NEWSLETTER CASE PRESENTATION 66
Welcome to Newsletter 66. I loved treating Anna because it transformed her life. After the treatment, she said, “The new teeth (RPD) have given me a great look, and my facial contour has improved. I am more confident, I have lost weight, I have accepted a job promotion, and I look younger. Does it get any better than that?”
We provided a removable partial denture (RPD) in 2013. It was one of our early attempts at a Scandinavian-style hygienic RPD. Additionally, this was one of the first cases using the extremely lifelike Schottlander’s Enigmalife+ teeth, which Rowan and I helped to develop.
Click here for my YouTube presentation of this video:
Anna's case presentation
Newsletter 66 long term case study with full protocol. I loved treating Anna because it transformed her life. After the treatment, she said, “The new teeth (RPD) have given me a great look, and my facial contour has improved. I am more confident, I have lost weight, I have accepted a job promotion, and I look younger. Does it get any better than that?”
We provided a removable partial denture (RPD) in 2013. It was one of our early attempts at a Scandinavian-style hygienic RPD. Additionally, this was one of the first cases using the extremely lifelike Schottlander’s Enigmalife+ teeth, which Rowan and I helped to develop.
Anna wanted to remain anonymous and I have changed her name, as such there are no full face photographs in this case study.
This issue provides a comprehensive overview of the entire protocol workflow.
To ensure global accessibility, I send this Newsletter twice at different times of the day, ensuring readers worldwide don't miss out on the content.
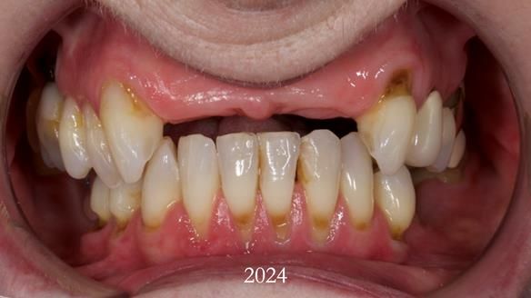
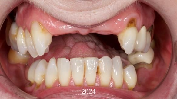
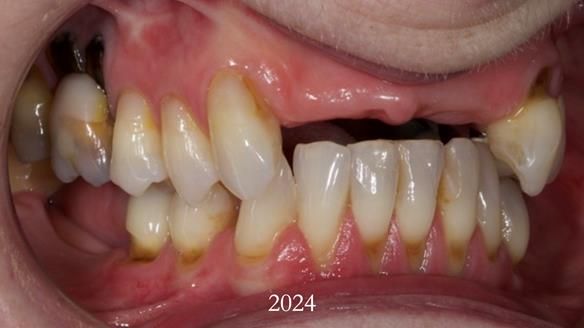
In 2013 Anna was referred by her general dental practitioner for fixed or removable restorations to replace the missing upper incisors. At the age of 12 Anna had a horse-riding accident resulting in the loss of the upper four incisors. She had worn an acrylic based RPD since then. No one, including her husband knew that she wore an RPD.
Dental Concerns
"I hate the look of my denture."
Dental Wish List
• "Life without a denture"
• "More natural looking appearance - like natural teeth"
Following consultation, she chose to have a metal based RPD over implant supported fixed prosthodontics owing to cost.
Rowan and I (my technician) wanted to get the aesthetics perfect and provided an acrylic based RPD as a diagnostic appliance to make sure Anna was totally happy with the tooth arrangement. To choose and arrange the teeth we used a superb school photograph taken at the age of 12 just before the riding accident.
Anna loved the diagnostic set up and we made a rotational path of insertion metal based RPD copying the set up. Over the 11 years Rowan and I have refined our designs for Scandinavian style RPDs. Our quality has improved too, so I apologise for the slightly scruffy photographs, impressions and casts etc. For interest I have included a design and photograph of how we would now tackle this now in 2024. The main difference being the major connector. In the maxilla I prefer a plate major connector over the ring (doughnut/toilet seat) design. I believe it offers more support and comfort, as the hard palate does not resorb, being particularly useful in patients exhibiting parafunction.
Sadly, Anna developed squamous cell carcinoma (SCC) in the left flour of mouth. A lower left first molar was removed in error during the diagnostic stages. The SCC has been managed and is now in complete remission.
