
NEWSLETTER CASE PRESENTATION 64
Welcome to Newsletter 64. This is an enjoyable and life-changing case I treated recently. I'll walk you through the process of providing a metal-based partial denture/splint for Ian.

Ian's Case Presentation - 64
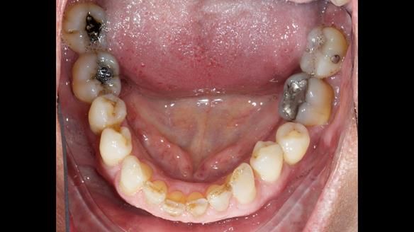
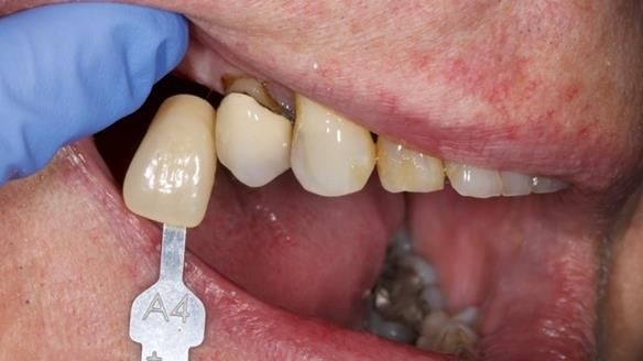
Welcome to Newsletter 64. I'll walk you through the process of providing a Mk 2 metal-based partial denture (RPD), for Ian a retired Veterinary Surgeon aged 78. The RPD was made at an increased vertical dimension and acted as an occlusal stabilisation splint - reducing the wear and bite force on the remaining natural teeth.
Ian was referred to me by his general dentist.
If you find these Newsletters valuable and know others who might too—friends, colleagues, dental professionals—please feel free to share. To receive future Newsletters, email me at education@finlaysutton.co.uk.
Courses given by Finlay at his practice
I conduct removable prosthodontic courses, featuring lectures and live clinical demonstrations at the practice. These courses target general dentists, prosthodontists, clinical dental technicians, and dental technicians. With a focus on clinical application, these demonstrations showcase optimal function and superb aesthetics, providing immediate professional improvement and enhanced patient outcomes.
Speaking Engagements
I speak at dental and prosthodontic conferences globally, aiming to kindle enthusiasm for removable prosthodontics. My lectures emphasize the viability of well-designed removable dentures as an alternative to implant-supported restorations. For conference inquiries, contact me at education@finlaysutton.co.uk.
While my speaking fees reflect the quality and dedication to removable prosthodontics, I offer a wealth of free resources on my website (finlaysutton.co.uk) and Facebook page. My transparent presentations, documented with patient cases, empower delegates to apply practical advice immediately.
For details on upcoming courses and lectures in 2024, please see the end of this Newsletter.
education@finlaysutton.co.uk
Subscribe to Newsletter
Information about Finlay's In-House Courses
Information about Finlay's speaking engagements
Hi there,
You are invited to a Zoom meeting.
When: May 9, 2024 07:30 PM London
Register in advance for this meeting:
https://us02web.zoom.us/meetin...
After registering, you will receive a confirmation email containing information about joining the meeting.












































































































































































































