
Newsletter Case Presentation 58
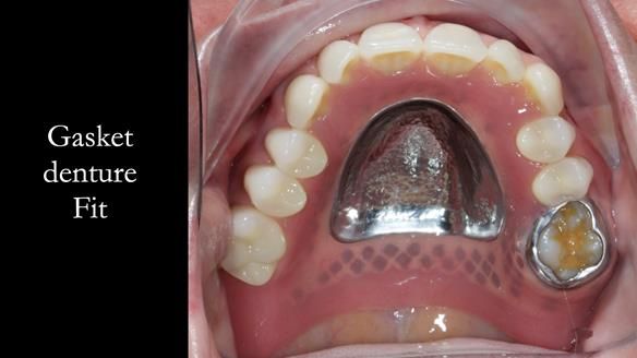
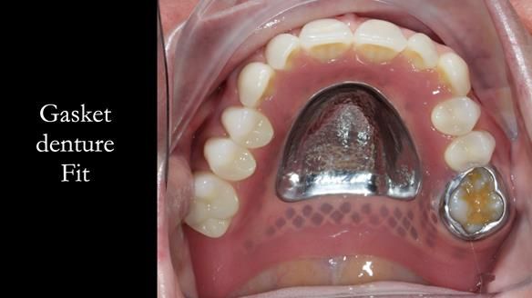
Welcome to my Newsletter 58, where I show the making and fitting of an upper gasket partial denture for Zoe (52 year old woman). This issue provides a comprehensive overview of the entire protocol workflow for this superbly retained denture.
To ensure global accessibility, I send this Newsletter twice at different times of the day, ensuring readers worldwide don't miss out on the content.
Zoe was referred to me for specialist prosthodontics by her general dentist, after unsuccessful attempts to provide a denture because of fractures, looseness and discomfort.
Dental concerns
Breakages, discomfort and poor appearance of denture.
Dental wish list
Comfort
Good fitting
Improved biting and chewing
Natural appearance – just like my natural teeth.
I do not want anyone knowing I use a denture.
Diagnoses
The current denture could be enhanced both in terms of fit and aesthetics.
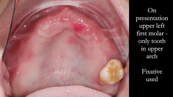
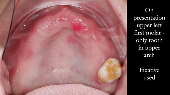
The upper left first molar demonstrated excellent condition, with no signs of mobility, caries, or periodontal issues.
The remaining natural teeth were invaluable. I advised continuing regular appointments with her General Dentist to ensure the preservation of these natural teeth for as long as possible. I emphasised it is crucial to maintain the remaining natural teeth with meticulous daily cleaning, especially where they emerge from the gums.
Visual screening for oral cancer revealed healthy soft tissues—a routine assessment for all patients.
The detailed clinical situation and treatment process are outlined below, with clinical work provided by me and technical work by Rowan Garstang. The treatment spanned five visits for denture fitting and one review.
If you find these Newsletters valuable and know others who might too—friends, colleagues, dental professionals—please feel free to share. To receive future Newsletters, email me at education@finlaysutton.co.uk.
Courses given by Finlay at his practice
I conduct removable prosthodontic courses, featuring lectures and live clinical demonstrations at the practice. These courses target general dentists, prosthodontists, clinical dental technicians, and dental technicians. With a focus on clinical application, these demonstrations showcase optimal function and superb aesthetics, providing immediate professional improvement and enhanced patient outcomes.
Speaking Engagements
I speak at dental and prosthodontic conferences globally, aiming to kindle enthusiasm for removable prosthodontics. My lectures emphasize the viability of well-designed removable dentures as an alternative to implant-supported restorations. For conference inquiries, contact me at education@finlaysutton.co.uk.
While my speaking fees reflect the quality and dedication to removable prosthodontics, I offer a wealth of free resources on my website (finlaysutton.co.uk) and Facebook page. My transparent presentations, documented with patient cases, empower delegates to apply practical advice immediately.
For details on upcoming courses and lectures in 2024, please see the end of this Newsletter.
education@finlaysutton.co.uk
Subscribe to Newsletter
Information about Finlay's In-House Courses
Information about Finlay's speaking engagements
































































































































































































































































