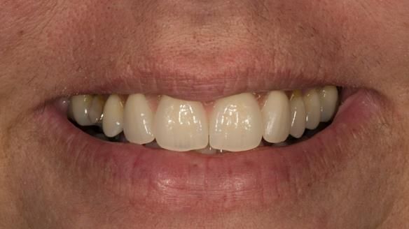
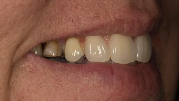
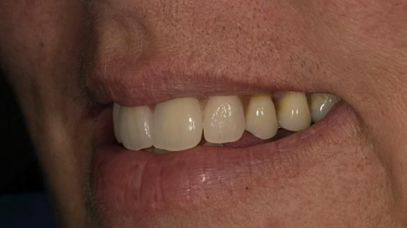
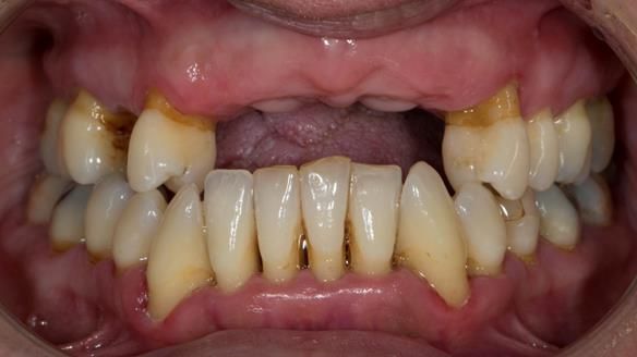
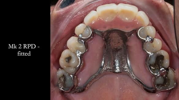
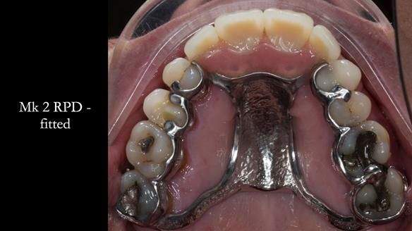
Welcome to Newsletter 63. This is an enjoyable and life-changing case I treated 10 years ago. I'll walk you through the process of removing four upper anterior teeth and providing both a Mk 1 acrylic-based (immediate partial denture) and a Mk 2 metal-based partial denture. During the process, I made some errors in judgment regarding the prognosis of the teeth. However, I was able to implement straightforward workarounds thanks to the flexibility of the Mk 1 and Mk 2 RPD designs.
Sarah was refered to me by her general dentist.
If you find these Newsletters valuable and know others who might too—friends, colleagues, dental professionals—please feel free to share. To receive future Newsletters, email me at education@finlaysutton.co.uk.
Courses given by Finlay at his practice
I conduct removable prosthodontic courses, featuring lectures and live clinical demonstrations at the practice. These courses target general dentists, prosthodontists, clinical dental technicians, and dental technicians. With a focus on clinical application, these demonstrations showcase optimal function and superb aesthetics, providing immediate professional improvement and enhanced patient outcomes.
Speaking Engagements
I speak at dental and prosthodontic conferences globally, aiming to kindle enthusiasm for removable prosthodontics. My lectures emphasize the viability of well-designed removable dentures as an alternative to implant-supported restorations. For conference inquiries, contact me at education@finlaysutton.co.uk.
While my speaking fees reflect the quality and dedication to removable prosthodontics, I offer a wealth of free resources on my website (finlaysutton.co.uk) and Facebook page. My transparent presentations, documented with patient cases, empower delegates to apply practical advice immediately.
For details on upcoming courses and lectures in 2024, please see the end of this Newsletter.
education@finlaysutton.co.uk
Subscribe to Newsletter
Information about Finlay's In-House Courses
Information about Finlay's speaking engagements


























































































































































































