Finlay's Case Presentation
Finlay’s full protocol case presentation - extreme removable prosthodontics – engineering a super-strong and ultra-thin over denture
Welcome to my second September 2022 Newsletter Case Presentation
This newsletter describes in step-by-step detail the provision of two lower metal-based overdentures.
Graham (67) was recommended to me by his relative who is a general dental practitioner. He had been told by his own dentist that nothing more could be done to help him. Sadly, like Graham, many of my new patients believe they are 'lost causes'. One of the aims of my newsletters is to show that by thinking outside the box, high quality removable prosthodontics can rehabilitate these so called 'hopeless cases'.
Dental concerns
“Problems with the lower denture”
Dental wish list
“To be able to eat in comfort”
“To be confident”
“Easy to wear”
“Easy to remove”
Medical History
At high risk of Bisphosphonate related Osteonecrosis of the Jaw (BRONJ) owing to severe osteoporosis following 5 pathological spinal fractures. Intravenous Prolia (Bisphosphonate drug) every 3 months
High blood pressure
Angina – daily Aspirin, daily Adizem
Heart stents
Type 2 diabetes on Metformin
Diagnoses
The patient had 2 lower dentures exhibiting poor aesthetics, tissue fit, retention, stability with multiple technical problems. Root fitted Kerator attachments had been used in both sets of dentures – without success owing to limited space and angulation of the abutments.
This was an extremely difficult removable prosthetic situation to solve. It is no surprise that Graham had problems. There was very little space for an overdenture and as such it needed to be designed and made carefully with metal reinforcement.
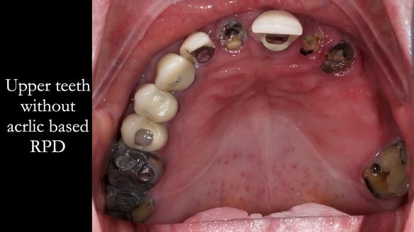
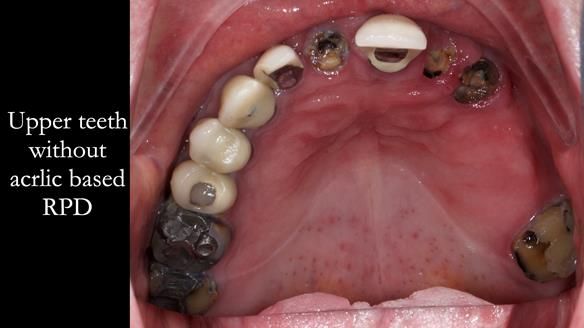
Partially dentate in the upper. Upper acrylic based partial denture – the patient wanted to keep this and continue to have the upper dentition managed by his dentist.
Remaining roots in the lower jaw. 4 roots have cemented Kerator attachments.
Remaining teeth to be left as they are – minimal intervention to limit the need for extractions owing to high risk of BRONJ.
Treatment plan
Make 2 x complete lower metal based over dentures. To be worn on alternate days so they wear at the same time. If one breaks, the other can be worn, whilst the broken one is repaired.
The clinical situation and treatment process is shown in detail below with photographs. I provided the clinical work. Rowan Garstang provided the technical work.
If you enjoy my Newsletters and you have friends, colleagues, dental students, dental technicians, clinical dental technicians and postgraduate dentists that you think will appreciate them, please feel free to share them. In addition, if you or your colleagues would like to receive my Newsletters, please email me (education@finlaysutton.co.uk) and I will update the list.
Removable prosthodontic courses I run consisting of lectures and live clinical demonstrations:
These courses are aimed at general dentists, prosthodontists, clinical dental technicians and dental technicians. They are completely clinical, demonstrating how to provide dentures which have optimal function and superb aesthetics. I give live patient demonstrations along with lectures abundantly illustrated with step-by-step photographs and videos of all procedures. Delegates will take many “nuggets of gold”, being able to put the advice straight into practice with immediate improvement in professional satisfaction and patient outcomes.
Please see details for future courses given by Finlay over the next 2 years.
education@finlaysutton.co.uk

























































































































