NEWSLETTER CASE PRESENTATION 65
Welcome to Newsletter 65. This was stressfull and challenging case I treated recently, both technically and managing the patient. I'll walk you through the process of providing complete dentures fitting over 6 very badly positioned dental implants. To guarantee readers worldwide have equal access to the content, this newsletter is dispatched 2 times. This approach ensures that individuals in different time zones won't miss out on the valuable information.


Marisa's case presentation
Welcome to my Newsletter 65, where I show the making and fitting of complete dentures supported by upper and lower dental implants for Marisa. I did not enjoy this case and found it very stressful. This was challenging both technically as the implant positions had been badly planned and owing to her dental history Marisa proved very challenging to manage. This issue provides a comprehensive overview of the entire protocol workflow.
To ensure global accessibility, I send this Newsletter twice at different times of the day, ensuring readers worldwide don't miss out on the content.
Marisa was referred to me for specialist removable prosthodontics by an implant dentist.
Dental Concerns
"I do not like the look of my teeth (dentures).
Dental Wish List
• Improved look
• Better fitting
Diagnoses/Observations/Comments
- The 6 Straumann tissue level implants were badly positioned, making the fitting of the dentures difficult and positioning of the teeth in the prosthetic envelope difficult. They also had less than optimal bone levels.
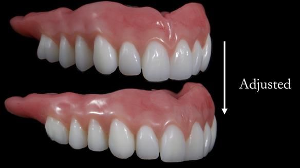
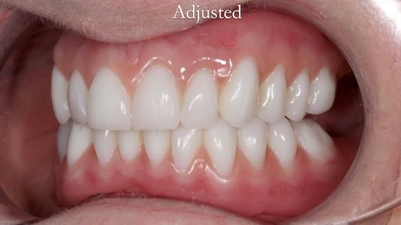
- The upper denture, horseshoe-shaped and metal-reinforced, rocks on the ridge, causing wear on Locator abutments and a fractured upper right tooth.
- Both upper and lower dentures could be enhanced in appearance.
- Visual screening for oral cancer revealed healthy soft tissues—a routine assessment for all patients.
The detailed clinical situation and treatment process are outlined below, with clinical work provided by me and technical work by Rowan Garstang. New complete implant supported complete dentures were made. The new upper denture had ‘almost’ full palatal extension for the non-splinted implants following ITI guidelines. A decision was reached to replace the worn attachments, with abutments (Locators) of reduced height. The treatment spanned five visits for denture fitting and 2 reviews. Although she was not at all happy with the dentures in the first instance when fitted, Marisa after review 1, expressed great satisfaction with the treatment, noting a significant enhancement in her overall quality of life. She brought in a delicious chocolate cake as a thank you.
If you find these Newsletters valuable and know others who might too—friends, colleagues, dental professionals—please feel free to share. To receive future Newsletters, email me at education@finlaysutton.co.uk.
Courses given by Finlay at his practice
I conduct removable prosthodontic courses, featuring lectures and live clinical demonstrations at the practice. These courses target general dentists, prosthodontists, clinical dental technicians, and dental technicians. With a focus on clinical application, these demonstrations showcase optimal function and superb aesthetics, providing immediate professional improvement and enhanced patient outcomes.
Speaking Engagements
I speak at dental and prosthodontic conferences globally, aiming to kindle enthusiasm for removable prosthodontics. My lectures emphasize the viability of well-designed removable dentures as an alternative to implant-supported restorations. For conference inquiries, contact me at education@finlaysutton.co.uk.
While my speaking fees reflect the quality and dedication to removable prosthodontics, I offer a wealth of free resources on my website (finlaysutton.co.uk) and Facebook page. My transparent presentations, documented with patient cases, empower delegates to apply practical advice immediately.
For details on upcoming courses and lectures in 2024, please see the end of this Newsletter.
education@finlaysutton.co.uk
Subscribe to Newsletter
Information about Finlay's In-House Courses
Information about Finlay's speaking engagements


























































































































































































































































































































































