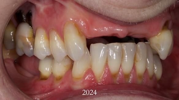
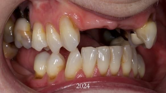
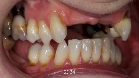
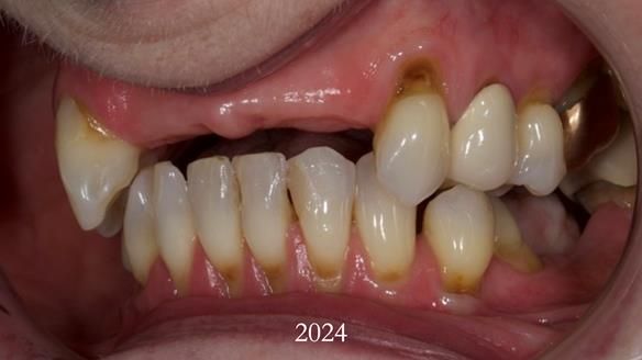
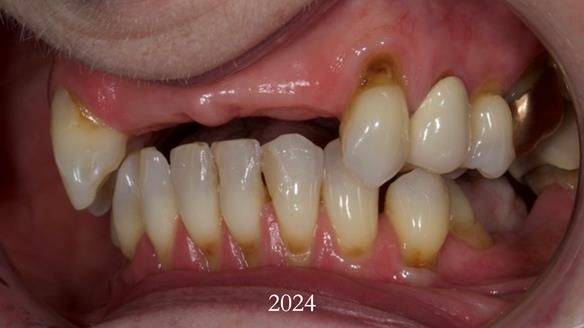
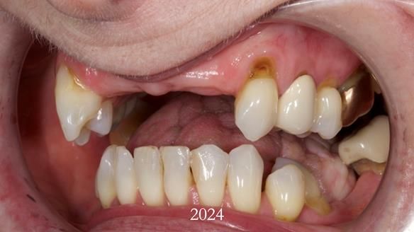
Anna contacted the practice 2024 complaining of the upper RPD being a little loose at the front.
On examination the flange on the mesial of 13, 23 was not as well fitting as originally. This was rectified by doing a laboratory reline of the saddle. Before doing the reline, however, I adjusted the claps on 27 in attempt to tighten the RPD. Frustratingly, this resulted in the framework not fitting. I find that cast and printed (laser sintered) clasps do not bend easily and also can snap. As a result, I now use wrought cobalt chrome clasps (or wrought gold) which are welded to the cast framework. They are far easier to bend and do not fracture. In Anna’s case I had to make the framework fit again passively by re-bending the clasp and adjusting the fitting surface using a diamond bur where occlude markings had rubbed off.
Reline technique:
- Saddle impression using Schottlander Doric Flo light PVS impression material making sure the mesial edge of the canines was captured.
- Pick up impression of the RPD in the mouth using alginate and a stock tray.
The advantage of the Scandinavian hygienic RPD design approach
The Scandinavian hygienic design approach has proven to be highly effective in my clinical practice since I learned this technique from Charlotte Stilwell, John Besford and Linda Blakely. I was thrilled with the condition of an RPD after 11 years of use. Over 17 years at dental practice, I have followed up on cases to determine what works best. Since adopting this approach 13 years ago, I've made 327 metal-based RPDs, averaging 1.5 reviews each. This is a significant improvement compared to the 5 reviews required for traditional UK/US designs.
The switch has saved me approximately 302 hours (43 working days), allowing more patients to be treated and generating an additional £250,000 in revenue for the practice. I strongly believe the Scandinavian hygienic design should be adopted worldwide as the standard for RPDs.
The detailed clinical situation and treatment process are outlined below, with clinical work provided by me and technical work by Rowan Garstang.
If you find these Newsletters valuable and know others who might too—friends, colleagues, dental professionals—please feel free to share. To receive future Newsletters, email me at education@finlaysutton.co.uk.
Courses given by Finlay at his practice
I conduct removable prosthodontic courses (complete dentures, partial dentures, implant over dentures and immediate dentures), featuring lectures and live clinical demonstrations at the practice. These courses target general dentists, prosthodontists, clinical dental technicians, and dental technicians. With a focus on clinical application, these demonstrations showcase optimal function and superb aesthetics, providing immediate professional improvement and enhanced patient outcomes.
Speaking Engagements
I speak at dental and prosthodontic conferences globally, aiming to kindle enthusiasm for removable prosthodontics. My lectures emphasize the viability of well-designed removable dentures as an alternative to implant-supported restorations. For conference inquiries, contact me at education@finlaysutton.co.uk.
While my speaking fees reflect the quality and dedication to removable prosthodontics, I offer a wealth of free resources on my website (finlaysutton.co.uk) and Facebook page. My transparent presentations, documented with patient cases, empower delegates to apply practical advice immediately.
For details on upcoming courses and lectures in 2024, please see the end of this Newsletter.
education@finlaysutton.co.uk
Subscribe to Newsletter
Information about Finlay's In-House Courses
Information about Finlay's speaking engagements























































































































































